







以下是引用卜一在2008-12-18 4:39:00的发言:[br]淋巴结肿大!
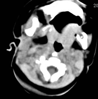
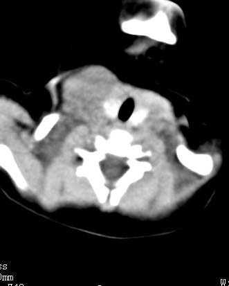
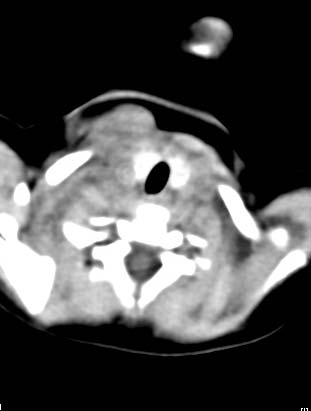
以下是引用zjzjr在2008-12-18 11:20:00的发言:[br]右颈部软组织肿块,性质待定(神经源性肿瘤等排),上下径较长,不太支持肿大淋巴结.
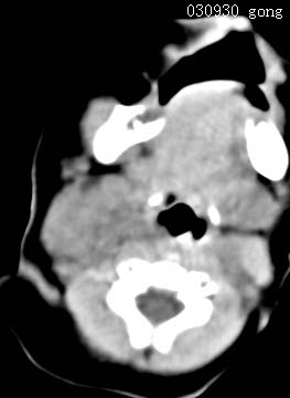
以下是引用zjzjr在2008-12-18 11:20:00的发言:[br]右颈部软组织肿块,性质待定(神经源性肿瘤等排),上下径较长,不太支持肿大淋巴结.
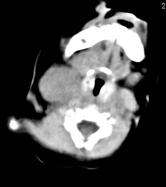
以下是引用zjzjr在2008-12-18 11:20:00的发言:[br]右颈部软组织肿块,性质待定(神经源性肿瘤等排),上下径较长,不太支持肿大淋巴结.
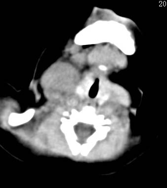
以下是引用zjzjr在2008-12-18 11:20:00的发言:[br]右颈部软组织肿块,性质待定(神经源性肿瘤等排),上下径较长,不太支持肿大淋巴结.
| 欢迎光临 医影在线 (http://bbs.radida.com/bbs/) | Powered by Discuz! X3.2 |