医影在线

标题: PED1682:男,13岁,咳嗽、咳痰伴发热一周。 [打印本页]

作者: wpf    时间: 2008-12-16 06:10
标题: PED1682:男,13岁,咳嗽、咳痰伴发热一周。
男,13岁,咳嗽、咳痰伴发热一周。












































[本贴已被 jiajie 于 2008-12-16 7:33:45 修改过]

作者: liuyue    时间: 2008-12-16 07:28
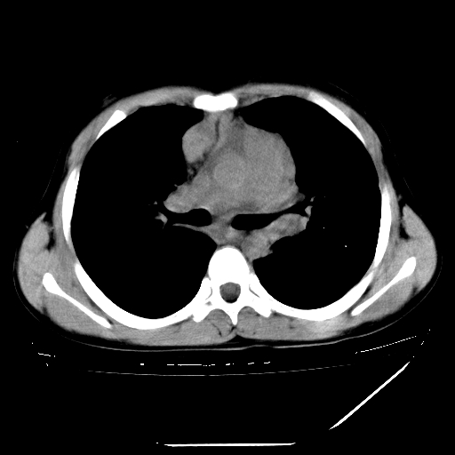
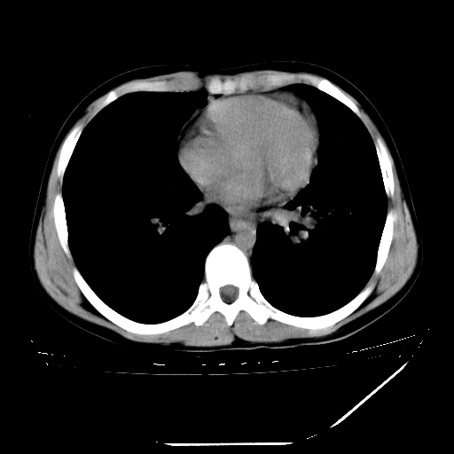
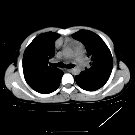
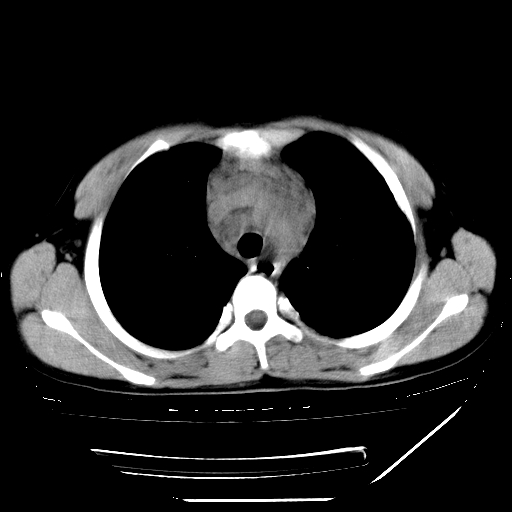
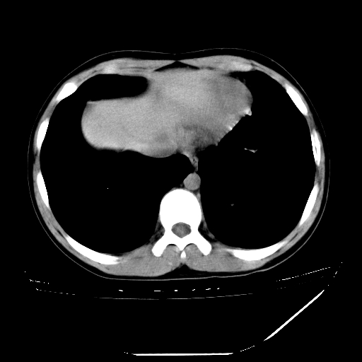
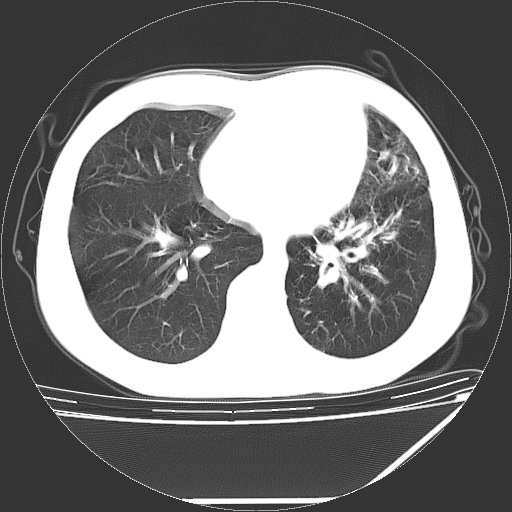
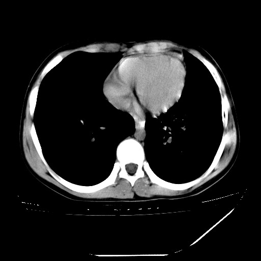
