医影在线
标题: CT17152:女70Y乳腺CA [打印本页]
作者: lirenxiong 时间: 2008-12-18 23:53
标题: CT17152:女70Y乳腺CA
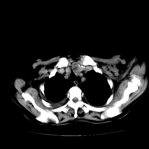
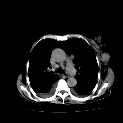
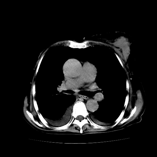
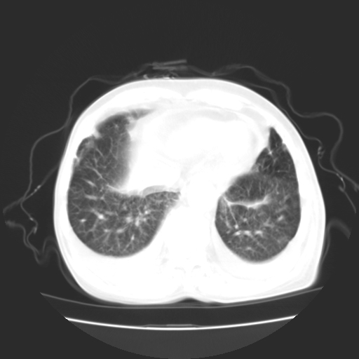
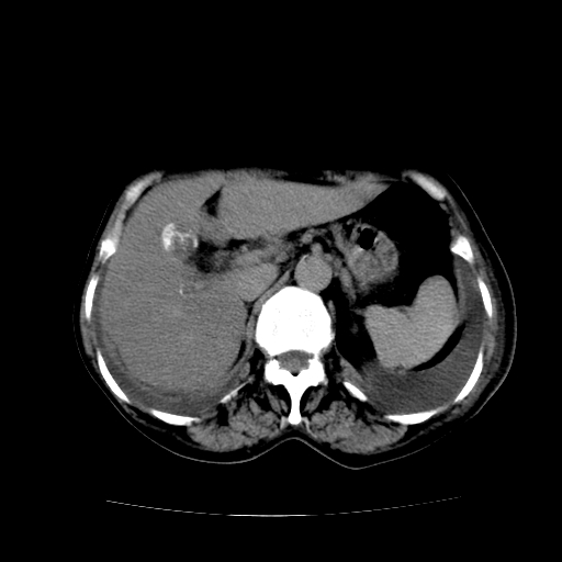
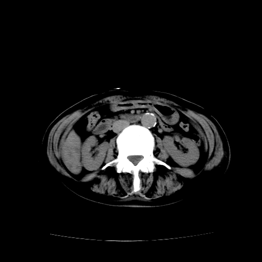
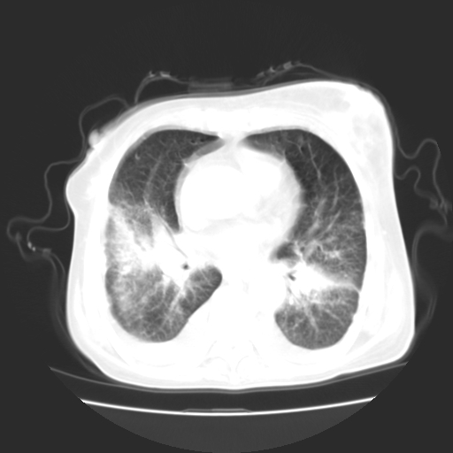
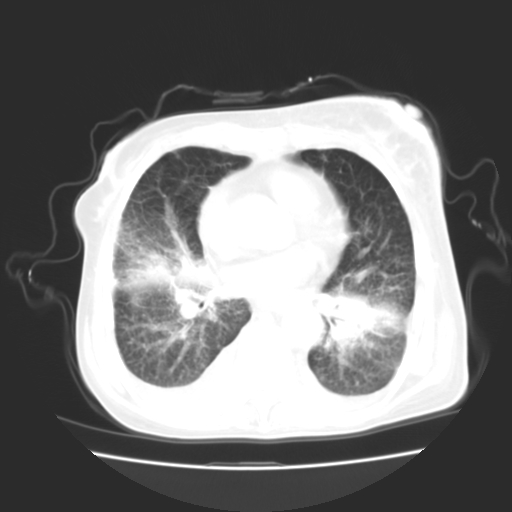
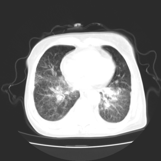
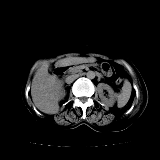
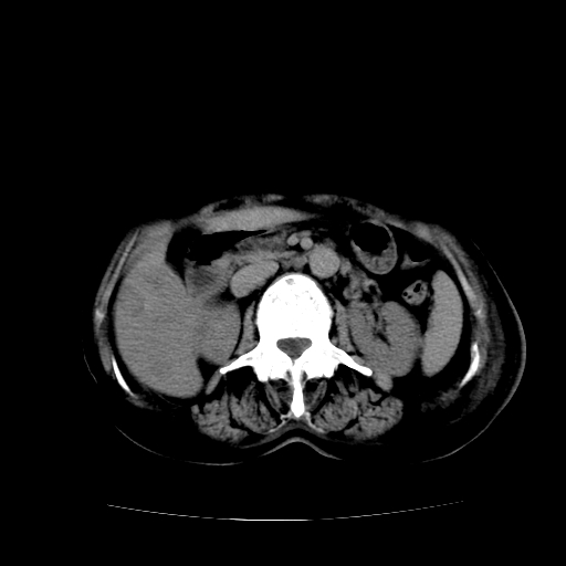
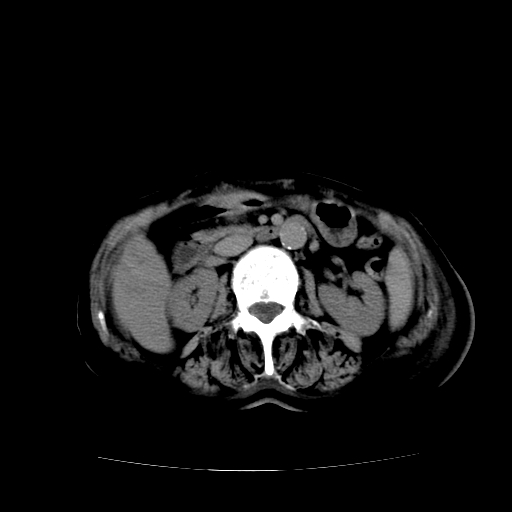
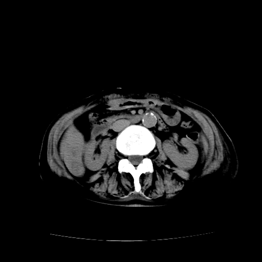
女70y乳腺ca(针吸活检)
































