医影在线

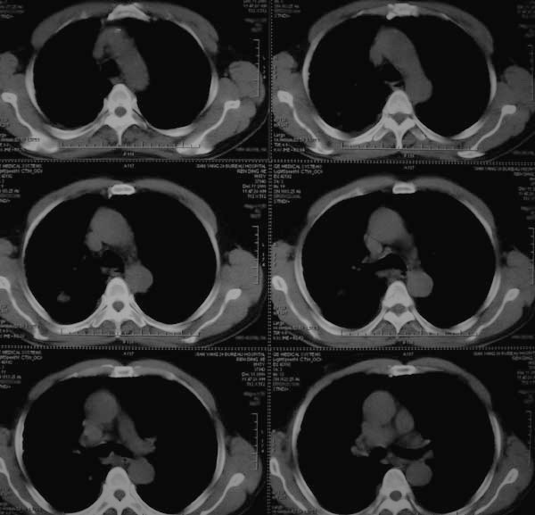
标题: CT17173:M65Y,咳嗽一月。请会诊 [打印本页]

作者: jiajie    时间: 2008-12-20 00:12
标题: CT17173:M65Y,咳嗽一月。请会诊







作者: 不学无术    时间: 2008-12-20 00:31
考虑结核可能性大
作者: 王仕学    时间: 2008-12-20 00:56
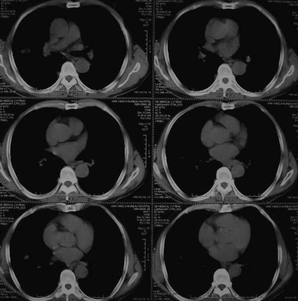
首先考虑右肺继发性肺结核。
作者: docgobt103035    时间: 2008-12-20 01:10
右肺多发病灶,右上肺及下肺背段均有灶,考虑结核,
作者: zsl6918    时间: 2008-12-20 01:11
高度提示恶性病变(叶间裂及胸膜下可见结节),多原发或继发.建议高分辨及强化扫描.
作者: 随光逐影    时间: 2008-12-20 01:32
支持 右肺继发性肺结核。
作者: 同    时间: 2008-12-20 03:21
考虑右肺继发性肺结核。
作者: 岚儿    时间: 2008-12-20 04:00
支持右肺继发性肺结核
作者: 卜一    时间: 2008-12-20 04:20
支持 右肺继发性肺结核。
作者: 黑白光影    时间: 2008-12-20 04:28
考虑右肺继发性肺结核。
作者: yy杨洋    时间: 2008-12-20 04:35
首先考虑右肺继发性肺结核。
作者: xulianj    时间: 2008-12-20 05:22
继发性肺结核
作者: dengkai    时间: 2008-12-20 06:11
支持 右肺继发性肺结核。
作者: dsl555    时间: 2008-12-20 06:14
首先考虑右肺继发性肺结核。
作者: jzhang21    时间: 2009-1-14 23:40
右肺继发性肺结核




欢迎光临 医影在线 (http://bbs.radida.com/bbs/) Powered by Discuz! X3.2