






















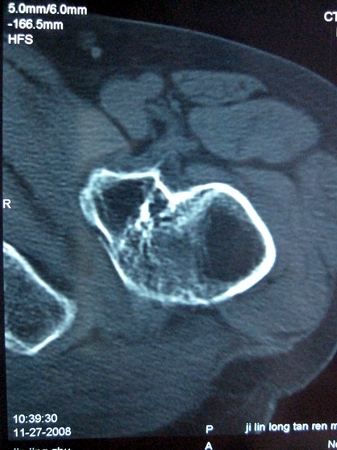
以下是引用lkc8963在2008-12-19 21:19:00的发言:[br]左?右?患侧大转子上移,股骨颈骨质浓杂,髋周见多发条片状骨化影,以小转子为著,多为陈旧性股骨颈骨折后改变并骨化性肌炎.请咨询既往史!
以下是引用lkc8963在2008-12-19 21:19:00的发言:[br]左?右?患侧大转子上移,股骨颈骨质浓杂,髋周见多发条片状骨化影,以小转子为著,多为陈旧性股骨颈骨折后改变并骨化性肌炎.请咨询既往史!
以下是引用lkc8963在2008-12-19 21:19:00的发言:[br]左?右?患侧大转子上移,股骨颈骨质浓杂,髋周见多发条片状骨化影,以小转子为著,多为陈旧性股骨颈骨折后改变并骨化性肌炎.请咨询既往史!
以下是引用lkc8963在2008-12-19 21:19:00的发言:[br]左?右?患侧大转子上移,股骨颈骨质浓杂,髋周见多发条片状骨化影,以小转子为著,多为陈旧性股骨颈骨折后改变并骨化性肌炎.请咨询既往史!
| 欢迎光临 医影在线 (http://bbs.radida.com/bbs/) | Powered by Discuz! X3.2 |