医影在线

标题: CT17110:F56Y,纵隔囊肿;胸腺?淋巴?请各位老师看看 [打印本页]

作者: cht177    时间: 2008-12-17 01:56
标题: CT17110:F56Y,纵隔囊肿;胸腺?淋巴?请各位老师看看
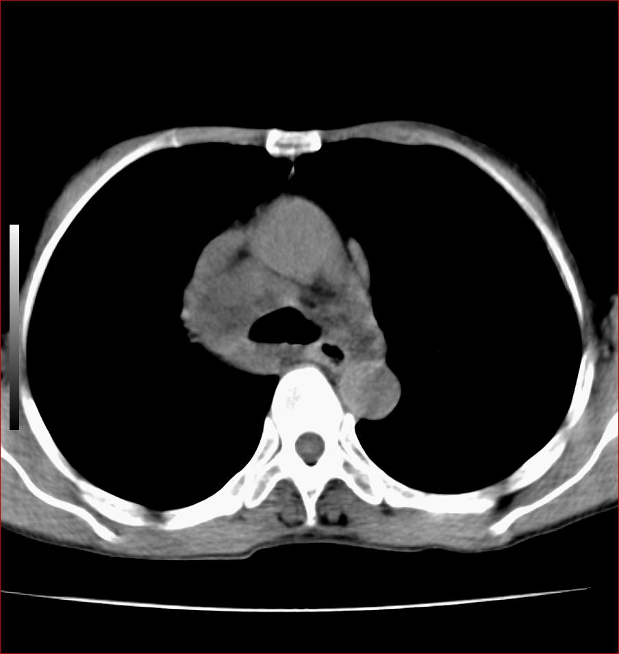
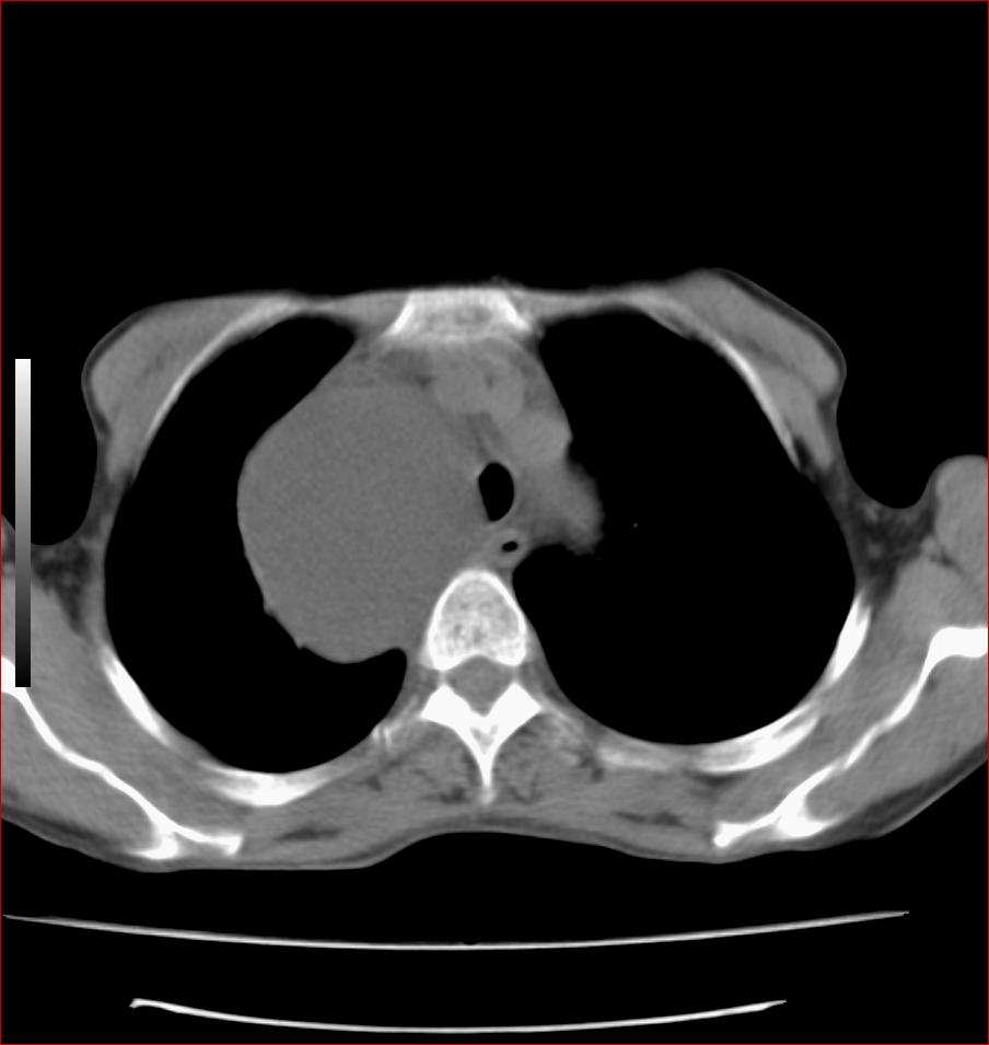
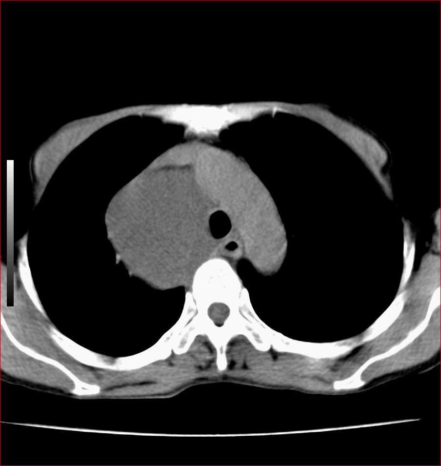
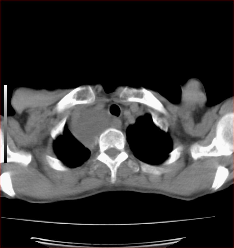
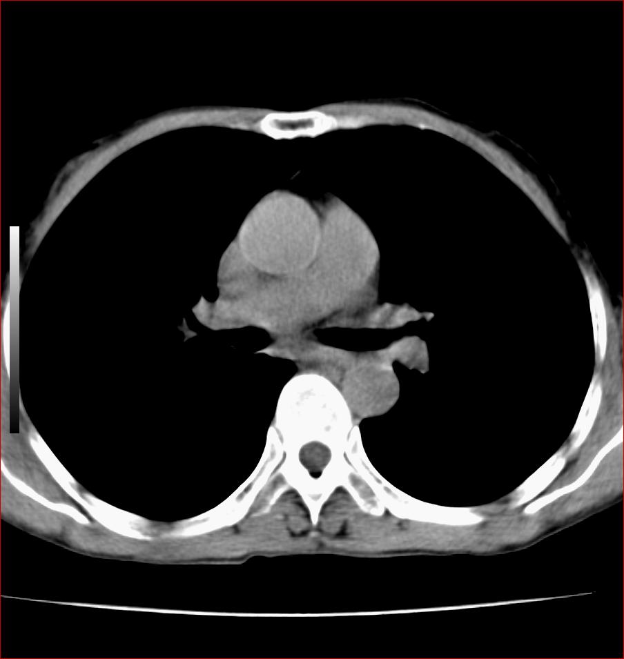
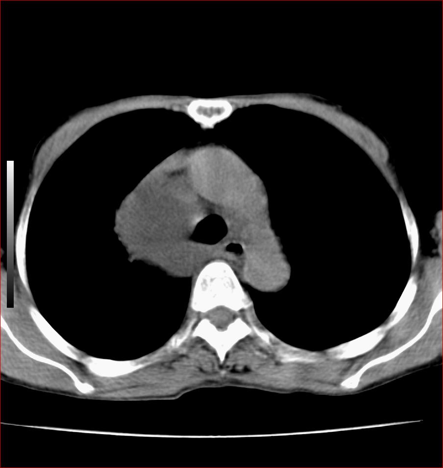
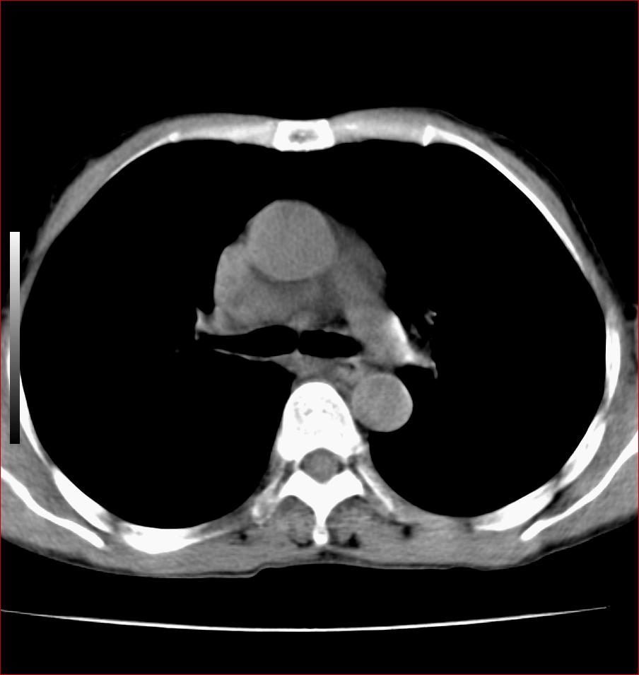
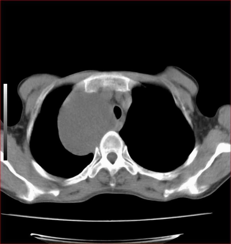
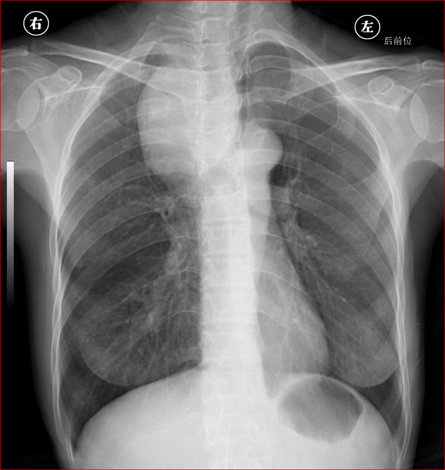
