医影在线
标题: PED1679:最小的“脑梗死”患者,能下其他诊断吗? [打印本页]
作者: haitian598 时间: 2008-12-13 03:32
标题: PED1679:最小的“脑梗死”患者,能下其他诊断吗?
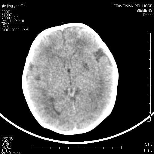
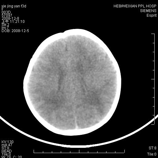
女,三天。呕吐,右侧上肢抽搐5小时。新生儿缺氧缺血性脑病有这样在基底节区出现缺血性表现的吗,并且有一侧肢体症状。



[本贴已被 haitian598 于 2008-12-12 22:57:14 修改过]
[本贴已被 翁志蓬 于 2008-12-12 23:21:13 修改过]
作者: 杀毒软件 时间: 2008-12-13 03:44
考虑诊断---新生儿缺氧缺血性脑病可能
作者: 流浪星 时间: 2008-12-13 04:40
支持楼上的考虑。
作者: hx3101 时间: 2008-12-13 05:10
考虑新生儿缺氧缺血性脑病。
有测密度么?
作者: huenhao 时间: 2008-12-13 05:21
支持2楼
作者: 光影相伴 时间: 2008-12-13 06:00
标题: 回复:最小的“脑梗死”患者,能下其他诊断吗?
以下是引用杀毒软件在2008-12-12 19:44:00的发言:[br]考虑诊断---新生儿缺氧缺血性脑病可能
作者: zjzjr 时间: 2008-12-13 06:01
考虑轻度hie .
作者: 余辉 时间: 2008-12-13 06:03
标题: 回复:最小的“脑梗死”患者,能下其他诊断吗?
以下是引用杀毒软件在2008-12-12 19:44:00的发言:[br]考虑诊断---新生儿缺氧缺血性脑病可能
支持,差不多
作者: 黑白光影 时间: 2008-12-13 06:06
支持2楼考虑。
作者: dengkai 时间: 2008-12-13 06:15
考虑新生儿缺氧缺血性脑病。
作者: 随光逐影 时间: 2008-12-13 08:40
考虑hie。
作者: 王仕学 时间: 2008-12-13 19:31
支持考虑新生儿缺氧缺血性脑病。
作者: zsl6918 时间: 2008-12-13 20:25
符合缺血缺氧性脑病表现
作者: 同 时间: 2008-12-14 00:01
考虑 轻度缺氧缺血性脑病.
作者: zhangyang66 时间: 2008-12-14 06:02
病灶局限,余脑质密度均匀,灰白质分界可.考虑脑梗死
作者: DXM 时间: 2008-12-14 16:00
支持新生儿缺血缺氧性脑病
作者: scdlc2008 时间: 2008-12-14 20:16
符合缺血缺氧性脑病表现
作者: dyqct 时间: 2008-12-16 00:59
标题: 回复:ped1679:最小的“脑梗死”患者,能下其他诊断吗?
以下是引用杀毒软件在2008-12-12 19:44:00的发言:[br]考虑诊断---新生儿缺氧缺血性脑病可能
支持!有缺氧病史吗?
作者: shiqingfa 时间: 2008-12-16 01:52
考虑诊断---新生儿缺氧缺血性脑病可能
作者: 卜一 时间: 2008-12-16 17:42
考虑:轻度hie。支持!
作者: jinguoji 时间: 2008-12-16 17:44
标题: 回复:ped1679:最小的“脑梗死”患者,能下其他诊断吗?
以下是引用杀毒软件在2008-12-12 19:44:00的发言:[br]考虑诊断---新生儿缺氧缺血性脑病可能
作者: yxrcpa 时间: 2008-12-16 21:42
新生儿缺血缺氧性脑病,左侧脑室旁脑白质软化
作者: 姜晓辉 时间: 2008-12-17 16:56
新生儿缺氧缺血性脑病
作者: xiaohuict 时间: 2008-12-18 02:50
hie
作者: 张XYZ 时间: 2008-12-18 04:18
结合临床考虑hie
作者: wnlyq8688 时间: 2008-12-18 05:22
考虑 轻度缺氧缺血性脑病.
作者: 雨飘飘 时间: 2008-12-18 21:45
为什么不能是 脑梗那 我还是支持脑梗 呵呵
作者: zyyzzy 时间: 2008-12-24 06:24
一侧肢体有症状,而且发生在灰质,边界较清晰。还是先考虑脑梗死!~!建议mri检查
| 欢迎光临 医影在线 (http://bbs.radida.com/bbs/) |
Powered by Discuz! X3.2 |