医影在线

标题: PED1681:头疼发热约一周 [打印本页]

作者: mlfx123321    时间: 2008-12-14 01:54
标题: PED1681:头疼发热约一周

















[本贴已被 jiajie 于 2008-12-13 18:59:57 修改过]

作者: 余辉    时间: 2008-12-14 02:04
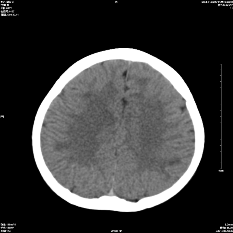
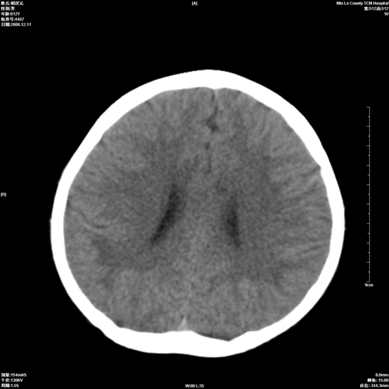
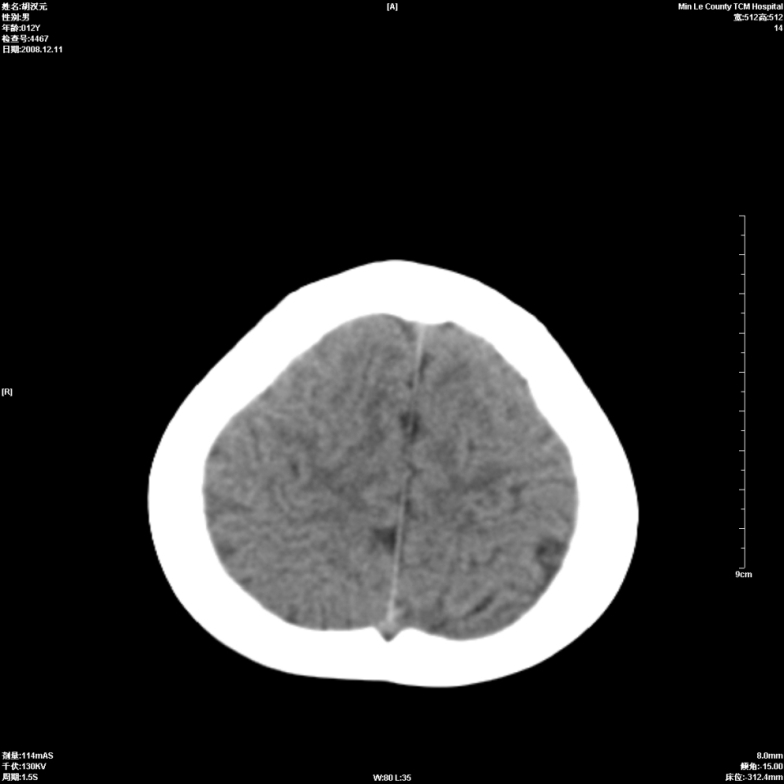
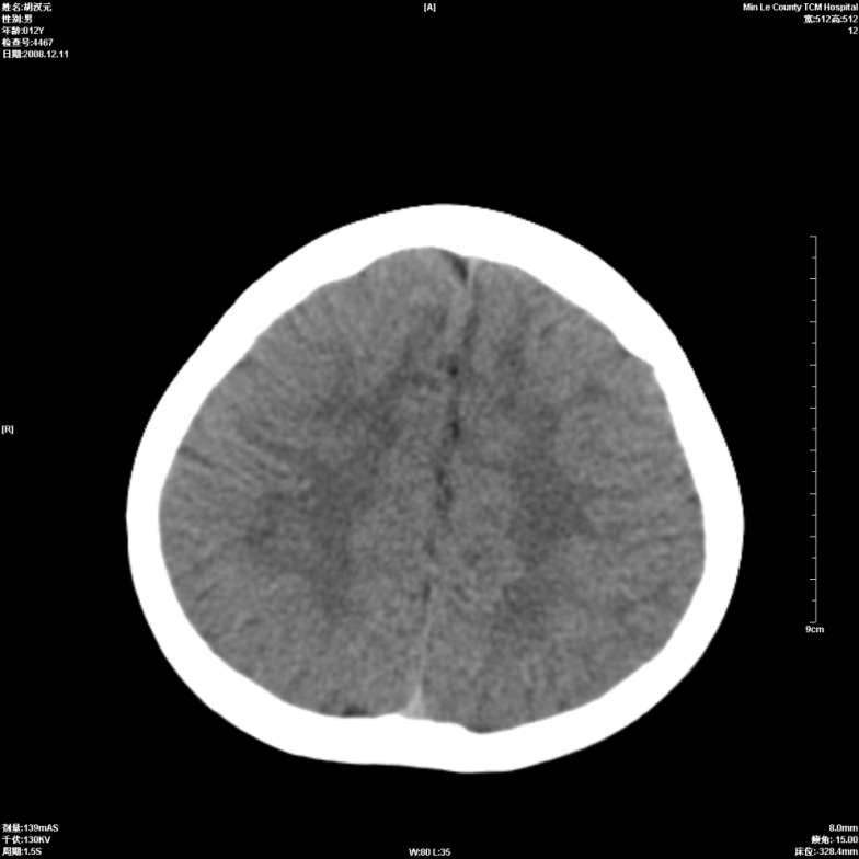
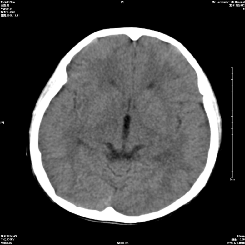
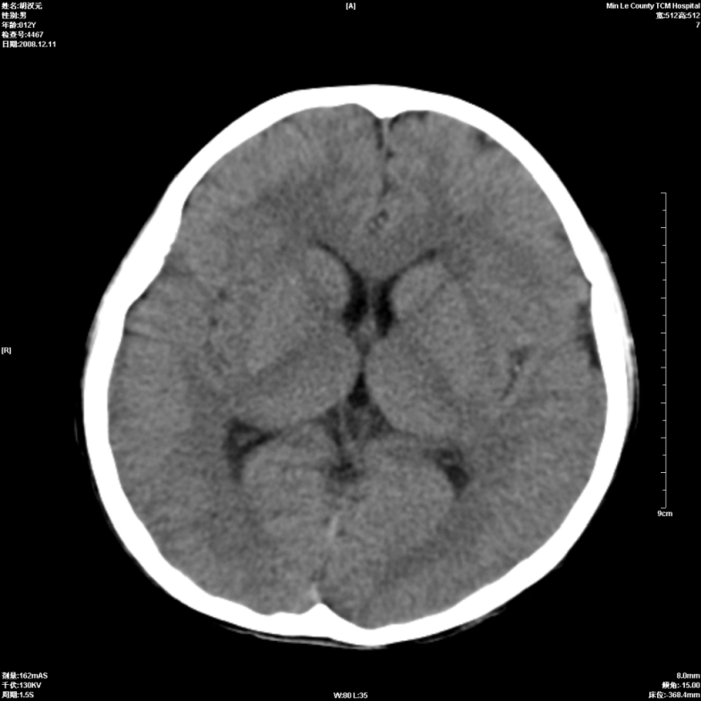
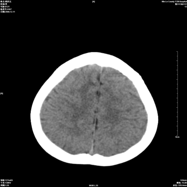
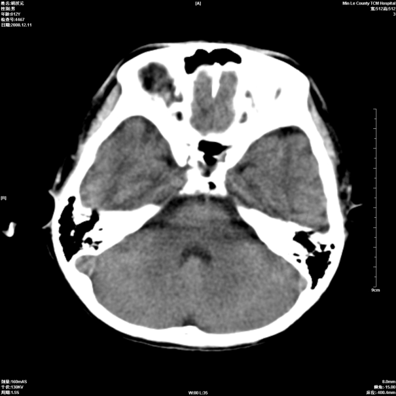
未见明显异常
作者: LIAOQIANG    时间: 2008-12-14 03:51
颅脑未见确切异常。必要时进一步检查,如mri、脑脊液检查。
作者: 李世军    时间: 2008-12-14 05:08
左侧基底节区腔梗?可以考虑吗?
作者: wangyong1977    时间: 2008-12-14 05:45
未见明显异常。
作者: zhangyang66    时间: 2008-12-14 06:08
两侧顶部近灰质处白质密度降低,是否炎性改变
作者: jiangjing    时间: 2008-12-14 07:08
颅脑未见确切异常。必要时进一步检查,如mri、脑脊液检查。