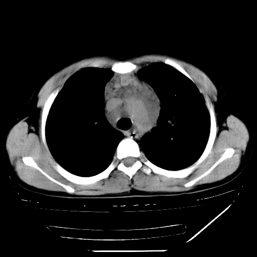
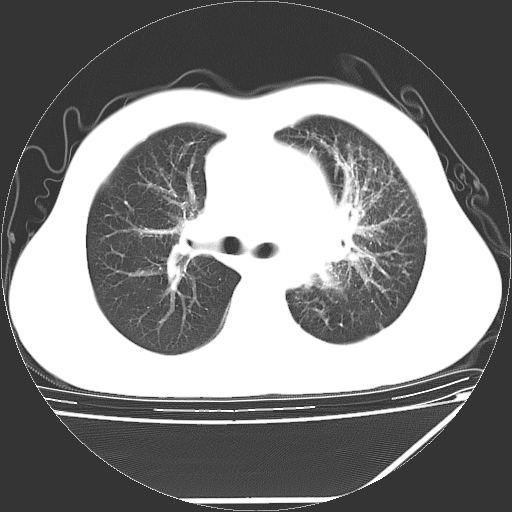
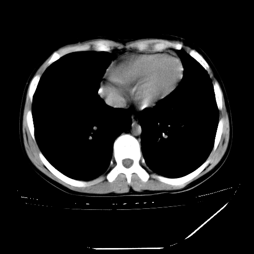
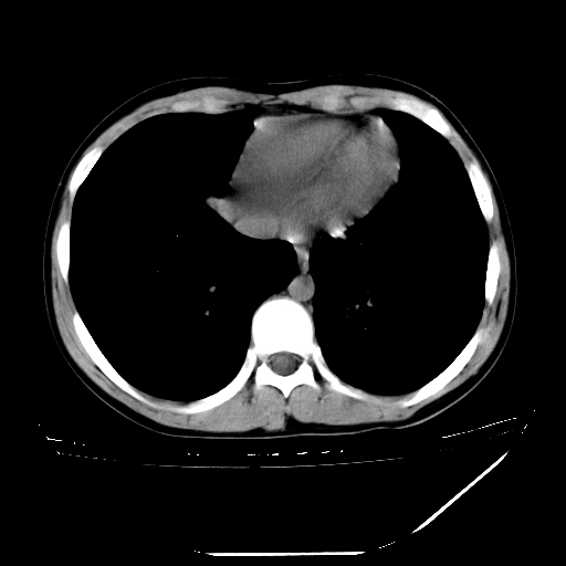
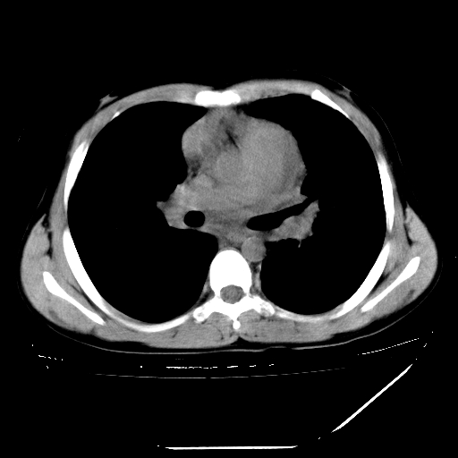
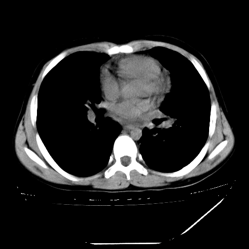
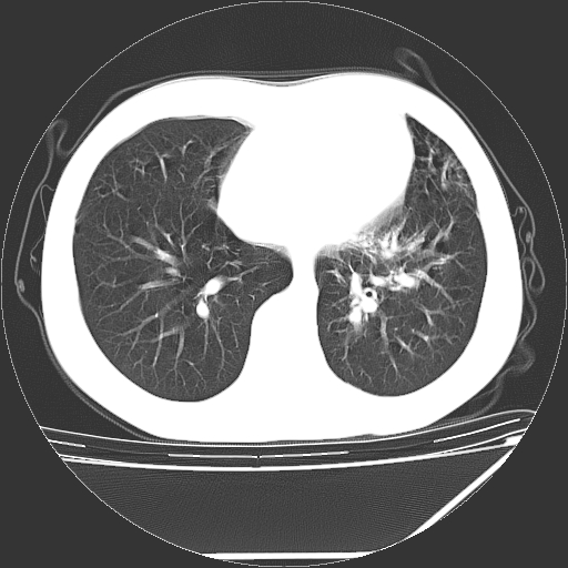
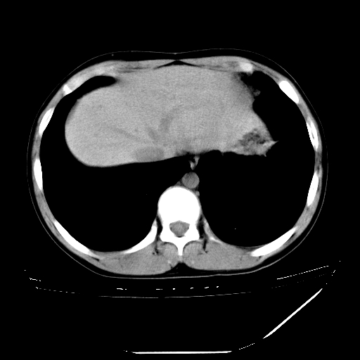
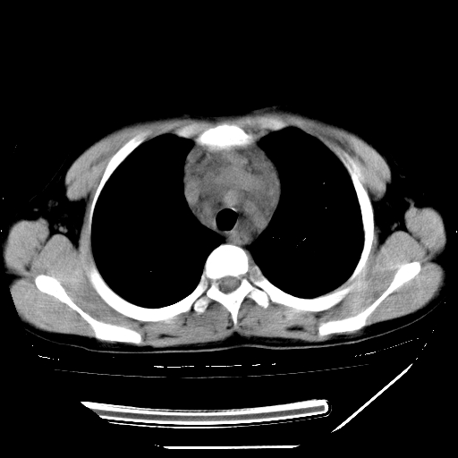
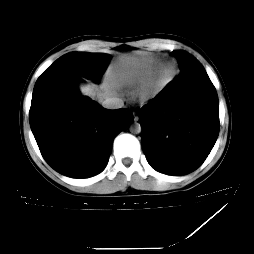
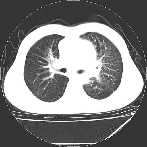
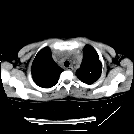
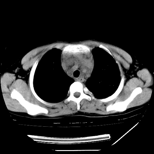