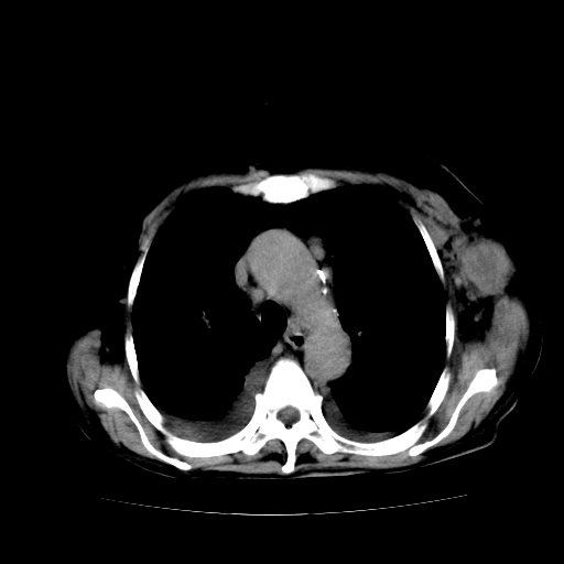
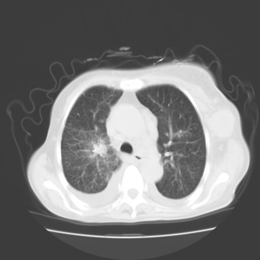
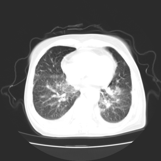
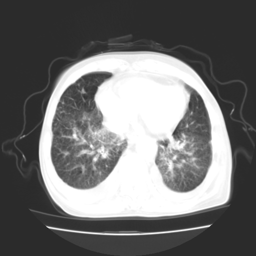
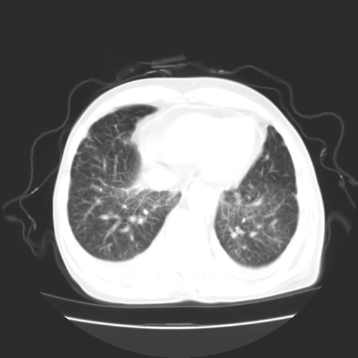
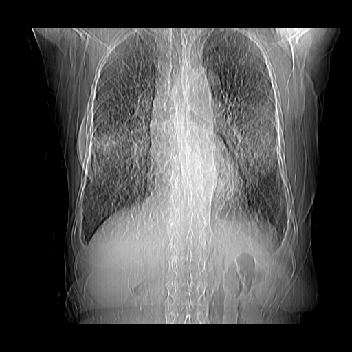
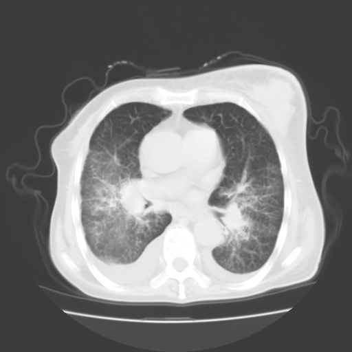
多部位转移瘤的诊断可以肯定,我的疑问是:双肺对称高密度影及胸水是否为心衰肺水肿,病人体虚弱,不好意思图象传的乱![em9]
[本贴已被 lirenxiong 于 2008-12-18 15:55:51 修改过]
[本贴已被 翁志蓬 于 2008-12-18 23:39:11 修改过]
作者: chen-8822146 时间: 2008-12-19 00:19
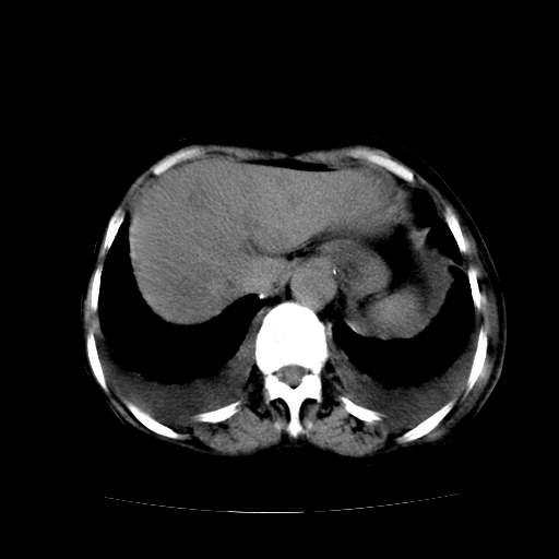
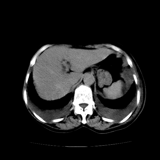
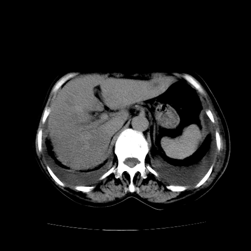
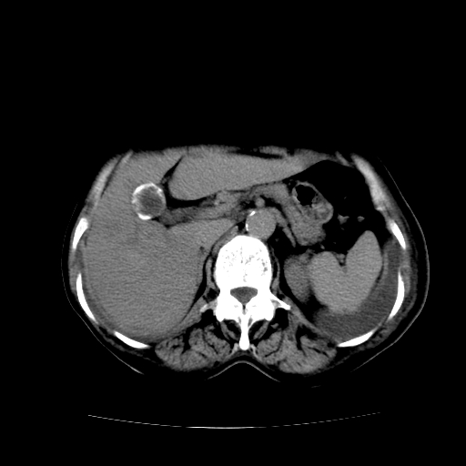
肺部病变为淋巴转移,肝脏转移,及局部淋巴转移。胸水可能为淋巴回流受阻(血性的考虑胸膜转移)
作者: 悟空 时间: 2008-12-19 00:22
