医影在线

标题: CT17026:M32Y,比较少见的片子和大家探讨 [打印本页]

作者: liuxingxiang316    时间: 2008-12-12 01:07
标题: CT17026:M32Y,比较少见的片子和大家探讨
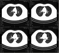
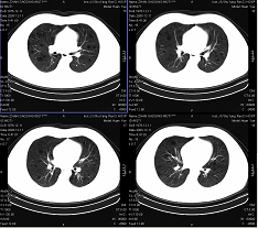
患者  男  32岁  执业 柴油销售  干咳两月余,抗炎治疗无效;两肺呼吸音低







[本贴已被 jiajie 于 2008-12-11 19:19:38 修改过]

作者: 道哥    时间: 2008-12-12 01:39
图片太小,考虑双侧肺支扩可能
作者: 布衣粉精灵    时间: 2008-12-12 03:41
新手上路,请多指教。看得不是很清,多发类圆形低密度,部分壁不明显,考虑多发的肺大泡。如确诊,请告知!
作者: zsl6918    时间: 2008-12-12 03:46
图像太小,不能进行诊断。
作者: 余辉    时间: 2008-12-12 04:09
看不清图像,根椐楼上各位的描述结合病史考虑肺气肿(小叶中心型肺气肿)
柴油为一种挥发性有机溶剂,接触多时可引起肺水肿,吸入性肺炎等,慢性接触可引起肺组织的腐蚀而出现间质性肺炎,肺纤维化等,本例考虑肺纤维化伴肺气肿
作者: 黑白光影    时间: 2008-12-12 04:15
图像太小,看不清楚。建议将bmp格式转换成jpg格式,可减少容量增大画面。
作者: xulianj    时间: 2008-12-12 04:49
考虑肺气肿
作者: 张XYZ    时间: 2008-12-12 05:30
考虑泡性肺气肿
作者: 江广1996    时间: 2008-12-12 05:54
图像太小,看不清楚。建议将bmp格式转换成jpg格式,宽度大小为512之内,若大于150k,可送减少压缩比.
作者: zjzjr    时间: 2008-12-12 06:34
图像太小,看不清。
作者: lkc8963    时间: 2008-12-12 06:58
请楼主重新发帖,图片太小,又要讨论肺弥漫性病变,有些困难.谢谢!
作者: dengkai    时间: 2008-12-12 07:20
看不清图像,根椐楼上各位的描述结合病史考虑肺气肿(小叶中心型肺气肿)
柴油为一种挥发性有机溶剂,接触多时可引起肺水肿,吸入性肺炎等,慢性接触可引起肺组织的腐蚀而出现间质性肺炎,肺纤维化等,本例考虑肺纤维化伴肺气肿
作者: 随光逐影    时间: 2008-12-12 23:59
小叶中心型肺气肿?多发性肺囊肿?
作者: yangyudong333    时间: 2008-12-13 00:08
考虑肺淋巴腺肌瘤 病




欢迎光临 医影在线 (http://bbs.radida.com/bbs/) Powered by Discuz! X3.2