医影在线

标题: CT17151:女 53岁 腹痛数月余 轻微黄疸 [打印本页]

作者: lusiaba    时间: 2008-12-18 23:37
标题: CT17151:女 53岁 腹痛数月余 轻微黄疸
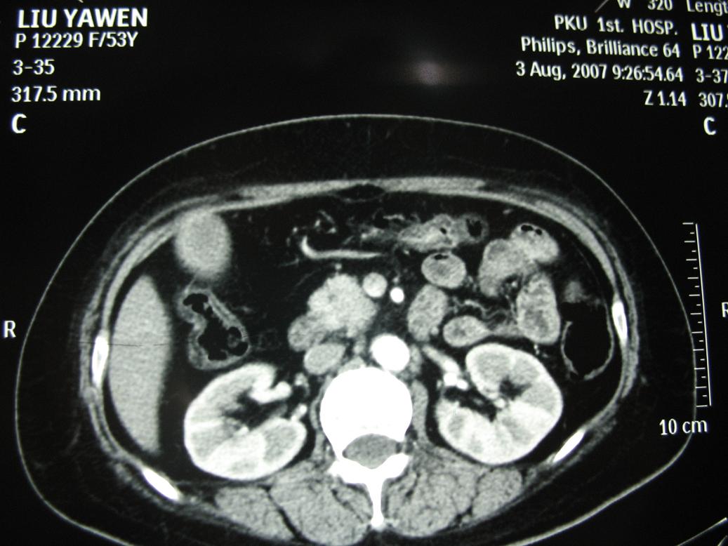
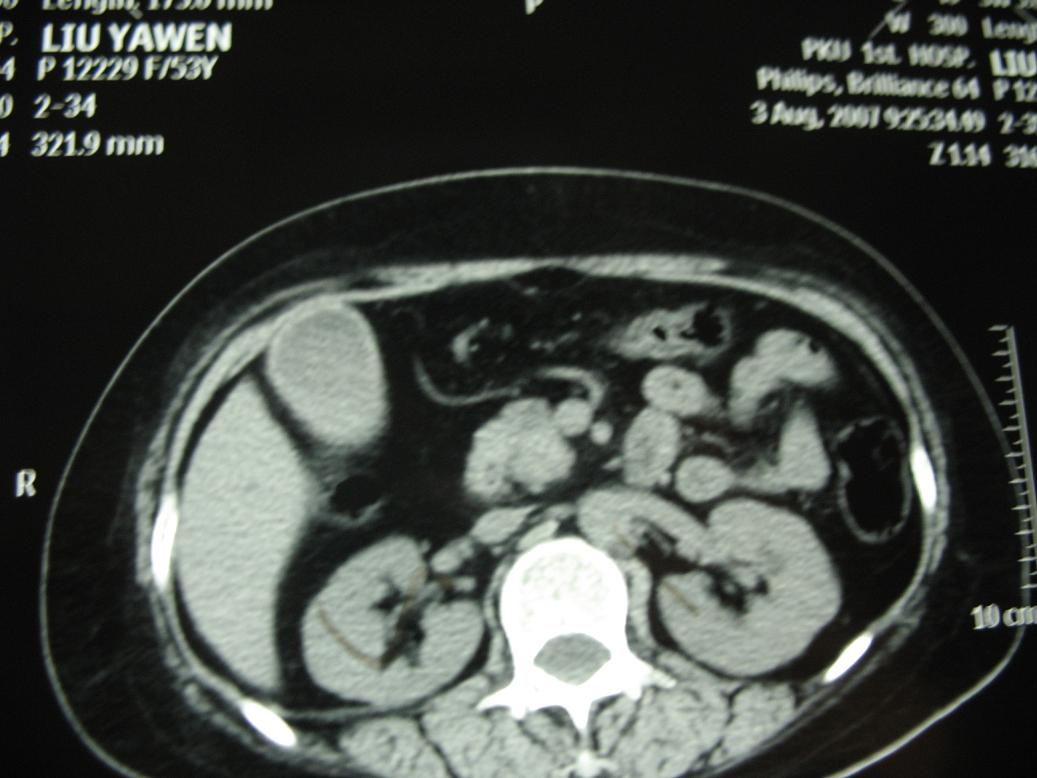
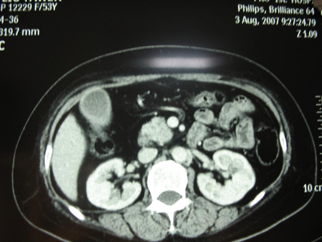
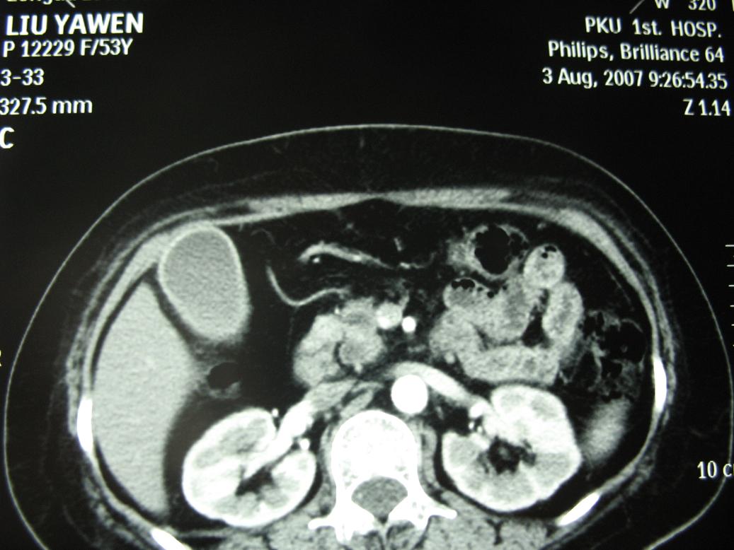
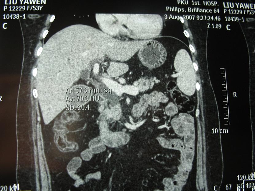
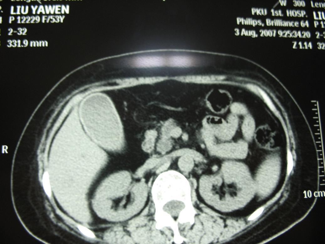
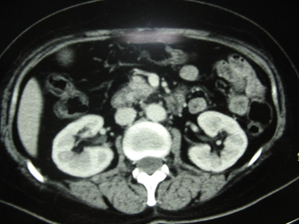
女 53岁 腹痛数月余 轻微黄疸














