医影在线
标题: CT17147:男70岁,上腹部不适1月。 [打印本页]
作者: 岚儿 时间: 2008-12-18 20:50
标题: CT17147:男70岁,上腹部不适1月。
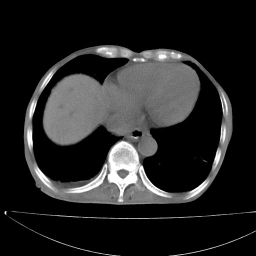
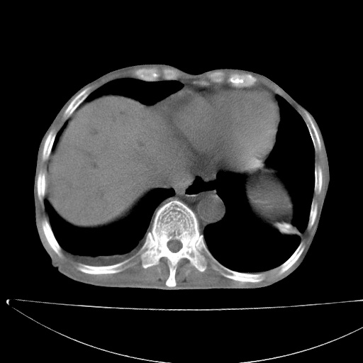
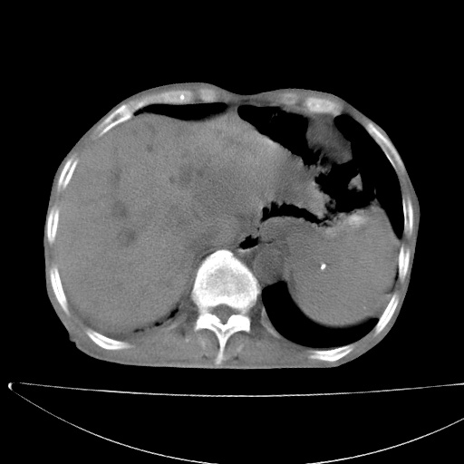
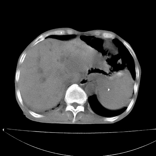
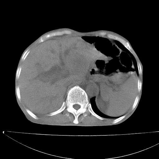
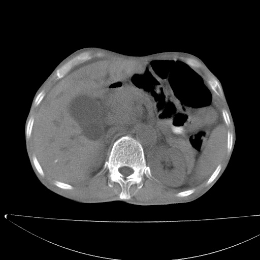
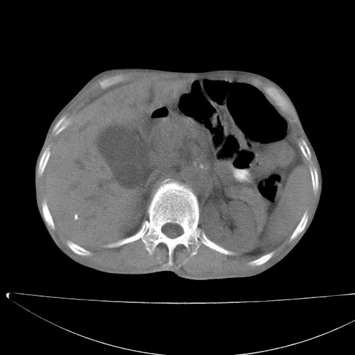
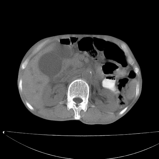
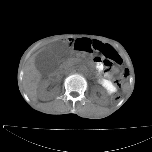
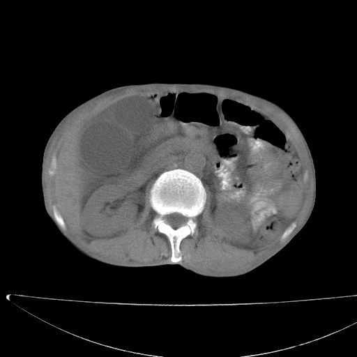
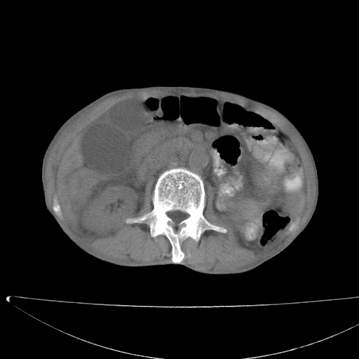
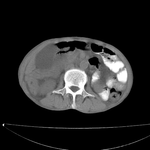
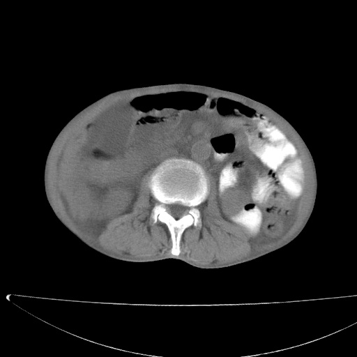
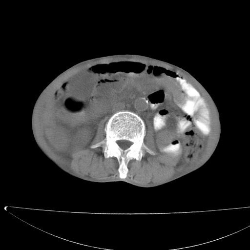
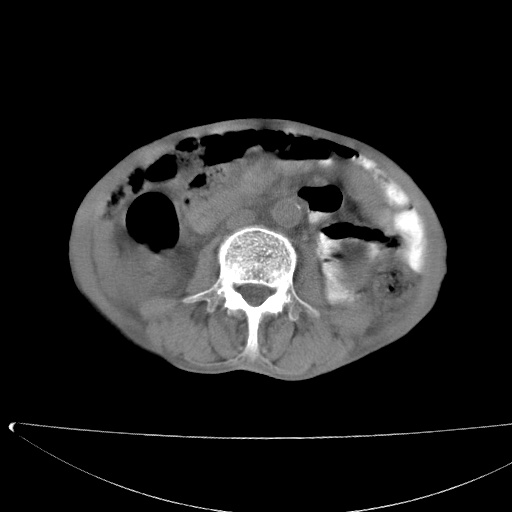
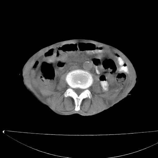
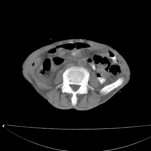
患者男70岁,上腹部不适1月。8年前有胃癌手术史。余病史不祥。




















[本贴已被 jiajie 于 2008-12-18 12:55:34 修改过]
作者: 朱亮 时间: 2008-12-18 21:06
考虑胃癌复发并小网膜淋巴结转移侵及肝脏胆总管梗阻
作者: 流浪星 时间: 2008-12-18 21:11
考虑胃癌复发并腹腔内淋巴结转移。
作者: dengkai 时间: 2008-12-18 21:32
考虑胃癌复发并腹腔内淋巴结转移。
作者: 光影相伴 时间: 2008-12-18 22:51
1)胃癌术后,复发不排除。
2)肝脏转移瘤。
3)肝脏钙化灶。
4)胆囊增大。
5)腹膜后多发性淋巴结转移。
6)腹水。
7)右侧少量胸水。
建议:增强扫描。
作者: 深泽交通 时间: 2008-12-18 23:07
考虑胃窦癌肝门转移
作者: muzi888 时间: 2008-12-18 23:27
