医影在线
标题: CT17069:M80Y,请战友们看看像啥 [打印本页]
作者: zgjldq 时间: 2008-12-14 21:56
标题: CT17069:M80Y,请战友们看看像啥
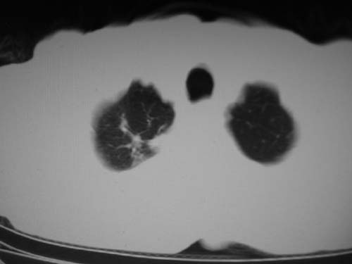
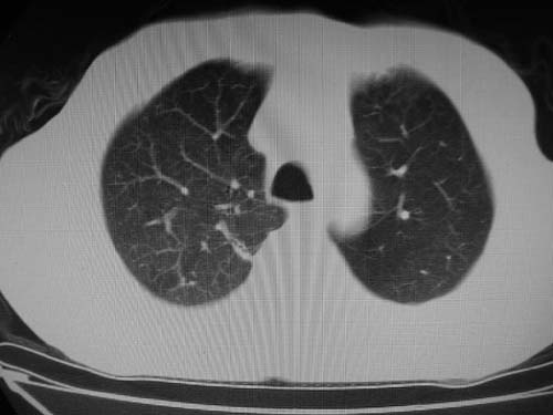
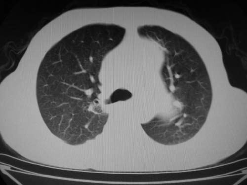
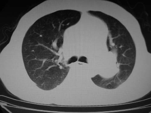
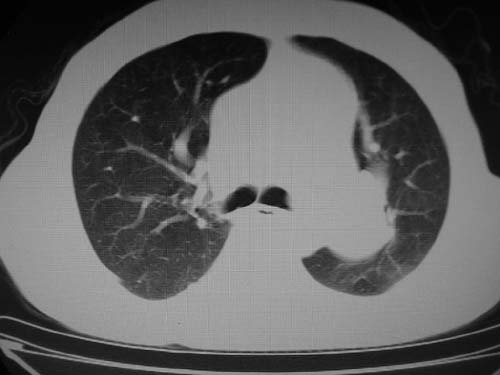
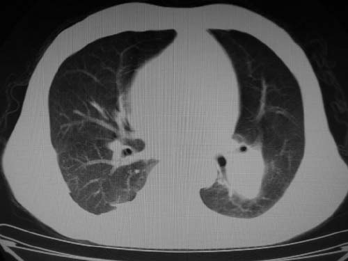
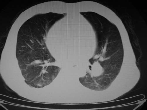
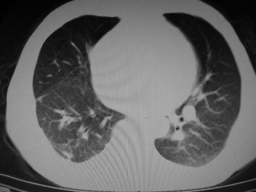
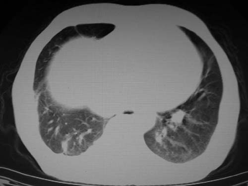
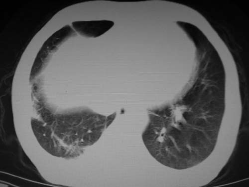
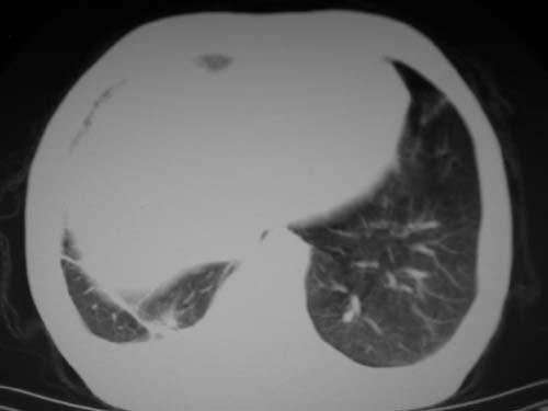
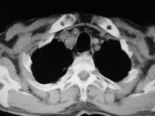
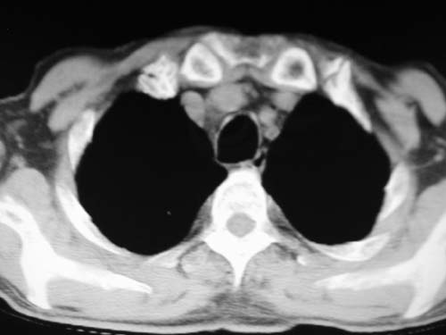
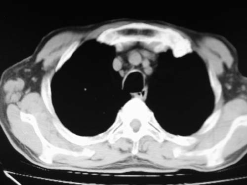
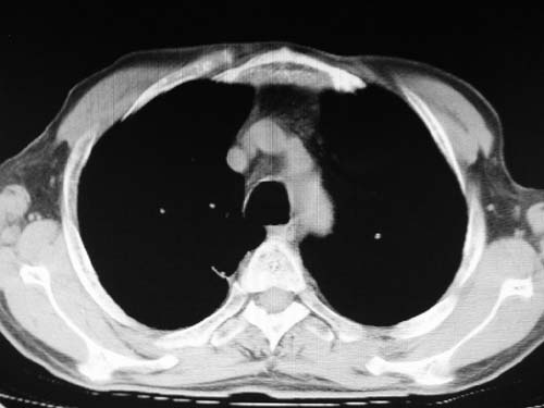