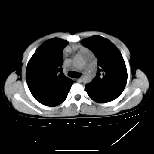
上纵隔课件多枚淋巴结,部分相互融合,左侧支气管壁增厚,肺纹理较右侧增粗,患者,男,13岁,
考虑:淋巴瘤可能性大。
作者: 卜一    时间: 2008-12-16 14:23
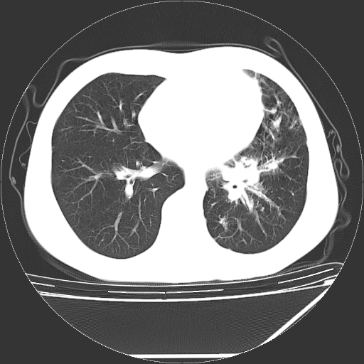
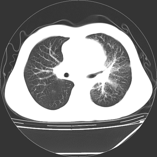
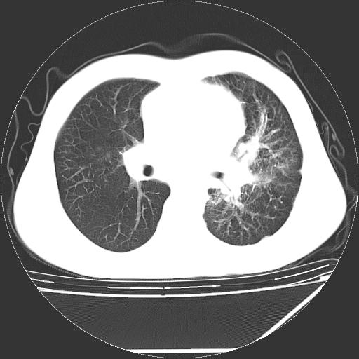
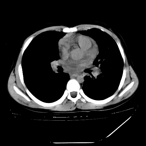
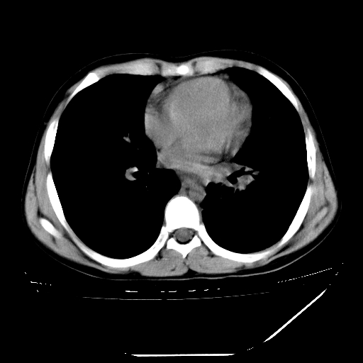
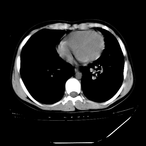
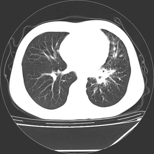
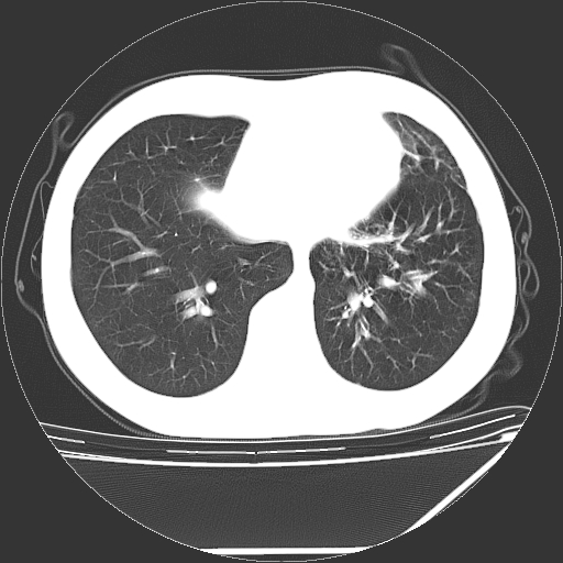
中上纵隔见多枚淋巴结肿大,部分相互融合成团片,左肺门增大,上叶支气管变窄,肺内多处斑片状 索条状及棉絮状致密影。临床“男,13岁,咳嗽、咳痰伴发热一周。”首先考虑:原发综合征!不除外淋巴瘤可能!
