















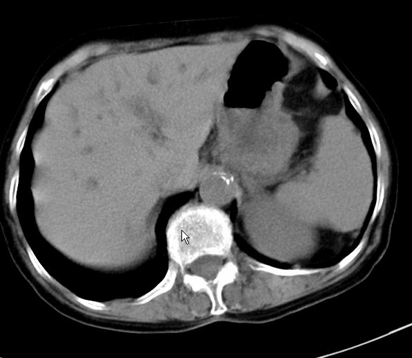
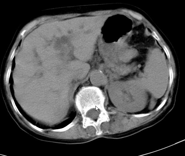
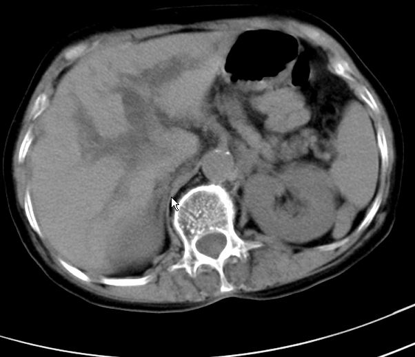
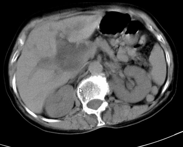
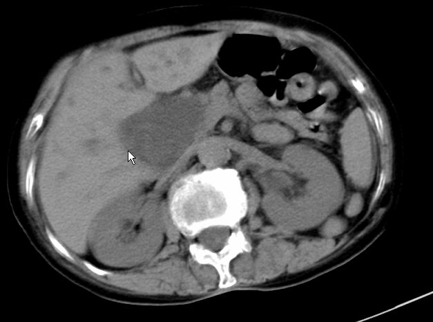
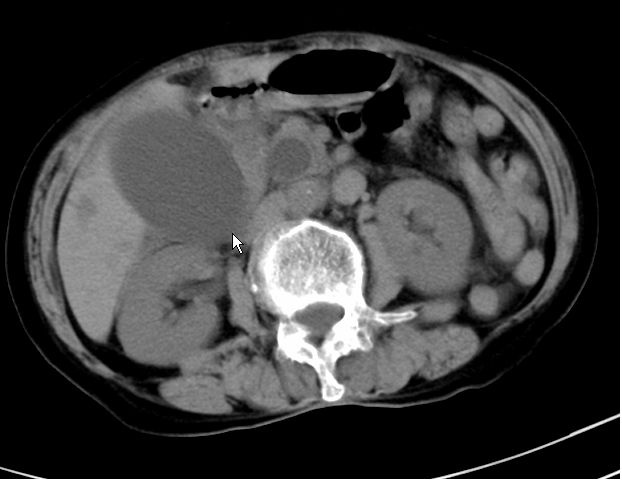
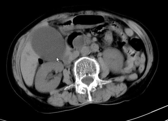
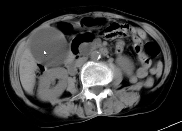
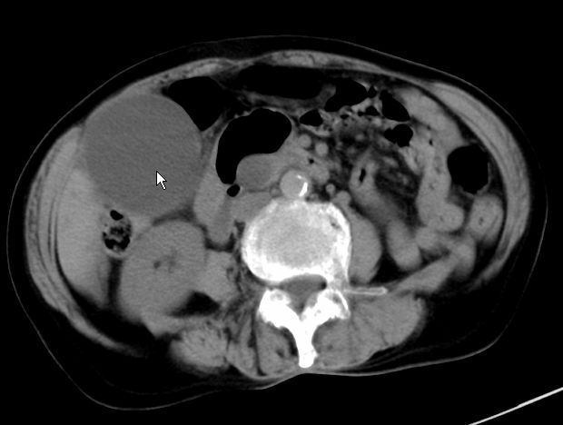
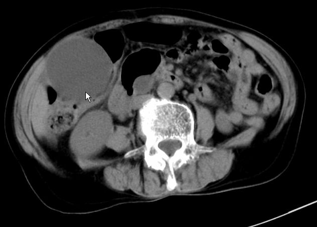
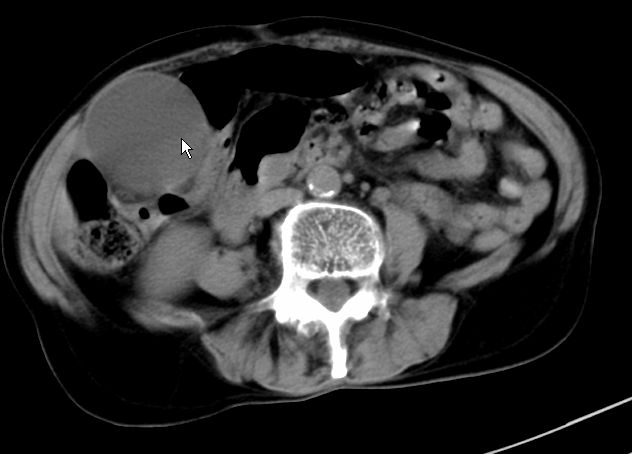
