医影在线

标题: CT17095:胸部病变请大家看看是什么性质的 [打印本页]

作者: haogandian    时间: 2008-12-16 20:05
标题: CT17095:胸部病变请大家看看是什么性质的
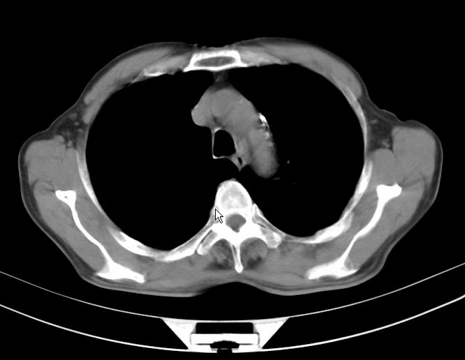
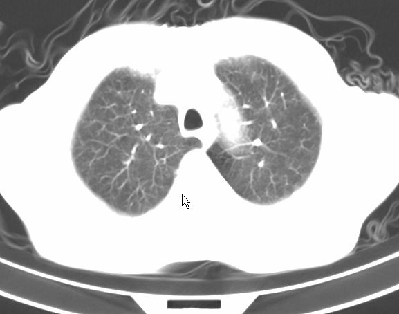
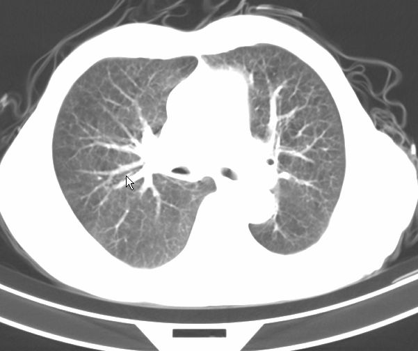
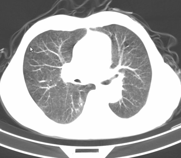
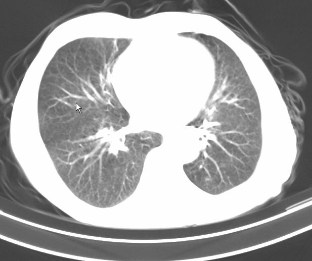
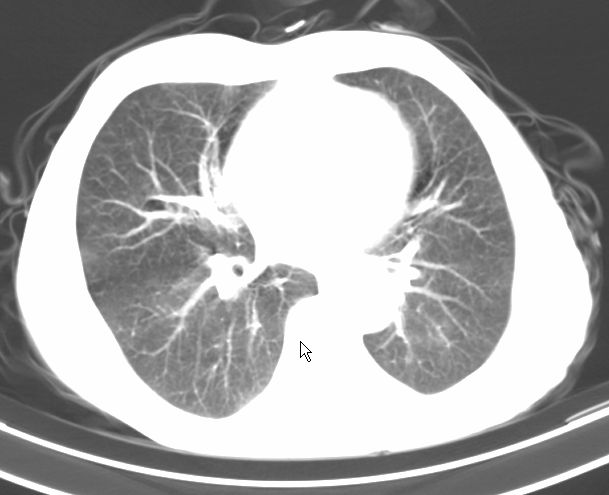
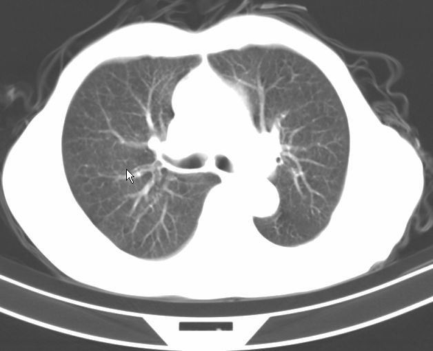
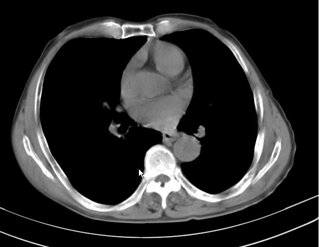
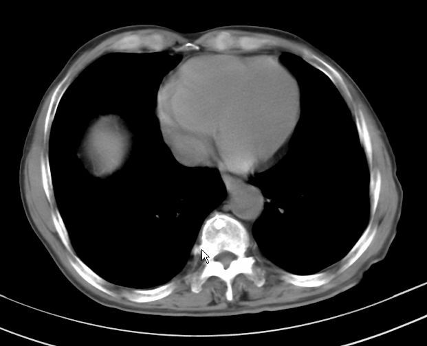