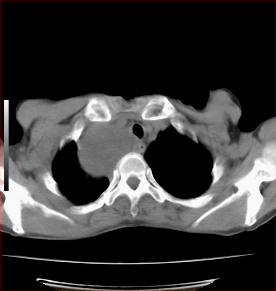
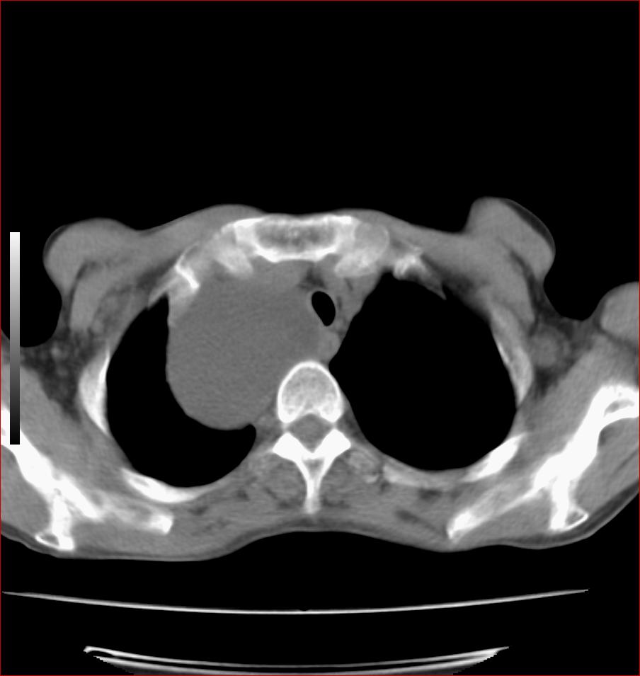
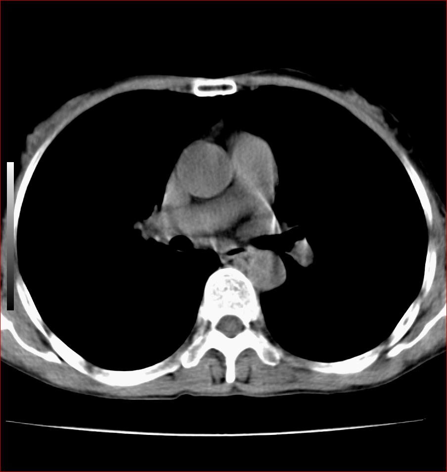
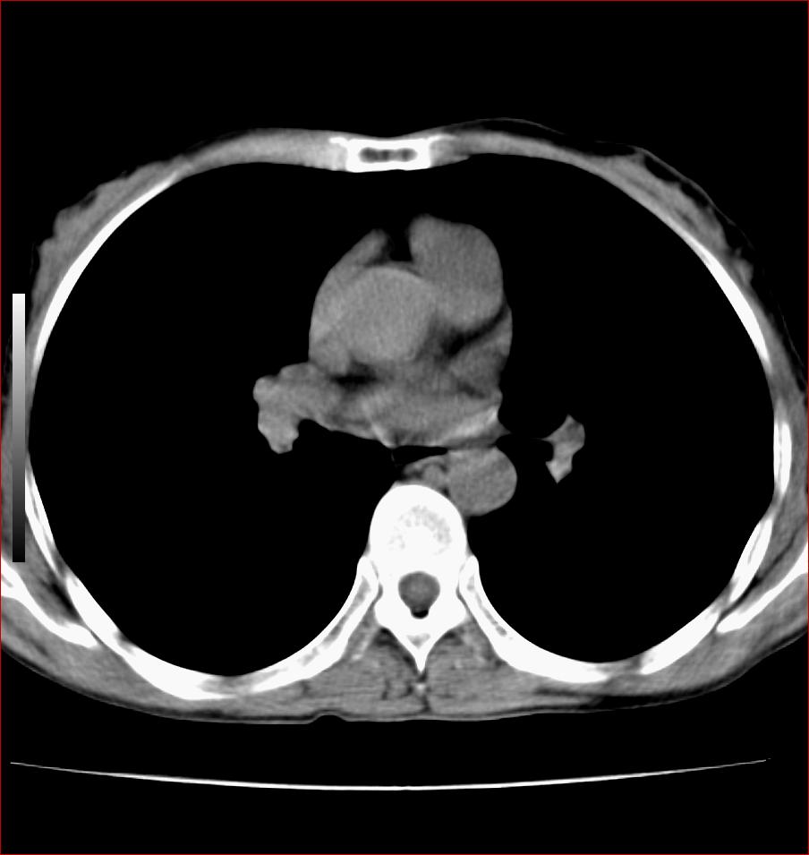
女性患者 56 咽痛伴声嘶10+天入院。

















[本贴已被 jiajie 于 2008-12-16 18:08:56 修改过]

作者: dsl555    时间: 2008-12-17 02:15
只有平扫不好说。建议强化
作者: SOS.LA    时间: 2008-12-17 02:39
气管囊肿
作者: sdzyy    时间: 2008-12-17 02:43
囊肿可能,建议增强.
作者: 杀毒软件    时间: 2008-12-17 02:45
先考虑---------支气管囊肿
作者: 随光逐影    时间: 2008-12-17 03:07
右上纵隔囊性占位性病变;考虑支气管囊肿可能。
作者: 光线    时间: 2008-12-17 03:15
考虑淋巴管囊肿。