作者: wangyong1977    时间: 2008-12-16 17:29
原发综合征可能性大,不除外淋巴瘤。
作者: 王仕学    时间: 2008-12-16 17:32
支持原发综合征可能性大,不除外淋巴瘤。
作者: LIAOQIANG    时间: 2008-12-16 18:13
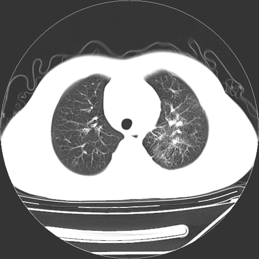
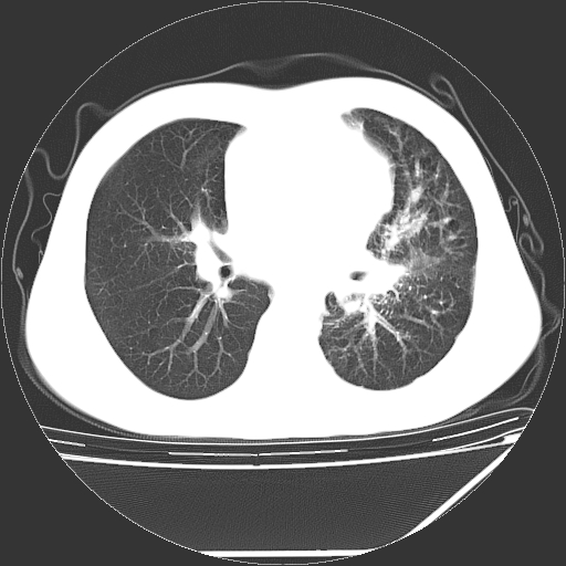
纵隔多发肿大淋巴结,部份有融合改变。双肺血管气管束增厚,以肺门为中心向外周散发,以左肺下叶为明显。考虑淋巴瘤可能性大。不除外原发综合征。
作者: 随光逐影    时间: 2008-12-16 18:30
淋巴瘤可能性大。
作者: scdlc2008    时间: 2008-12-16 18:46
淋巴瘤可能性大。
作者: jiangjing    时间: 2008-12-16 20:06
中上纵隔见多枚淋巴结肿大,部分相互融合成团片,左肺门增大,上叶支气管变窄,左肺支气管血管束增粗,可见磨玻璃样影。临床“男,13岁,咳嗽、咳痰伴发热一周。”首先考虑:淋巴瘤可能性大!