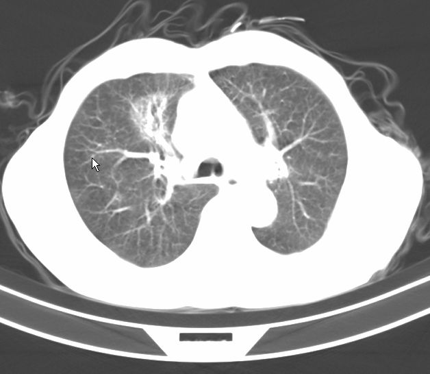
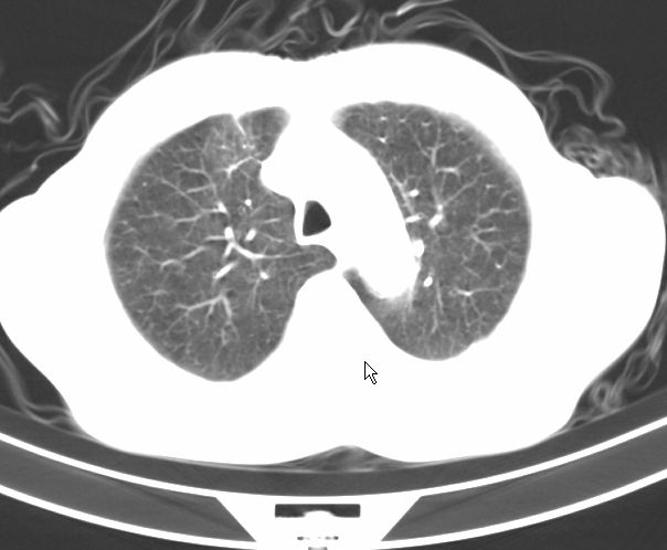
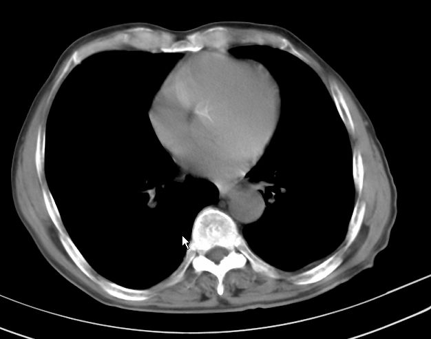
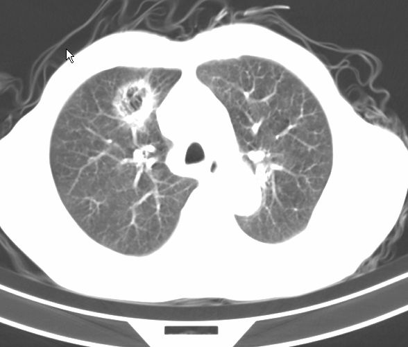
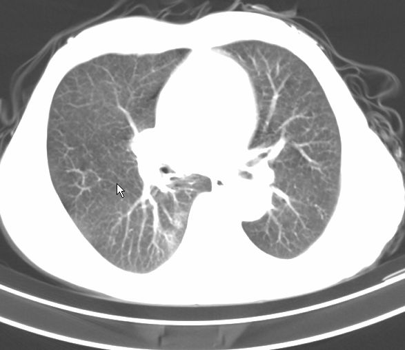
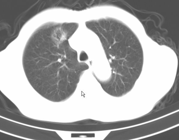
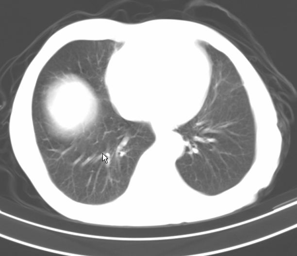
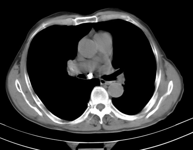
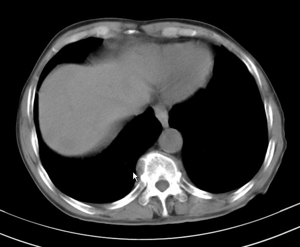
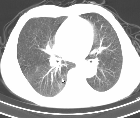
请大家看看是什么性质的。炎性病变首先考虑哪一种炎症。



























