医影在线
标题: CT17020:是硬膜下的吗? [打印本页]
作者: zgjldq 时间: 2008-12-11 17:41
标题: CT17020:是硬膜下的吗?
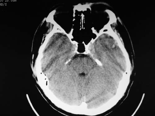
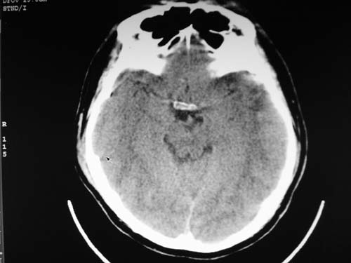
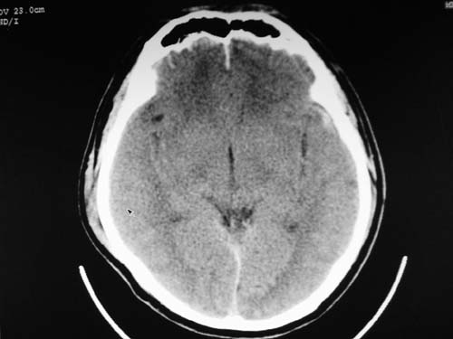
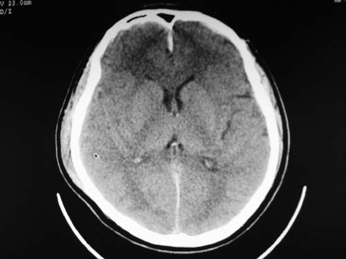
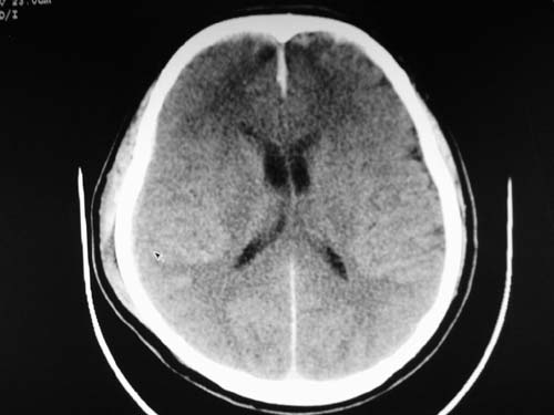
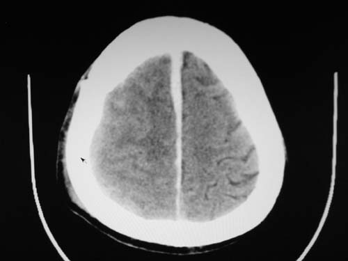
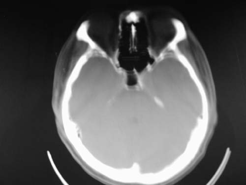
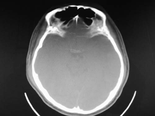
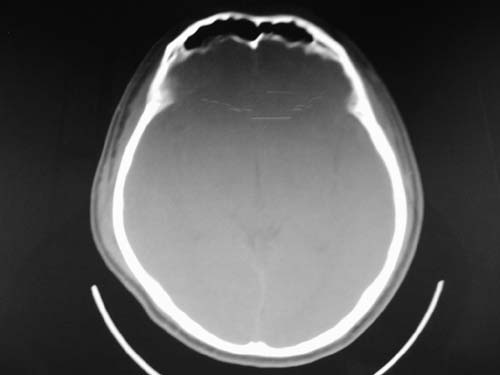
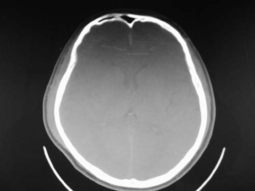
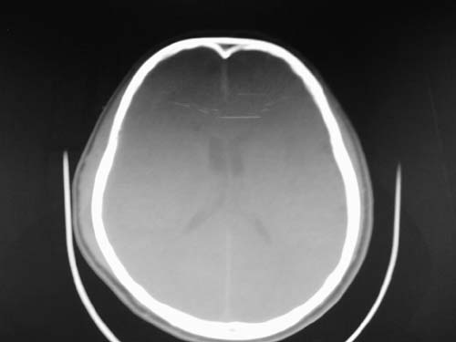
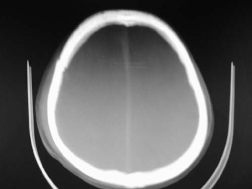
脑中线内血肿,是硬膜下的吗?




















