医影在线
标题: CT17029:男,78岁,咳嗽、咳痰、发热入院 [打印本页]
作者: yy杨洋 时间: 2008-12-12 03:38
标题: CT17029:男,78岁,咳嗽、咳痰、发热入院
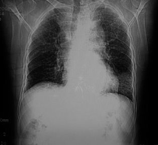
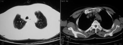
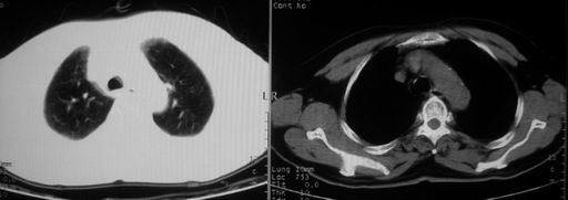
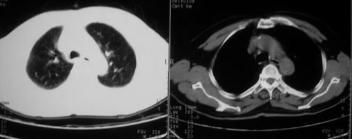
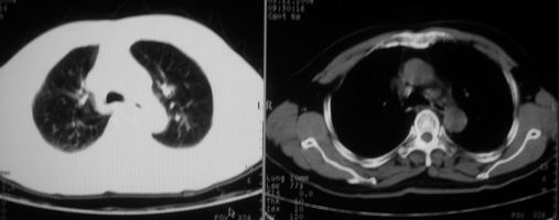
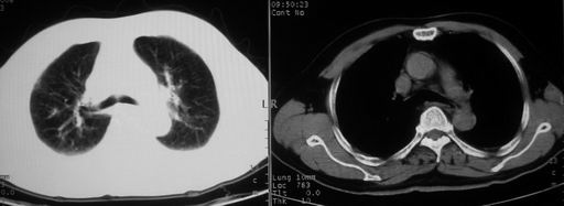
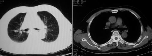
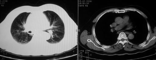
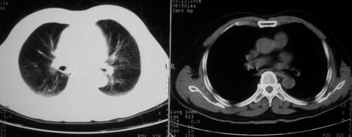
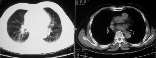
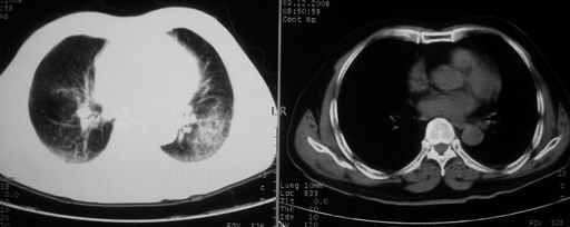
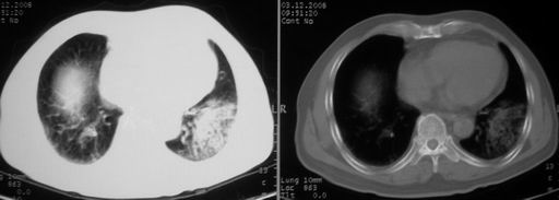
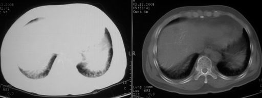
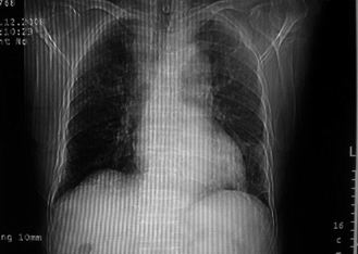
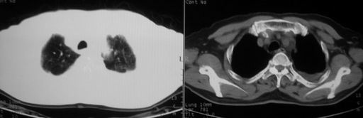
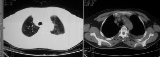
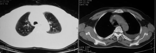
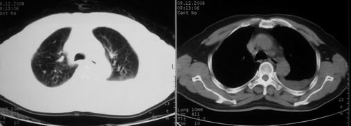
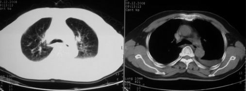
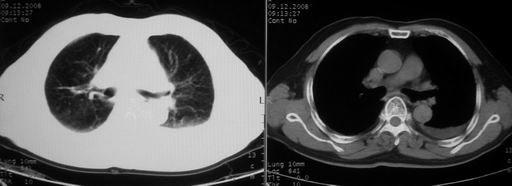
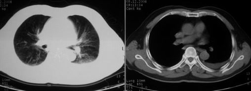
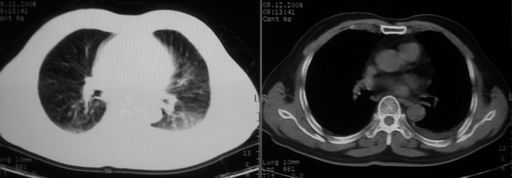
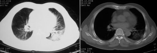
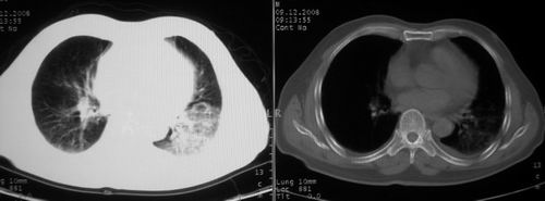
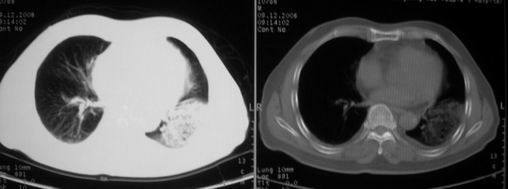
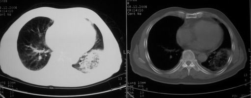
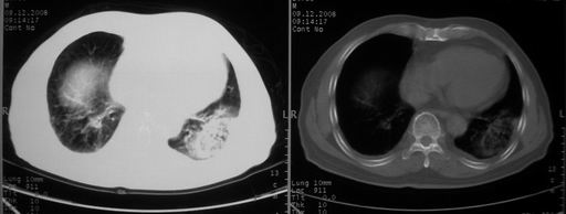
