医影在线

标题: MRI1950:F,50岁,腰椎管内异常信号。 [打印本页]

作者: 郭凯    时间: 2008-12-17 19:59
标题: MRI1950:F,50岁,腰椎管内异常信号。
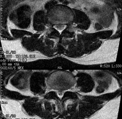
患者,女,50岁,左侧腹股沟及其下方疼痛、酸沉2年。
请各位战友看一下l4-5椎间盘后方椎管内是病灶吗?马尾神经到此处是不是终止了?










[本贴已被 郭凯 于 2008-12-17 12:01:39 修改过]

作者: 余辉    时间: 2008-12-18 02:19
腰45椎间盘突出,后部影像可能是硬膜囊粘连引起的
作者: shiqingfa    时间: 2008-12-18 03:52
腰45椎间盘突出,后部影像可能是硬膜囊粘连引起的
支持
作者: 共振    时间: 2008-12-18 04:05
l4/5椎间盘突出。后方硬膜囊受压改变。另外,该病人是否并发子宫肌瘤啊
作者: 蕊蕊爱影像    时间: 2008-12-18 04:59
腰椎各椎间盘有不同程度的突出.
作者: xulianj    时间: 2008-12-18 05:14
标题: 回复:mri1950:f,50岁,腰椎管内异常信号。
以下是引用shiqingfa在2008-12-17 19:52:00的发言:[br]腰45椎间盘突出,后部影像可能是硬膜囊粘连引起的[br]支持

作者: 卜一    时间: 2008-12-18 12:52
l4/5椎间盘突出。后方硬膜囊受压改变。支持!
作者: 联众之王    时间: 2008-12-18 14:35
腰45椎间盘突出,马尾终丝聚集:考虑蛛网膜炎症粘连
作者: 影像之路    时间: 2008-12-18 22:26
腰45椎间盘突出,马尾终丝聚集:考虑蛛网膜炎症粘连
作者: docgobt103035    时间: 2008-12-19 02:53
l4-5轻突,黄韧带增厚,蛛网膜炎症粘连可能
作者: 影中游虾    时间: 2008-12-19 03:42
l4-s1椎间盘突出。
作者: jiangjing    时间: 2008-12-19 20:19
腰45椎间盘突出,马尾终丝聚集:考虑蛛网膜炎症粘连
作者: zyx168    时间: 2008-12-19 20:57
l4/5椎间盘突出。后方硬膜囊受压改变。支持!
作者: chinanyd    时间: 2008-12-19 23:38
椎间盘突出
作者: 随光逐影    时间: 2008-12-20 01:10
l4/5椎间盘突出;马尾终丝聚集,考虑蛛网膜炎所致。




欢迎光临 医影在线 (http://bbs.radida.com/bbs/) Powered by Discuz! X3.2