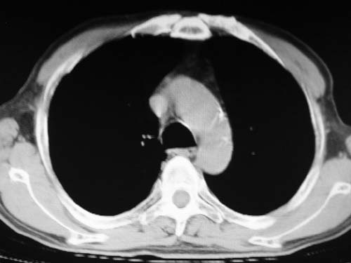
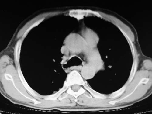
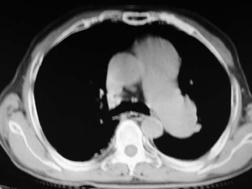
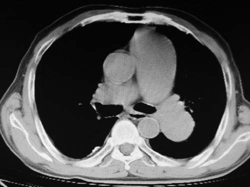
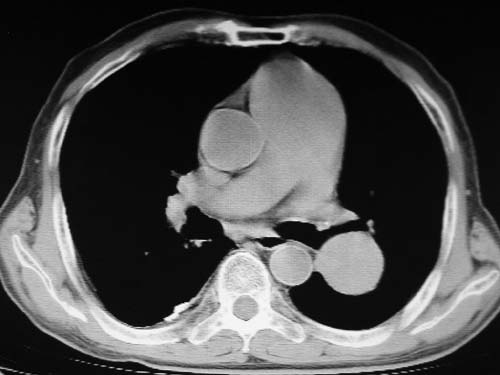
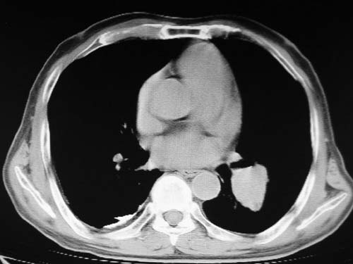
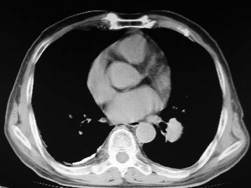
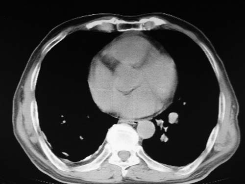
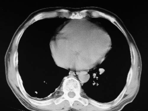
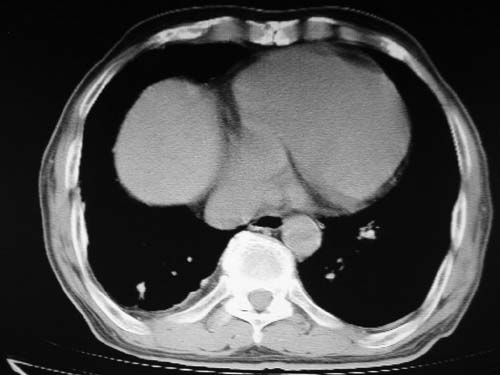
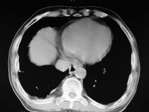
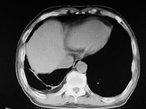
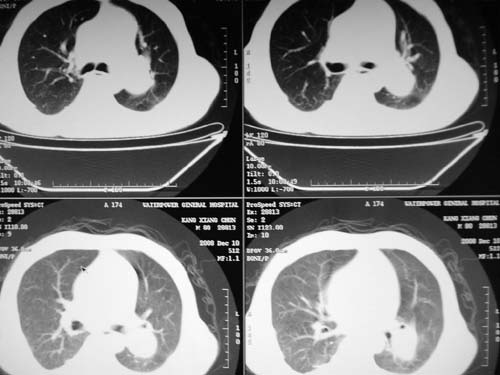
男,80岁





































[本贴已被 jiajie 于 2008-12-14 16:10:58 修改过]
作者: 深泽交通 时间: 2008-12-14 22:29
肺a高压征[左肺a狭窄?];肺,胸膜tb
作者: xulianj 时间: 2008-12-14 22:46
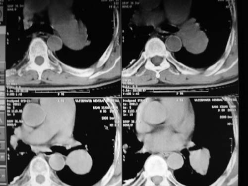
建议增强!