男,78岁,咳嗽、咳痰、发热入院,抗炎治疗一周后已退热,咳血似痰。
10月3日片:



















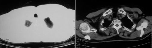
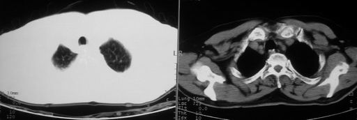
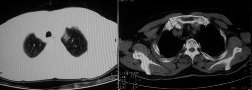
10月9日片:

















[本贴已被 yy杨洋 于 2008-12-11 19:43:34 修改过]
[本贴已被 jiajie 于 2008-12-11 19:44:58 修改过]
作者: zsl6918 时间: 2008-12-12 03:41
间质性感染
作者: whzht 时间: 2008-12-12 04:25
考虑霉菌感染。
作者: 影象小泰斗 时间: 2008-12-12 04:31
炎性变!!
作者: 余辉 时间: 2008-12-12 04:56
抗炎治疗一周热退,提示为炎症,现片示病灶范围增大,边缘清楚,建议继续治疗,不除外肺脓肿
作者: lvxue 时间: 2008-12-12 05:00
肺部炎症性病变
作者: xulianj 时间: 2008-12-12 05:10
炎症性病变;左侧胸腔积液。
作者: 不学无术 时间: 2008-12-12 05:11
炎症性表现
作者: 江广1996 时间: 2008-12-12 05:13
还是考虑感染性病变
作者: 张XYZ 时间: 2008-12-12 05:22
多为炎性病变,建议继续抗炎治疗复查
作者: xinliheng001 时间: 2008-12-12 05:24
继续抗炎治疗后再复查。
作者: 影像孺子牛 时间: 2008-12-12 06:01
ct左肺下叶大片状高密度影,病变密度不均,界限不清,左侧胸腔积液,治疗后复查临床症状好转而影像学表现病变有发展,还是首先考虑感染性病变,复查时间短附合感染性病变的病理改变。
作者: zjzjr 时间: 2008-12-12 06:28
炎症性病变;左侧胸腔积液。
作者: x-man 时间: 2008-12-12 07:21
考虑炎症性病变,建议再治疗后复查.
作者: pujunzhi 时间: 2008-12-12 08:02
考虑炎症性病变,建议再治疗后复查
作者: 随光逐影 时间: 2008-12-12 15:41
两肺炎症感染(以左肺下叶为著),双侧少量胸腔积液;建议继续抗炎治疗。
作者: yangyudong333 时间: 2008-12-12 23:56
考虑炎症性病变,建议再治疗后复查.
| 欢迎光临 医影在线 (http://bbs.radida.com/bbs/) |
Powered by Discuz! X3.2 |