作者: 余辉    时间: 2008-12-17 00:03
中上纵隔见多枚淋巴结肿大,部分相互融合成团片,左肺门增大,上叶支气管变窄,左肺支气管血管束增粗,可见磨玻璃样影。临床“男,13岁,咳嗽、咳痰伴发热一周。”考虑肺纵隔急性淋巴管炎
作者: 余辉    时间: 2008-12-17 00:05
左肺野见淡片状影,病因整体多考虑结核
作者: 同    时间: 2008-12-17 01:45
考虑 淋巴瘤可能性大。
作者: sunjh2266    时间: 2008-12-17 05:22
考虑支原体肺炎可能。
作者: dyqct    时间: 2008-12-17 14:16
标题: 回复:ped1682:男,13岁,咳嗽、咳痰伴发热一周。
以下是引用卜一在2008-12-16 6:23:00的发言:[br]中上纵隔见多枚淋巴结肿大,部分相互融合成团片,左肺门增大,上叶支气管变窄,肺内多处斑片状 索条状及棉絮状致密影。临床“男,13岁,咳嗽、咳痰伴发热一周。”首先考虑:原发综合征!不除外淋巴瘤可能!

支持!
作者: 张XYZ    时间: 2008-12-18 04:24
支持楼意见
作者: drzhang8888    时间: 2008-12-18 21:34
上纵隔课件多枚淋巴结,部分相互融合,左侧支气管壁增厚,肺纹理较右侧增粗,患者,男,13岁,
考虑:淋巴瘤可能性大。范围比较大,要是结核的话,症状应该比较明显且重些吧,次考虑原发综合征
作者: 光影相伴    时间: 2008-12-18 23:04
淋巴瘤可能性大并肺部侵犯。
作者: hguox    时间: 2008-12-19 02:15
中上纵隔见多枚淋巴结肿大,部分相互融合成团片,左肺门增大,上叶支气管变窄,左肺支气管血管束增粗,可见磨玻璃样影。临床“男,13岁,咳嗽、咳痰伴发热一周。”考虑肺纵隔急性淋巴管炎
作者: 王松    时间: 2008-12-19 03:28
中上纵隔见多枚淋巴结肿大,部分相互融合成团片,纵隔内脂肪间隙模糊,左肺门增大,上叶支气管变窄,左肺支气管血管束增粗,可见磨玻璃样影。考虑纵隔淋巴管炎
作者: zyyzzy    时间: 2008-12-24 06:42
单纯看片子感觉左侧肺通气不畅,而不像肺内病变引起的纵隔病变。而且纵隔及左肺门都有淋巴结增大。首先还是考虑一下结节病,不排除淋巴瘤!!!




欢迎光临 医影在线 (http://bbs.radida.com/bbs/) Powered by Discuz! X3.2