医影在线

标题: PED1686:M7Y,头外伤,家人及自诉平时无任何不适。 [打印本页]

作者: xupengjie    时间: 2008-12-18 02:45
标题: PED1686:M7Y,头外伤,家人及自诉平时无任何不适。
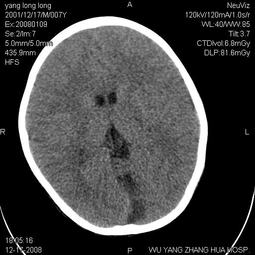
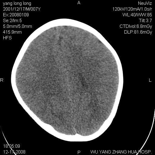
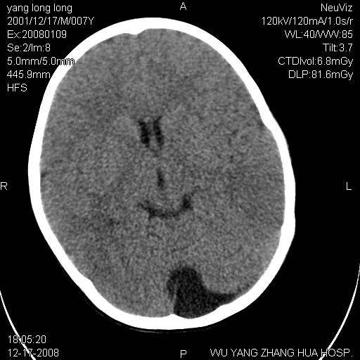
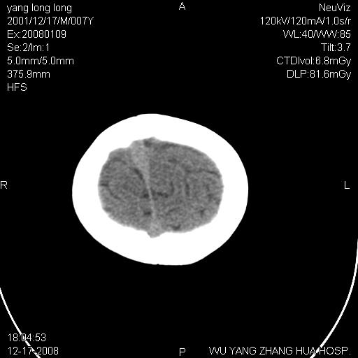
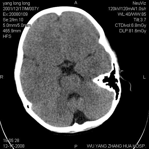
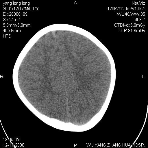
考虑蛛网膜囊肿,请老师们看看多指导指导。














[本贴已被 jiajie 于 2008-12-17 19:02:20 修改过]

作者: 余辉    时间: 2008-12-18 02:53
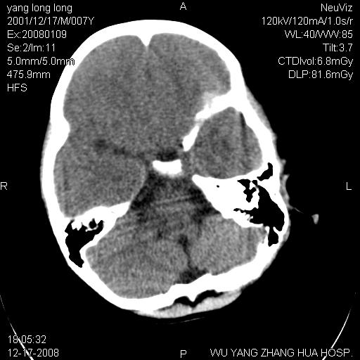
多考虑大枕大池。本例颅骨歪歪的,灶后枕骨似有膨胀征像(为蛛网膜囊肿征像),但整个左侧枕叶后方枕骨均有向后膨隆,所以暂不考虑蛛网膜囊肿。必要时随访
作者: 卜一    时间: 2008-12-18 02:58
大枕大池!支持!
作者: 流浪星    时间: 2008-12-18 04:01
大枕大池!支持!我的脑部就是这样。
作者: 黑白光影    时间: 2008-12-18 05:45
标题: 回复:ped1686:m7y,头外伤,家人及自诉平时无任何不适。
以下是引用流浪星在2008-12-17 20:01:00的发言:[br]大枕大池!支持!我的脑部就是这样。


大枕大池二例。嘿嘿!
作者: dyqct    时间: 2008-12-18 06:22
大枕大池!支持!
作者: zsl6918    时间: 2008-12-18 12:33
支持枕大池改变
作者: scdlc2008    时间: 2008-12-18 18:26
支持枕大池
作者: 随光逐影    时间: 2008-12-18 18:52
巨大枕大池。
作者: zjzjr    时间: 2008-12-18 19:24
大枕大池!支持!
作者: drzhang8888    时间: 2008-12-18 21:15
枕大池,但不太大,正常范围
作者: 光影相伴    时间: 2008-12-18 23:06
鉴别巨大枕大池与蛛网膜囊肿之间,倾向前者。
作者: 同    时间: 2008-12-19 02:51
应该是大枕大池。
作者: 王松    时间: 2008-12-19 03:21
枕大池蛛网膜囊肿
作者: wangyong1977    时间: 2008-12-19 04:56
蛛网膜囊肿可能性大
作者: pzj    时间: 2008-12-19 06:01
支持大枕大池
作者: yy杨洋    时间: 2008-12-19 08:26
大枕大池!支持!
作者: jiangjing    时间: 2008-12-19 22:01
大枕大池!支持!
作者: 冰山下的火    时间: 2008-12-20 06:58
考虑枕大池蛛网膜囊肿
作者: 王仕学    时间: 2008-12-20 16:52
考虑大枕大池
作者: LIAOQIANG    时间: 2008-12-21 05:02
考虑枕大池蛛网膜囊肿。建议必要时mri检查。
作者: zyyzzy    时间: 2008-12-24 06:28
病变向两侧延伸,颅骨内板受压侵蚀,似有张力!!还是考虑蛛网膜囊肿!!
作者: HGUOX    时间: 2008-12-26 02:36
大枕大池!支持




欢迎光临 医影在线 (http://bbs.radida.com/bbs/) Powered by Discuz! X3.2