医影在线
标题: CT17018:肺脓肿?左侧胸腔积液?请会诊! [打印本页]
作者: 心愿 时间: 2008-12-11 17:05
标题: CT17018:肺脓肿?左侧胸腔积液?请会诊!
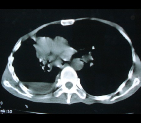
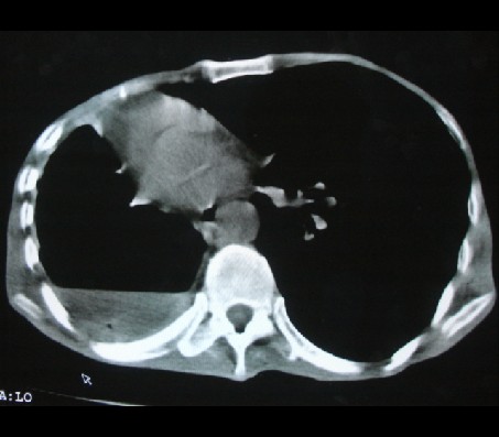
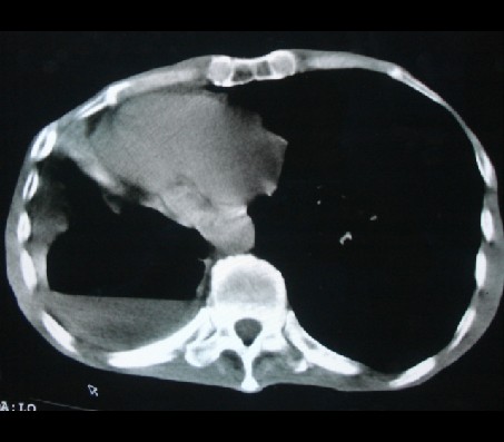
男性,65岁,有肺结核病史。





















[本贴已被 jiajie 于 2008-12-11 19:01:50 修改过]
作者: 心愿 时间: 2008-12-11 17:08
我个人意见:右侧考虑肺部感染,肺脓肿可能,胸穿穿出了脓性液体。
作者: 战神金刚 时间: 2008-12-11 17:23
feinongzhong
作者: 随光逐影 时间: 2008-12-11 17:24
1)两肺继发性肺结核,右肺多发空洞形成并感染,伴左肺支气管播散。2)右侧胸膜增厚、粘连。3)纵隔疝(左→右)。
作者: drzhang8888 时间: 2008-12-11 18:12
1)两肺继发性肺结核,右肺多发空洞形成并感染,伴左肺支气管播散。2)右侧胸膜增厚、粘连。3)纵隔疝(左→右)。脓肿多是结核继发感染造成的
作者: 卜一 时间: 2008-12-11 18:47
1)两肺继发性肺结核,右肺多发空洞形成并感染,伴左肺支气管播散。2)右侧胸膜增厚、粘连。3)纵隔疝(左→右)。
支持!
作者: zjzjr 时间: 2008-12-11 20:34
1)两肺继发性肺结核伴右肺毁损,右肺多发空洞及肺大泡形成并感染,伴左肺支气管播散。右侧液气胸.2)右侧胸膜增厚、粘连。3)纵隔疝(左→右)。
作者: scdlc2008 时间: 2008-12-11 20:43
1)两肺继发性肺结核伴右肺毁损,右肺多发空洞及肺大泡形成并感染,伴左肺支气管播散。右侧液气胸.2)右侧胸膜增厚、粘连。3)纵隔疝(左→右)。
作者: 同 时间: 2008-12-11 21:33
标题: 回复:肺脓肿?左侧胸腔积液?请会诊!
以下是引用drzhang8888在2008-12-11 10:12:00的发言:[br]1)两肺继发性肺结核,右肺多发空洞形成并感染,伴左肺支气管播散。2)右侧胸膜增厚、粘连。3)纵隔疝(左→右)。脓肿多是结核继发感染造成的
作者: 影像孺子牛 时间: 2008-12-11 23:12
标题: 回复:肺脓肿?左侧胸腔积液?请会诊!
以下是引用drzhang8888在2008-12-11 10:12:00的发言:[br]1)两肺继发性肺结核,右肺多发空洞形成并感染,伴左肺支气管播散。2)右侧胸膜增厚、粘连。3)纵隔疝(左→右)。脓肿多是结核继发感染造成的
作者: 黑白光影 时间: 2008-12-12 00:04
标题: 回复:肺脓肿?左侧胸腔积液?请会诊!
以下是引用随光逐影在2008-12-11 9:24:00的发言:[br]1)两肺继发性肺结核,右肺多发空洞形成并感染,伴左肺支气管播散。2)右侧胸膜增厚、粘连。3)纵隔疝(左→右)。
作者: zxczxc 时间: 2008-12-12 02:17
右侧液气胸。
右下肺结核伴右肺空洞。
作者: dsl555 时间: 2008-12-12 02:19
标题: 回复:肺脓肿?左侧胸腔积液?请会诊!
以下是引用随光逐影在2008-12-11 9:24:00的发言:[br]1)两肺继发性肺结核,右肺多发空洞形成并感染,伴左肺支气管播散。2)右侧胸膜增厚、粘连。3)纵隔疝(左→右)。
作者: 朱亮 时间: 2008-12-12 02:46
1)两肺继发性肺结核伴右肺毁损,右肺多发空洞及肺大泡形成并感染,伴左肺支气管播散。右侧液气胸.2)右侧胸膜增厚、粘连。3)纵隔疝(左→右)。
作者: zsl6918 时间: 2008-12-12 04:24
液气胸,毁损肺。老结核,纵隔疝。
作者: xulianj 时间: 2008-12-12 04:28
右侧液气胸;
继发性肺结核伴空洞;
纵隔疝。
作者: huenhao 时间: 2008-12-12 06:42
肺脓肿
作者: x-man 时间: 2008-12-12 06:57
右侧液气胸;
继发性肺结核伴空洞;
纵隔疝。
作者: pujunzhi 时间: 2008-12-12 08:05
支持 右侧液气胸;
继发性肺结核伴空洞;
纵隔疝。
作者: yangyudong333 时间: 2008-12-13 00:16
1)两肺继发性肺结核伴右肺毁损,右肺多发空洞及肺大泡形成并感染,伴左肺支气管播散。右侧液气胸.2)右侧胸膜增厚、粘连。3)纵隔疝(左→右)。
| 欢迎光临 医影在线 (http://bbs.radida.com/bbs/) |
Powered by Discuz! X3.2 |