医影在线

标题: CT17100:女,68岁,左侧肢体活动不利。 [打印本页]

作者: 小初学者    时间: 2008-12-16 20:45
标题: CT17100:女,68岁,左侧肢体活动不利。
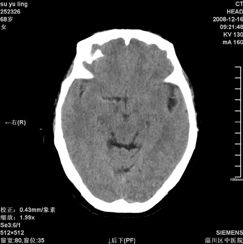
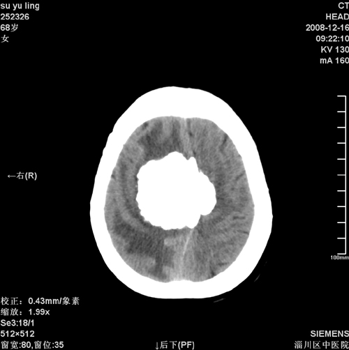
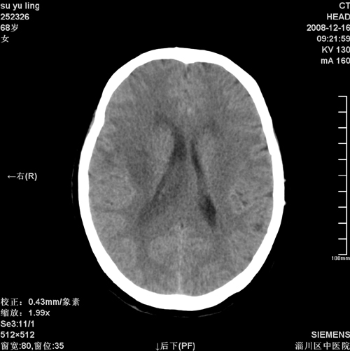
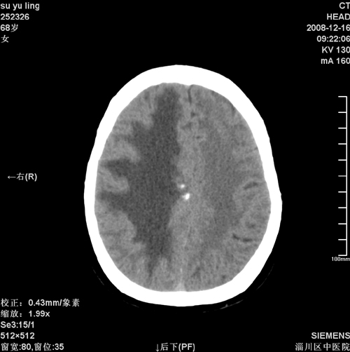
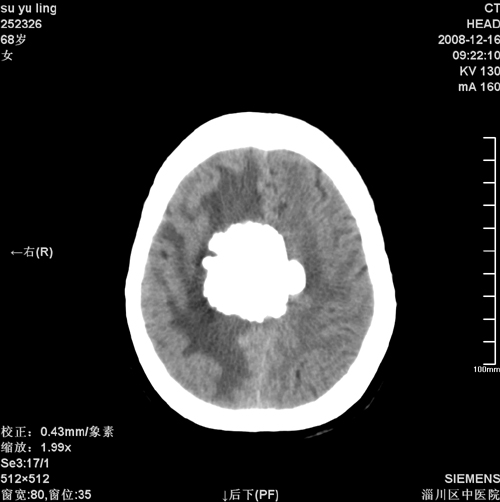
女,68岁,左侧肢体活动不利。
考虑1、脑膜瘤
    2、转移瘤
    3、骨软骨瘤(可能性小)




















[本贴已被 jiajie 于 2008-12-16 12:56:36 修改过]

作者: 朱亮    时间: 2008-12-16 20:47
考虑脑膜瘤钙化
作者: zjzjr    时间: 2008-12-16 21:01
支持钙化型脑膜瘤
作者: yy杨洋    时间: 2008-12-16 21:06
支持钙化型脑膜瘤
作者: jiangjing    时间: 2008-12-16 21:07
病灶比较均匀钙化,水肿明显,紧贴颅顶与大脑镰并跨越大脑镰----支持脑膜瘤
作者: dianzi    时间: 2008-12-16 22:19
学习了,这么样钙化的脑膜瘤还没见过
作者: LIAOQIANG    时间: 2008-12-16 22:57
考虑脑膜瘤钙化。
作者: dengkai    时间: 2008-12-16 23:41
支持钙化型脑膜瘤
作者: scdlc2008    时间: 2008-12-16 23:45
考虑脑膜瘤钙化。
作者: 风雨彩虹    时间: 2008-12-17 00:01
头一次见这么大的,学习了
作者: 深泽交通    时间: 2008-12-17 00:17
标题: 回复:ct17100:女,68岁,左侧肢体活动不利。
以下是引用朱亮在2008-12-16 12:47:00的发言:[br]考虑脑膜瘤钙化

作者: 吃草吐奶    时间: 2008-12-17 00:35
开眼了!
作者: 黑白光影    时间: 2008-12-17 01:34
脑袋里长核,少见。支持脑膜瘤钙化考虑。
作者: dsl555    时间: 2008-12-17 01:49
病灶比较均匀钙化,水肿明显,紧贴颅顶与大脑镰并跨越大脑镰----支持脑膜瘤
作者: 随光逐影    时间: 2008-12-17 02:34
1)考虑镰旁脑膜瘤钙化。2)小脑萎缩。
作者: 不学无术    时间: 2008-12-17 03:49
支持钙化型脑膜瘤
作者: xulianj    时间: 2008-12-17 04:26
支持钙化型脑膜瘤
作者: §K☆K§    时间: 2008-12-17 06:09
学习了
作者: zsl6918    时间: 2008-12-17 06:38
首先考虑钙化型脑膜瘤
作者: dyqct    时间: 2008-12-17 15:19
支持镰旁钙化型脑膜瘤。
作者: het1978    时间: 2008-12-17 17:20
头一次看到这么大钙化脑膜瘤,且其周水肿范围太大
作者: jzhang21    时间: 2009-1-14 18:37
支持钙化型脑膜瘤




欢迎光临 医影在线 (http://bbs.radida.com/bbs/) Powered by Discuz! X3.2