医影在线

标题: CT17157:腹部病变,请各位分析。 [打印本页]

作者: lds    时间: 2008-12-19 04:12
标题: CT17157:腹部病变,请各位分析。
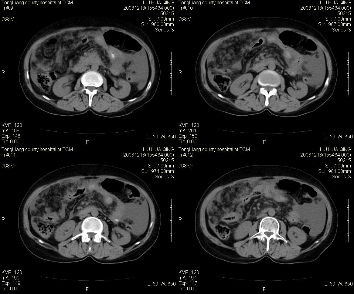
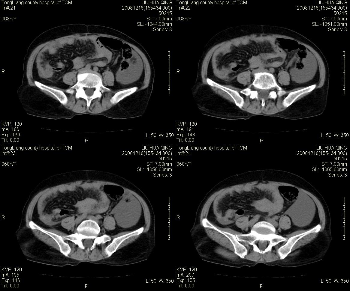
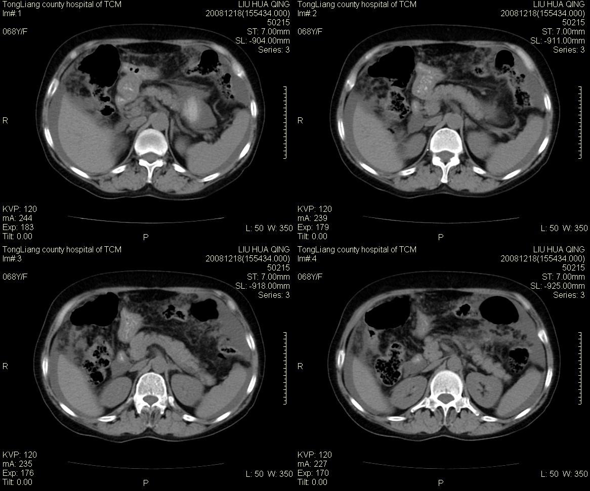
女,68y,下腹疼3月,一月半前院外ct示上腹未见异常。近1月来,症状加重。4天前入院,b超示胸腹水。今日呕吐频繁。  生化检查:  结核抗体阴性,血沉18mm/h, 癌胚抗原阴性,胸水细胞学检查见多数淋巴细胞。 白细胞总数5.4x10^12/l,血红蛋白104g/l.













[本贴已被 翁志蓬 于 2008-12-18 23:46:24 修改过]

作者: zsl6918    时间: 2008-12-19 04:38
建议腹水培养,警惕结核性腹膜炎
作者: xulianj    时间: 2008-12-19 04:40
腹部检查怎么不服造影剂?片内仅能诊断为腹腔积液,是什么原因还需要进一步查。
作者: dyqct    时间: 2008-12-19 05:27
腹膜污染,大量腹水。考虑癌性腹膜炎,建议查腹水。
作者: lds    时间: 2008-12-19 05:35
患者呕吐频繁,口服造影剂后呕出,今天暂未做增强。

患者右中腹部肠管聚集,内密度不均,可见片絮状及结节样增密影,小肠壁增厚,与之相邻处有软组织影。

已做几次胸腹水检查,未见抗酸杆菌。
作者: 医影常客    时间: 2008-12-19 05:37
腹腔积液可以肯定,原因?右侧下腹肠壁增厚,周围脂肪密度增高,粘连坏死?---梗阻坏死(不像)还是血栓坏死,占位?期待结果。
作者: zjzjr    时间: 2008-12-19 05:40
肠系膜可见梳征,不除外克罗恩氏病.腹水,建议气钡双重造影,灌肠.
作者: 光影相伴    时间: 2008-12-19 06:15
大量腹水。
作者: huenhao    时间: 2008-12-19 06:25
绞窄性肠梗阻,合并腹膜炎、腹水、肠粘连。
作者: docgobt103035    时间: 2008-12-19 07:00
女,68y,下腹疼3月,一月半前院外ct示上腹未见异常。近1月来,症状加重。4天前入院,b超示胸腹水。今日呕吐频繁。  结合临床是否肠扭转、不完全梗阻,有渗出,等结果
作者: 悟空    时间: 2008-12-19 07:14
腹水生化检查,增强检查.
作者: lds    时间: 2008-12-19 07:41
标题: 回复:腹部病变,请各位分析。
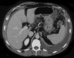
从网上找来的结核性腹膜炎,与这个病例有些共同点。请各位战友比较一下。

作者: 卜一    时间: 2008-12-19 13:01
大量腹水—原因待查!
作者: pujunzhi    时间: 2008-12-19 15:38
标题: 回复:ct17157:腹部病变,请各位分析。
以下是引用卜一在2008-12-19 5:01:00的发言:[br][br]   [br] 大量腹水—原因待查![br] [br]

作者: 随光逐影    时间: 2008-12-19 16:33
1)右侧腹腔前部见类似“网膜饼”样改变,考虑网膜转移瘤。2)腹水。
作者: 37度    时间: 2008-12-19 17:09
标题: 回复:ct17157:腹部病变,请各位分析。
以下是引用随光逐影在2008-12-19 8:33:00的发言:[br]1)右侧腹腔前部见类似“网膜饼”样改变,考虑网膜转移瘤。2)腹水。

作者: het1978    时间: 2008-12-19 18:12
转移性病变。
作者: 深泽交通    时间: 2008-12-19 19:03
标题: 回复:ct17157:腹部病变,请各位分析。
以下是引用光影相伴在2008-12-18 22:15:00的发言:[br]大量腹水。

作者: xinliheng001    时间: 2008-12-19 20:39
对这个病例我要跟着大家学习,等看最后结果。
作者: dengkai    时间: 2008-12-19 21:02
肠系膜可见梳征,不除外克罗恩氏病.腹水,建议气钡双重造影,灌肠.等结果!
作者: jiangjing    时间: 2008-12-19 21:35
腹膜污染[大网膜增厚可见污垢征及小班结与饼片影,肠系膜增厚],大量腹水。考虑癌性腹膜炎,建议查腹水。结核待排.注意上腹部及胃肠道检查
作者: dengkai    时间: 2008-12-19 22:16
大量腹水。




欢迎光临 医影在线 (http://bbs.radida.com/bbs/) Powered by Discuz! X3.2