作者: qiushi 时间: 2008-12-14 22:48
右肺上叶结核;左肺门占位?建议增强扫描.
作者: 悟空 时间: 2008-12-14 22:50
左下肺静脉扩张,原因?建议cta
作者: lczeng 时间: 2008-12-14 23:03
看起来有点像血管。建议增强。
作者: lczeng 时间: 2008-12-14 23:07
左肺动脉异常增粗,建议增强。
作者: 随光逐影 时间: 2008-12-14 23:10
1)考虑肺动脉狭窄。2)右肺上叶继发性肺结核。3)右侧胸膜增厚、钙化,左侧胸膜反应。
作者: 王仕学 时间: 2008-12-14 23:30
应该是增粗血管,建议增强。
作者: ruanzhibing 时间: 2008-12-14 23:34
肺动脉瘤。建议先行ct增强扫描
作者: 黑白光影 时间: 2008-12-14 23:49
左肺动脉异常增粗,考虑肺动脉狭窄可能。
右肺上叶继发性肺结核。
右侧胸膜增厚、钙化,左侧胸膜反应。
作者: yangwanjiu 时间: 2008-12-15 00:07
左肺动脉异常增粗,建议ct增强,排除肺门肿瘤
右肺上叶继发性肺结核。
右侧胸膜增厚、钙化,左侧胸膜反应
作者: zsl6918 时间: 2008-12-15 01:12
双肺陈旧性病变,左肺动脉高压.
作者: zjzjr 时间: 2008-12-15 01:18
1)考虑左肺动脉瘤可能性大,建议增强。2)右肺上叶继发性肺结核。3)右侧胸膜增厚、钙化,左侧胸膜反应。
作者: 杀毒软件 时间: 2008-12-15 01:27
标题: 回复:ct17069:m80y,请战友们看看像啥
以下是引用ruanzhibing在2008-12-14 15:34:00的发言:[br]肺动脉瘤。建议先行ct增强扫描[br]
支持
作者: 小初学者 时间: 2008-12-15 02:08
肺动脉段突出,左右肺门不等大,左肺门明显增大,肺动脉干及左肺动脉明显增宽,考虑先天性肺动脉狭窄瓣膜狭窄型。
作者: 余辉 时间: 2008-12-15 02:26
)考虑肺动脉扩张,右心室增大,主动脉弓段正常位弓后段明显变小(不会是动脉导客未闭吧,不知患者有何症状病史)0。2)右肺上叶继发性肺结核。3)右侧胸膜增厚、钙化,左侧胸膜反应。
作者: dsl555 时间: 2008-12-15 02:45
看起来有点像血管。建议增强
作者: 胡宇 时间: 2008-12-15 02:53
右肺上叶尖段结核;左肺下叶占位?建议增强扫描。右侧胸膜增厚;右肺局限性肺气肿。
作者: huqi8888 时间: 2008-12-15 02:55
应该是增粗血管,建议增强。
作者: 同 时间: 2008-12-15 02:58
标题: 回复:ct17069:m80y,请战友们看看像啥
以下是引用随光逐影在2008-12-14 15:10:00的发言:[br]1)考虑肺动脉狭窄。2)右肺上叶继发性肺结核。3)右侧胸膜增厚、钙化,左侧胸膜反应。
作者: 张XYZ 时间: 2008-12-15 03:01
支持8楼意见,建议cta
作者: 胡宇 时间: 2008-12-15 03:07
右肺上叶尖段结核;左肺下叶占位?建议增强扫描。右侧胸膜增厚;右肺局限性肺气肿。
作者: caihe 时间: 2008-12-15 03:58
结合患者年龄,不除外左下肺扩张性动脉瘤,建议胸透是否有扩张性博动,以便确诊。
作者: LIAOQIANG 时间: 2008-12-15 05:07
肺动脉高压,左肺动脉瘤样扩张。
作者: 72xiang.zi 时间: 2008-12-15 06:09
左肺动脉异常增粗,建议增强。
作者: jzhang21 时间: 2009-1-14 18:04
肺a高压
| 欢迎光临 医影在线 (http://bbs.radida.com/bbs/) |
Powered by Discuz! X3.2 |