医影在线

标题: CT17174:M38Y,体检超声提示右肾发育不良,病人无明显不适 [打印本页]

作者: jiajie    时间: 2008-12-20 00:20
标题: CT17174:M38Y,体检超声提示右肾发育不良,病人无明显不适




















作者: 王仕学    时间: 2008-12-20 00:54
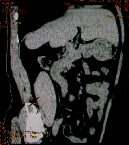
右肾发育不良;考虑左肾下极血管平滑肌脂肪瘤可能,建议增强。
作者: 不学无术    时间: 2008-12-20 01:11
右肾微小发育不良  左肾下极错构可能
作者: zsl6918    时间: 2008-12-20 01:13
支持临床诊断,左肾改变需强化明确性质
作者: 随光逐影    时间: 2008-12-20 02:13
1)左肾下极占位性病变,不排除肾癌可能;建议行进一步检查。2)右肾发育不良。
作者: qyfsk    时间: 2008-12-20 02:40
左肾下极占位性病变,不排除肾癌可能;建议增强及明确内部组织ct值。右肾发育不良。
作者: 同    时间: 2008-12-20 03:19
右肾发育不良。左肾下极占位。
作者: 卜一    时间: 2008-12-20 04:19
支持临床诊断,左肾改变需强化明确性质
作者: 黑白光影    时间: 2008-12-20 04:23
右肾发育不良。左肾代偿。左肾下极占位,性质待定,建议强化。
作者: yy杨洋    时间: 2008-12-20 04:38
右肾发育不良。左肾下极占位。
作者: wangyong1977    时间: 2008-12-20 04:55
右肾发育不良
作者: xulianj    时间: 2008-12-20 05:27
右肾发育不良。左肾下极占位。建议增强!
作者: dengkai    时间: 2008-12-20 06:16
右肾微小发育不良  左肾下极错构可能
作者: dsl555    时间: 2008-12-20 07:09
右肾发育不良。左肾下极占位。  强化
作者: pujunzhi    时间: 2008-12-20 07:43
右肾发育不良。左肾下极囊实性占位,建议增强。
作者: jzhang21    时间: 2009-1-14 23:43
右肾发育不良。左肾下极占位。




欢迎光临 医影在线 (http://bbs.radida.com/bbs/) Powered by Discuz! X3.2