[本贴已被 jiajie 于 2008-12-11 19:04:30 修改过]
作者: 随光逐影 时间: 2008-12-11 17:55
脑中线内血肿——硬膜下血肿。
作者: drzhang8888 时间: 2008-12-11 18:21
脑中线内血肿——硬膜下血肿。我们一般认为中线即可是硬膜下,也可是蛛网膜下腔的。边缘锐利,张力高的考虑硬膜下的,边缘模糊的,考虑下腔的。如果有老师有肯定的答案,麻烦下给我发个短信
作者: 龙先生61618 时间: 2008-12-11 18:21
硬膜下血肿,有颅骨骨折
作者: 卜一 时间: 2008-12-11 18:45
硬膜下血肿!
作者: haha215315 时间: 2008-12-11 19:53
硬膜下血肿
作者: zjzjr 时间: 2008-12-11 19:58
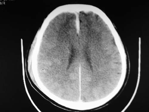
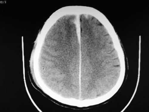
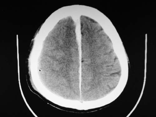
支持镰旁硬膜下血肿,颅骨骨折,头皮损伤.
作者: scdlc2008 时间: 2008-12-11 20:52
支持镰旁硬膜下血肿,颅骨骨折,头皮损伤.
作者: 同 时间: 2008-12-11 21:40
支持镰旁硬膜下血肿,颅骨骨折.
作者: zhengjq76 时间: 2008-12-11 23:05
这个病人年龄不小吧,右侧脑沟不清,中线结构稍有左移,右侧额颞顶及右镰旁硬膜下血肿,另有蛛血,骨折。
作者: 影像孺子牛 时间: 2008-12-11 23:20
支持镰旁硬膜下血肿,颅骨骨折,头皮损伤。
作者: 黑白光影 时间: 2008-12-12 00:12
支持硬膜下血肿。
作者: dsl555 时间: 2008-12-12 02:41
支持镰旁硬膜下血肿,颅骨骨折,头皮损伤.
作者: yugongyishan 时间: 2008-12-12 03:34
外伤后引起的颅骨骨折、硬膜下血肿、皮下血肿,颅骨骨折引起的矢状窦破裂,形成大脑纵裂内血肿。
作者: zsl6918 时间: 2008-12-12 04:08
支持硬膜下血肿
作者: xulianj 时间: 2008-12-12 04:46
支持镰旁硬膜下血肿,颅骨骨折。
作者: 求知若渴 时间: 2008-12-12 04:50
标题: 回复:ct17020:是硬膜下的吗?
以下是引用随光逐影在2008-12-11 9:55:00的发言:[br]脑中线内血肿——硬膜下血肿。

作者: lvxue 时间: 2008-12-12 04:57
支持硬膜下血肿
作者: andy_wang 时间: 2008-12-12 05:02
标题: 回复:ct17020:是硬膜下的吗?
以下是引用scdlc2008在2008-12-11 12:52:00的发言:[br]支持镰旁硬膜下血肿,颅骨骨折,头皮损伤.
作者: huenhao 时间: 2008-12-12 06:37
硬膜下血肿!
作者: x-man 时间: 2008-12-12 07:03
支持镰旁硬膜下血肿,颅骨骨折,头皮损伤
作者: pujunzhi 时间: 2008-12-12 08:15
标题: 回复:ct17020:是硬膜下的吗?
以下是引用随光逐影在2008-12-11 9:55:00的发言:[br]脑中线内血肿——硬膜下血肿。
作者: yangyudong333 时间: 2008-12-13 00:12
支持镰旁硬膜下血肿,颅骨骨折,头皮损伤.
作者: panyishengct 时间: 2008-12-13 00:47
脑中线内血肿——硬膜下血肿。
| 欢迎光临 医影在线 (http://bbs.radida.com/bbs/) |
Powered by Discuz! X3.2 |