医影在线

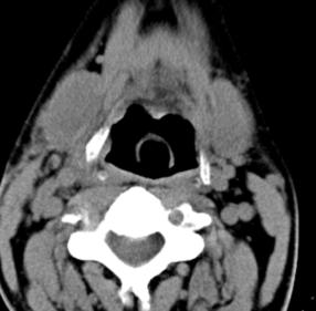
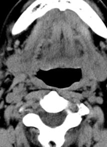
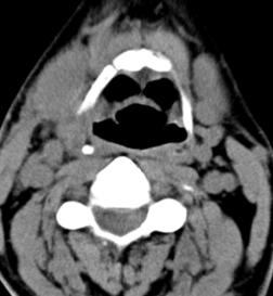
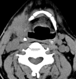
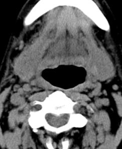
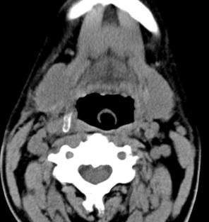
标题: CT17168:会诊,颈部包块 [打印本页]

作者: yy1979    时间: 2008-12-19 23:11
标题: CT17168:会诊,颈部包块








[本贴已被 jiajie 于 2008-12-19 15:52:03 修改过]

作者: cfx2025    时间: 2008-12-19 23:22
增强呢?
作者: yy1979    时间: 2008-12-19 23:23
没有
作者: 王仕学    时间: 2008-12-20 01:05
怎么不传病史呢?右侧颌下腺炎症?
作者: zsl6918    时间: 2008-12-20 01:06
需强化观察定性
作者: zimiu    时间: 2008-12-20 01:18
考虑:右侧颌下腺炎症。建议强化。
作者: 随光逐影    时间: 2008-12-20 01:27
不排除右侧颌下腺恶性肿瘤可能;建议行进一步检查。
作者: 黑白光影    时间: 2008-12-20 04:02
建议强化。
作者: xulianj    时间: 2008-12-20 04:54
考虑:右侧颌下腺炎症可能。
作者: yy1979    时间: 2008-12-20 05:51
我也是报的颌下腺炎症。
作者: dsl555    时间: 2008-12-20 06:42
需强化观察定性




欢迎光临 医影在线 (http://bbs.radida.com/bbs/) Powered by Discuz! X3.2