[本贴已被 jiajie 于 2008-12-16 12:49:15 修改过]

作者: dengkai    时间: 2008-12-16 20:39
炎性病变,金葡?建议痰检!
作者: 朱亮    时间: 2008-12-16 20:44
炎症
作者: zjzjr    时间: 2008-12-16 20:54
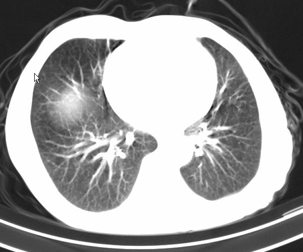
支持右肺上叶前段\\下叶内基底段感染,建议抗炎治疗后复查,除外结核.
作者: yy杨洋    时间: 2008-12-16 21:01
建议抗炎治疗后复查
作者: jiangjing    时间: 2008-12-16 21:28
支持右肺上叶前段\\下叶上段感染,建议抗炎治疗后复查,除外结核.
作者: 黑白光影    时间: 2008-12-17 01:23
支持右肺上叶前段、下叶内基底段感染,建议抗炎治疗后复查,除外结核.
作者: dsl555    时间: 2008-12-17 01:52
建议抗炎治疗后复查
作者: 随光逐影    时间: 2008-12-17 02:36
右肺上叶前段及下叶内基底段感染性病变;建议抗炎治疗后复查。
作者: xulianj    时间: 2008-12-17 04:08
支持炎症,建议抗炎治疗后复查。
作者: zsl6918    时间: 2008-12-17 12:49
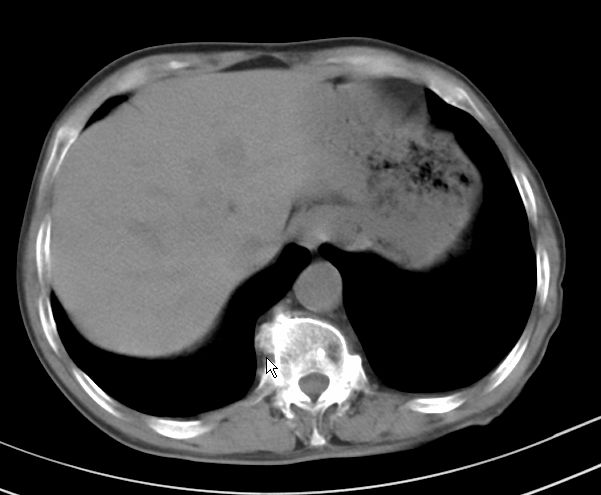
楼主说是炎症,凭啥?典型的周围型肺癌(腺癌可能性大),肝内可能已有转移,强化看看吧。
作者: dyqct    时间: 2008-12-17 15:27
标题: 回复:ct17095:胸部病变请大家看看是什么性质的
以下是引用zjzjr在2008-12-16 12:54:00的发言:[br]支持右肺上叶前段\\下叶内基底段感染,建议抗炎治疗后复查,除外结核.

作者: jzhang21    时间: 2009-1-14 18:36
支持右肺上叶前段、下叶内基底段感染,建议抗炎治疗后复查,除外结核.




欢迎光临 医影在线 (http://bbs.radida.com/bbs/) Powered by Discuz! X3.2