医影在线
标题: CT17067:男,50Y右上腹痛一个月,无外伤史 [打印本页]
作者: gdxiaozhe 时间: 2008-12-14 19:13
标题: CT17067:男,50Y右上腹痛一个月,无外伤史








[本贴已被 jiajie 于 2008-12-14 16:07:08 修改过]
作者: 余辉 时间: 2008-12-14 19:18
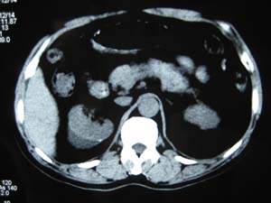
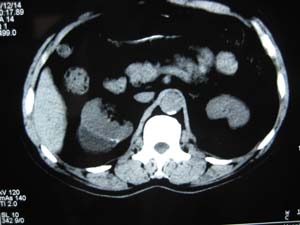
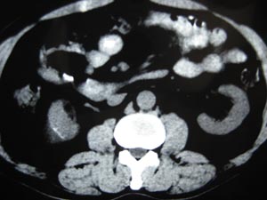
右肾包膜下积液,包膜可见线状钙化
作者: 深泽交通 时间: 2008-12-14 19:22
标题: 回复:男,50y右上腹痛一个月,无外伤史
以下是引用余辉在2008-12-14 11:18:00的发言:[br]右肾包膜下积液,包膜可见线状钙化
不除外慢性血肿
作者: 随光逐影 时间: 2008-12-14 19:25
右肾包膜下积液(陈旧性血肿?),包膜可见线状钙化。
作者: zsl6918 时间: 2008-12-14 19:41
左肾包膜下积液钙化。
作者: CT-LU 时间: 2008-12-14 19:51
右肾包膜下积液(慢性血肿?)
作者: 文文2008 时间: 2008-12-14 20:00
支持
右肾包膜下积液(陈旧性血肿?),包膜可见线状钙化。
作者: 我爱CT-MR 时间: 2008-12-14 20:27
标题: 回复:男,50y右上腹痛一个月,无外伤史
以下是引用随光逐影在2008-12-14 11:25:00的发言:[br]右肾包膜下积液(陈旧性血肿?),包膜可见线状钙化。
作者: scdlc2008 时间: 2008-12-14 20:34
右肾包膜下积液(陈旧性血肿?),
作者: xinliheng001 时间: 2008-12-14 20:52
是吧,还能是别的?
作者: zjzjr 时间: 2008-12-14 20:57
右肾包膜下积液,包膜可见线状钙化。左肾可疑血管平滑肌脂肪瘤,把窗调宽一些.
作者: qiushi 时间: 2008-12-14 21:06
右肾包膜下积液(陈旧性血肿?),包膜可见线状钙化。
作者: 37度 时间: 2008-12-14 21:08
标题: 回复:男,50y右上腹痛一个月,无外伤史
以下是引用随光逐影在2008-12-14 11:25:00的发言:[br]右肾包膜下积液(陈旧性血肿?),包膜可见线状钙化。
作者: cefcmj 时间: 2008-12-14 21:24
标题: 回复:男,50y右上腹痛一个月,无外伤史
以下是引用随光逐影在2008-12-14 11:25:00的发言:[br]右肾包膜下积液(陈旧性血肿?),包膜可见线状钙化。
支持
作者: pujunzhi 时间: 2008-12-14 21:46
标题: 回复:男,50y右上腹痛一个月,无外伤史
以下是引用余辉在2008-12-14 11:18:00的发言:[br]右肾包膜下积液,包膜可见线状钙化
作者: xulianj 时间: 2008-12-14 22:34
右肾包膜下积液
作者: 悟空 时间: 2008-12-14 22:38
包膜下积液(积血?)
作者: 王仕学 时间: 2008-12-14 23:27
右肾包膜下积液,包膜可见线状钙化
作者: ruanzhibing 时间: 2008-12-14 23:36
建议先行ct增强扫描
作者: 黑白光影 时间: 2008-12-14 23:44
标题: 回复:男,50y右上腹痛一个月,无外伤史
以下是引用随光逐影在2008-12-14 11:25:00的发言:[br]右肾包膜下积液(陈旧性血肿?),包膜可见线状钙化。
作者: 杀毒软件 时间: 2008-12-15 01:24
标题: 回复:ct17067:男,50y右上腹痛一个月,无外伤史
以下是引用余辉在2008-12-14 11:18:00的发言:[br]右肾包膜下积液,包膜可见线状钙化
支持
作者: dsl555 时间: 2008-12-15 02:53
右肾包膜下积液(陈旧性血肿?),包膜可见线状钙化。
作者: jzhang21 时间: 2009-1-14 18:06
右肾包膜下积液(慢性血肿?)
| 欢迎光临 医影在线 (http://bbs.radida.com/bbs/) |
Powered by Discuz! X3.2 |