作者: 随光逐影    时间: 2008-12-14 16:29
颅脑ct轴位平扫颅内未见明确异常;建议必要时复查或行进一步检查。
作者: 杀毒软件    时间: 2008-12-14 17:13
未见明显异常
作者: 王仕学    时间: 2008-12-14 17:50
未见明显异常,建议作mri检查。
作者: zjzjr    时间: 2008-12-14 18:09
未见明显异常
作者: scdlc2008    时间: 2008-12-14 20:13
未见明显异常
作者: zsl6918    时间: 2008-12-14 20:16
建议mr检查
作者: 医影常客    时间: 2008-12-14 22:53
两侧顶部近灰质处白质密度降低,建议mri
作者: 黑白光影    时间: 2008-12-15 00:07
未见明显异常
作者: 流浪星    时间: 2008-12-15 03:41
未见明显异常.
作者: hexue    时间: 2008-12-15 07:03
未见明显异常。
作者: dyqct    时间: 2008-12-16 00:57
颅脑ct轴位平扫颅内未见明确异常;
作者: shiqingfa    时间: 2008-12-16 01:47
未见明显异常。
作者: 卜一    时间: 2008-12-16 17:45
未见明显异常!支持!
作者: 同    时间: 2008-12-17 01:46
未见明显异常。
作者: 张XYZ    时间: 2008-12-18 04:20
支持楼意见
作者: 光影相伴    时间: 2008-12-18 23:12
未见明显异常。
作者: 黑龙江宝    时间: 2008-12-28 04:06
头部ct扫描无异常




欢迎光临 医影在线 (http://bbs.radida.com/bbs/) Powered by Discuz! X3.2