医影在线

标题: CT17163:M41Y,右上腹痛伴腹泻10天 [打印本页]

作者: 岚儿    时间: 2008-12-19 20:14
标题: CT17163:M41Y,右上腹痛伴腹泻10天
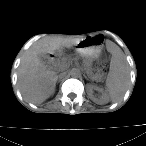
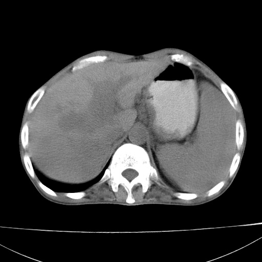
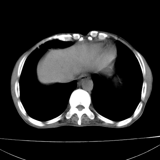
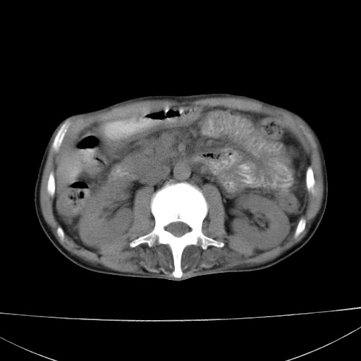
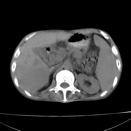
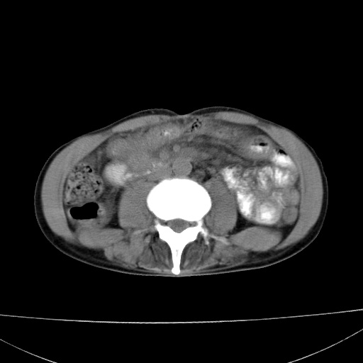
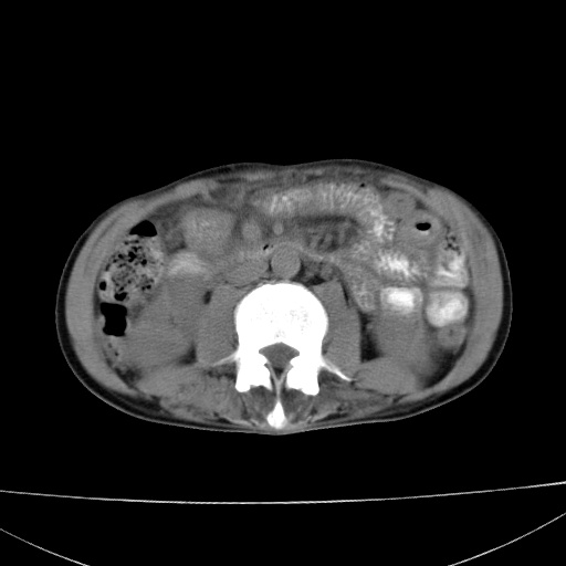
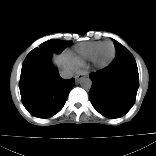
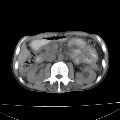
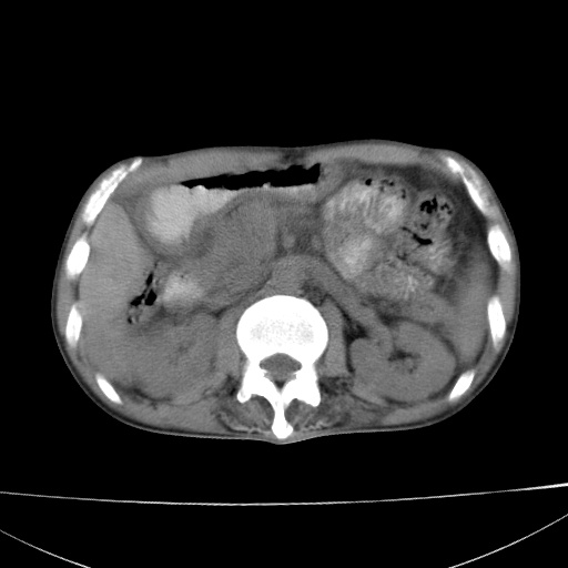
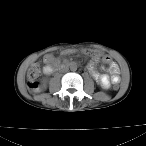
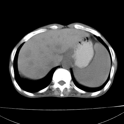
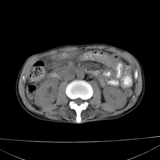
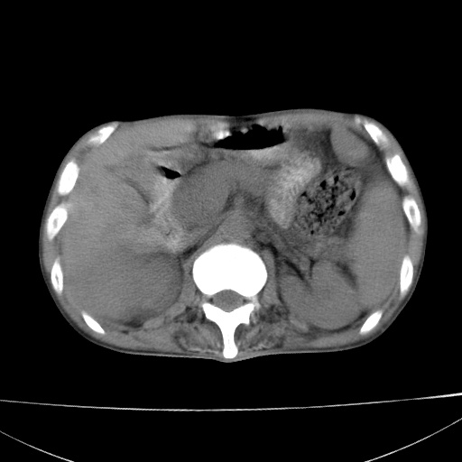
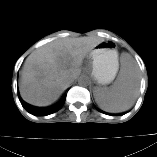
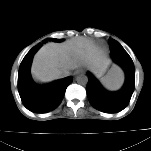
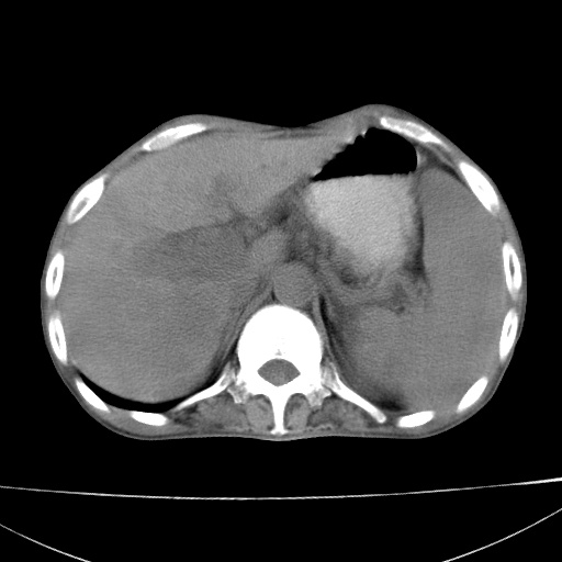
患者 男  41岁,右上腹痛伴腹泻10天,8年前有乙肝,本次b超查肝右叶占位来做ct ,请会诊!





