淋巴转移,肝脏转移
作者: qwerty111 时间: 2008-12-19 00:36
癌性淋巴管炎,肝脏转移,瓷胆囊
作者: 随光逐影 时间: 2008-12-19 01:04
1)左侧乳腺癌并左侧腋窝及纵隔淋巴结转移,两肺淋巴道转移(癌性淋巴管炎),肝脏多发性转移。2)双侧胸腔积液。3)慢性胆囊炎。
作者: zsl6918 时间: 2008-12-19 01:06
癌性淋巴管炎,胸膜转移.肝内转移,纵隔及腋窝淋巴结转移
作者: 杀毒软件 时间: 2008-12-19 01:07
标题: 回复:女70y乳腺ca
以下是引用随光逐影在2008-12-18 17:04:00的发言:[br]1)左侧乳腺癌并左侧腋窝及纵隔淋巴结转移,两肺淋巴道转移(癌性淋巴管炎),肝脏多发性转移。2)双侧胸腔积液。3)慢性胆囊炎。
支持
作者: CT-LU 时间: 2008-12-19 01:20
1、左侧乳腺癌;
2、左腋窝、纵隔淋巴结肿大(转移性);
3、双肺癌性淋巴管炎;
4、双侧胸腔积液(考虑淋巴回流障碍所致);
5、肝转移瘤;
6、瓷胆囊。
作者: zjzjr 时间: 2008-12-19 01:23
1)左侧乳腺癌并左侧腋窝及纵隔淋巴结转移,肝脏多发性转移。2)双侧胸腔积液伴双肺蝶翼样磨玻璃高密度影,双侧肺门血管影增粗(图像不全,肺门层面没纵隔窗),考虑心功能不全所致。3)慢性胆囊炎伴壁钙化。
作者: dsl555 时间: 2008-12-19 01:51
癌性淋巴管炎,肝脏转移,瓷胆囊
作者: 同 时间: 2008-12-19 02:30