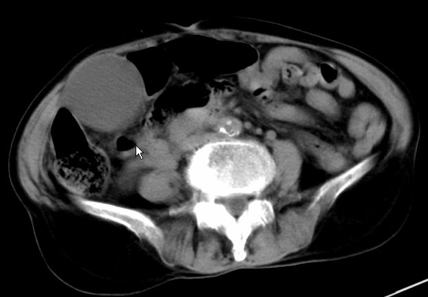
以下是引用zjzjr在2008-12-16 12:49:00的发言:[br]肝内外胆管全程扩张,胆囊明显增大,未见占位征像.建议mrcp.
以下是引用jiangjing在2008-12-16 13:19:00的发言:[br]肝内外胆管全程扩张,胆囊明显增大,扩张胆总管下段径较中上段小,未见胰管扩张,提示胆总管远端梗阻伴感染.建议增强及mrcp 检查
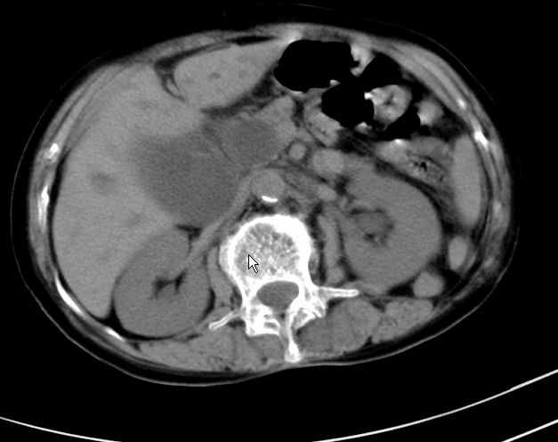
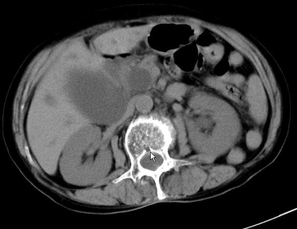
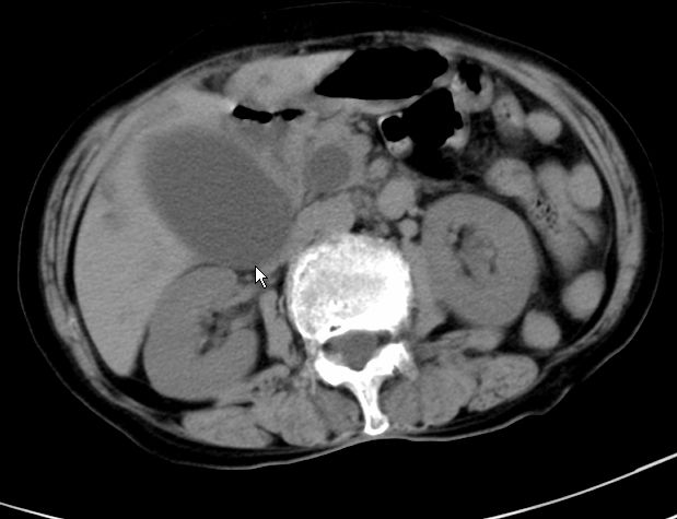
以下是引用朱亮在2008-12-16 12:54:00的发言:[br]胆总管远端应薄层扫描 胆总管逐渐变细 考虑胆系慢性炎症
| 欢迎光临 医影在线 (http://bbs.radida.com/bbs/) | Powered by Discuz! X3.2 |