医影在线

标题: CT17158:抽搐 [打印本页]

作者: ct诊断高手    时间: 2008-12-19 04:18
标题: CT17158:抽搐





[本贴已被 翁志蓬 于 2008-12-18 23:47:11 修改过]

作者: zsl6918    时间: 2008-12-19 04:35
临床资料太少,图象资料不全.
作者: xulianj    时间: 2008-12-19 04:53
占位可能大,建议mri检查。
作者: zjzjr    时间: 2008-12-19 05:24
请提供病史,不除外结核性脑膜炎.
作者: 江广1996    时间: 2008-12-19 05:26
临床资料太少,图象资料不全.能够诊断方为高手.
作者: dyqct    时间: 2008-12-19 05:29
临床资料太少,图象资料不全.无法做出判断.
作者: 一个人    时间: 2008-12-19 06:03
临床资料太少,图象资料不全.无法做出判断
作者: docgobt103035    时间: 2008-12-19 06:20
无话可说
作者: 随光逐影    时间: 2008-12-19 16:20
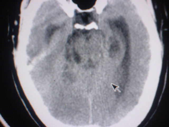
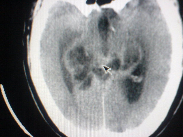
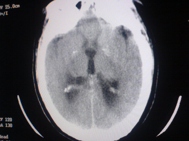
脑积水,原因待查。
作者: 寇占峰    时间: 2008-12-19 17:44
资料太少,大胆推测:脑干病变,中央孔受阻致脑脊液回流障碍脑积水。
作者: 深泽交通    时间: 2008-12-19 18:36
考虑1小脑吲占位,2四脑室室管膜瘤
作者: xinliheng001    时间: 2008-12-19 20:28
中线松果体区肿瘤?做增强会有帮助鉴别
作者: dengkai    时间: 2008-12-19 21:03
临床资料太少,图象资料不全.无法做出判断.
作者: jiangjing    时间: 2008-12-19 21:25
临床资料太少,图象资料不全.无法做出判断.




欢迎光临 医影在线 (http://bbs.radida.com/bbs/) Powered by Discuz! X3.2