考虑胃癌复发并腹腔内淋巴结转移,胆总管受侵。
作者: 卜一 时间: 2008-12-18 23:35
考虑胃窦癌肝门区淋巴结转移!
作者: 随光逐影 时间: 2008-12-18 23:44
1)胃癌术后,不排除复发可能。2)考虑肝脏及腹膜后淋巴结转移瘤。3)肝内胆管扩张,胆囊增大。4)肝内胆管结石(或钙化)。5)脾脏钙化灶。6)腹水。7)右侧少量胸腔积液。
建议:行ct增强扫描检查。
作者: 杀毒软件 时间: 2008-12-18 23:47
标题: 回复:ct17147:男70岁,上腹部不适1月。
以下是引用随光逐影在2008-12-18 15:44:00的发言:[br]1)胃癌术后,不排除复发可能。2)考虑肝脏及腹膜后淋巴结转移瘤。3)肝内胆管扩张,胆囊增大。4)肝内胆管结石(或钙化)。5)脾脏钙化灶。6)腹水。7)右侧少量胸腔积液。[br]建议:行ct增强扫描检查。
支持
作者: CT-LU 时间: 2008-12-19 00:23
1、胃癌根治胃空肠吻合术后,残胃癌?
2、肝门区占位性病变并胆道上段梗阻(肝内胆管扩张、胆囊增大),考虑肝门区淋巴结转移累及胆总管,建议ct增强扫描;
3、右侧胸腔少量积液、少量腹水;
4、肝右叶胆管结石。
作者: zsl6918 时间: 2008-12-19 01:11
建议强化,考虑复发并转移
作者: zjzjr 时间: 2008-12-19 01:33
标题: 回复:ct17147:男70岁,上腹部不适1月。
以下是引用随光逐影在2008-12-18 15:44:00的发言:[br]1)胃癌术后,不排除复发可能。2)考虑肝脏及腹膜后淋巴结转移瘤。3)肝内胆管扩张,胆囊增大。4)肝内胆管结石(或钙化)。5)脾脏钙化灶。6)腹水。7)右侧少量胸腔积液。[br]建议:行ct增强扫描检查。
作者: dsl555 时间: 2008-12-19 01:37
标题: 回复:ct17147:男70岁,上腹部不适1月。
以下是引用卜一在2008-12-18 15:35:00的发言:[br]考虑胃窦癌肝门区淋巴结转移!
作者: 黑白光影 时间: 2008-12-19 03:23
1)胃癌术后,不排除复发可能。2)考虑肝脏及腹膜后淋巴结转移瘤。3)肝内胆管扩张,胆囊增大。4)肝内胆管结石(或钙化)。5)脾脏钙化灶。6)腹水。7)右侧少量胸腔积液。建议:行ct增强扫描检查。
作者: xulianj 时间: 2008-12-19 04:16
考虑胃窦癌肝门区淋巴结转移!
作者: wxl1682 时间: 2008-12-19 05:39
肝门区占位性病变并肝内胆管扩张。
小网膜囊区及腹膜后肿大淋巴结。
| 欢迎光临 医影在线 (http://bbs.radida.com/bbs/) |
Powered by Discuz! X3.2 |