标题: 回复:女70y乳腺ca
以下是引用随光逐影在2008-12-18 17:04:00的发言:[br]1)左侧乳腺癌并左侧腋窝及纵隔淋巴结转移,两肺淋巴道转移(癌性淋巴管炎),肝脏多发性转移。2)双侧胸腔积液。3)慢性胆囊炎。
作者: 黑白光影 时间: 2008-12-19 03:52
1)左侧乳腺癌并左侧腋窝及纵隔淋巴结转移,两肺淋巴道转移(癌性淋巴管炎),肝脏多发性转移。2)双侧胸腔积液。3)慢性胆囊炎。
作者: wangyong1977 时间: 2008-12-19 04:30
1)左侧乳腺癌并左侧腋窝及纵隔淋巴结转移,肝脏多发性转移。2)双侧胸腔积液伴双肺蝶翼样磨玻璃高密度影,双侧肺门血管影增粗(图像不全,肺门层面没纵隔窗),考虑心功能不全所致。3)慢性胆囊炎伴壁钙化。
作者: xulianj 时间: 2008-12-19 04:49
以下是引用随光逐影在2008-12-18 17:04:00的发言:
1)左侧乳腺癌并左侧腋窝及纵隔淋巴结转移,两肺淋巴道转移(癌性淋巴管炎),肝脏多发性转移。2)双侧胸腔积液。3)慢性胆囊炎。
作者: qyfsk 时间: 2008-12-19 04:53
左侧乳腺癌并左侧腋窝及纵隔淋巴结转移,两肺淋巴道转移(癌性淋巴管炎),肝脏多发性转移。2)双侧胸腔积液。3)瓷胆囊
作者: dengkai 时间: 2008-12-19 21:45
淋巴转移,肝脏转移
| 欢迎光临 医影在线 (http://bbs.radida.com/bbs/) |
Powered by Discuz! X3.2 |