作者: 余辉    时间: 2008-12-17 03:26
纵隔囊肿,气管来源可能性大
作者: 影象小泰斗    时间: 2008-12-17 03:42
病变紧贴气管右壁,两者相互压迫,考虑支气管囊肿!
作者: aka502    时间: 2008-12-17 03:50
只有平扫不好说。建议强化
作者: CT-LU    时间: 2008-12-17 03:55
见相互挤压征,考虑气管囊肿,建议ct增强扫描
作者: yy杨洋    时间: 2008-12-17 04:14
右上纵隔囊性占位性病变,建议强化。
作者: zjzjr    时间: 2008-12-17 04:33
右上纵隔囊性占位性病变;考虑支气管囊肿可能。
作者: xulianj    时间: 2008-12-17 04:33
纵隔囊性占位性病变;考虑支气管囊肿可能。
作者: wangyong1977    时间: 2008-12-17 04:39
病变紧贴气管右壁,两者相互压迫,考虑支气管囊肿!
作者: 卜一    时间: 2008-12-17 04:56
右上纵隔囊性占位性病变,建议强化。
作者: 黑白光影    时间: 2008-12-17 04:59
右上纵隔囊性占位性病变;考虑支气管囊肿可能。建议ct增强扫描
作者: 72xiang.zi    时间: 2008-12-17 05:10
纵隔囊肿,气管来源可能性大,建议强化。
作者: PZJ    时间: 2008-12-17 05:17
病变紧贴气管右壁,两者相互压迫,考虑支气管囊肿!  建议强化
作者: zsl6918    时间: 2008-12-17 07:01
纵隔前肠性囊性,支气管囊肿可能性大
作者: huenhao    时间: 2008-12-17 07:15
考虑淋巴管囊肿
作者: dyqct    时间: 2008-12-17 14:54
标题: 回复:ct17110:f56y,纵隔囊肿;胸腺?淋巴?请各位老师看看
以下是引用zjzjr在2008-12-16 20:33:00的发言:[br]右上纵隔囊性占位性病变;考虑支气管囊肿可能。

支持!
作者: jzhang21    时间: 2009-1-14 18:19
支气管囊肿或淋巴管囊肿




欢迎光临 医影在线 (http://bbs.radida.com/bbs/) Powered by Discuz! X3.2