[本贴已被 jiajie 于 2008-12-19 15:46:12 修改过]

作者: zjzjr    时间: 2008-12-19 21:01
肝硬化\\脾大\\门静脉高压,胃底静脉曲张可能性大.肝右叶肝癌肝内转移,建议增强.左侧小结石.
作者: dengkai    时间: 2008-12-19 21:28
肝右叶肝癌肝内转移,建议增强
作者: 同    时间: 2008-12-19 21:31
支持肝癌伴肝内转移,脾大,门静脉高压,胃底静脉曲张。
作者: 随光逐影    时间: 2008-12-19 21:50
1)考虑肝癌;建议行ct增强扫描检查。2)脾大,门静脉高压,胃底静脉曲张。3)左肾小结石。
作者: jiangjing    时间: 2008-12-19 22:36
1)考虑肝癌;建议行ct增强扫描检查。2)脾大,门静脉高压,胃底静脉曲张
作者: 深泽交通    时间: 2008-12-19 23:23
标题: 回复:右上腹痛伴腹泻10天
以下是引用zjzjr在2008-12-19 13:01:00的发言:[br]肝硬化\\脾大\\门静脉高压,胃底静脉曲张可能性大.肝右叶肝癌肝内转移,建议增强.左侧小结石.

作者: qwerty111    时间: 2008-12-20 00:07
1)考虑肝癌及门脉瘤栓,建议行ct增强扫描检查。2)脾大,门静脉高压,胃底静脉曲张。3)左肾小结石。
作者: zsl6918    时间: 2008-12-20 01:36
强化后再讨论
作者: zimiu    时间: 2008-12-20 02:04
结合病史;考虑肝癌。门静脉高压,脾大。胃底静脉曲张。
作者: 黑白光影    时间: 2008-12-20 03:50
1)考虑肝癌;2)脾大,门静脉高压,胃底静脉曲张。3)左肾小结石。建议行ct增强扫描检查。
作者: yy杨洋    时间: 2008-12-20 04:17
标题: 回复:ct17163:m41y,右上腹痛伴腹泻10天
以下是引用jiangjing在2008-12-19 14:36:00的发言:[br]1)考虑肝癌;建议行ct增强扫描检查。2)脾大,门静脉高压,胃底静脉曲张

作者: xulianj    时间: 2008-12-20 05:07
1)考虑肝癌及门脉瘤栓,建议行ct增强扫描检查。2)脾大,门静脉高压,胃底静脉曲张。3)左肾小结石。
作者: 不学无术    时间: 2008-12-20 05:44
考虑肝癌。门静脉高压,脾大。胃底静脉曲张。支持
作者: dsl555    时间: 2008-12-20 06:44
这样的病例需要增强!!!




欢迎光临 医影在线 (http://bbs.radida.com/bbs/) Powered by Discuz! X3.2