[本贴已被 翁志蓬 于 2008-12-18 23:38:19 修改过]

作者: 随光逐影    时间: 2008-12-18 23:53
1)考虑胰头癌。2)胆囊炎。
作者: 医影常客    时间: 2008-12-19 00:09
壶腹周围占位(钩突ca?)
作者: 影象小辈    时间: 2008-12-19 00:14
1)考虑胰头癌。2)胆囊炎。
作者: qwerty111    时间: 2008-12-19 00:16
)考虑胰头癌。2)胆囊炎。
作者: 悟空    时间: 2008-12-19 00:25
胰腺钩突mt
作者: 杀毒软件    时间: 2008-12-19 01:10
标题: 回复:女 53岁 腹痛数月余 轻微黄疸
以下是引用随光逐影在2008-12-18 15:53:00的发言:[br]1)考虑胰头癌。2)胆囊炎。

支持
作者: zsl6918    时间: 2008-12-19 01:14
考虑十二指肠乳突癌
作者: zjzjr    时间: 2008-12-19 01:26
支持胰腺钩突ca伴胆系梗阻,胆囊炎
作者: dsl555    时间: 2008-12-19 01:50
壶腹周围占位(钩突ca?)
作者: 同    时间: 2008-12-19 02:28
考虑 胰头癌可能性大。
作者: xulianj    时间: 2008-12-19 03:52
建议mrcp检查。
作者: 黑白光影    时间: 2008-12-19 03:55
支持胰腺钩突ca伴胆系梗阻,胆囊炎。
作者: wangyong1977    时间: 2008-12-19 04:27
壶腹周围占位
作者: dengkai    时间: 2008-12-19 21:41
1)考虑胰头癌。2)胆囊炎。




欢迎光临 医影在线 (http://bbs.radida.com/bbs/) Powered by Discuz! X3.2