医影在线

标题: CT17293:男/15/癫痫/小时有外伤史 [打印本页]

作者: yangfudong2007    时间: 2008-12-25 03:27
标题: CT17293:男/15/癫痫/小时有外伤史











[本贴已被 翁志蓬 于 2008-12-25 0:20:39 修改过]

作者: zsl6918    时间: 2008-12-25 03:41
未见明显异常
作者: 联众之王    时间: 2008-12-25 03:46
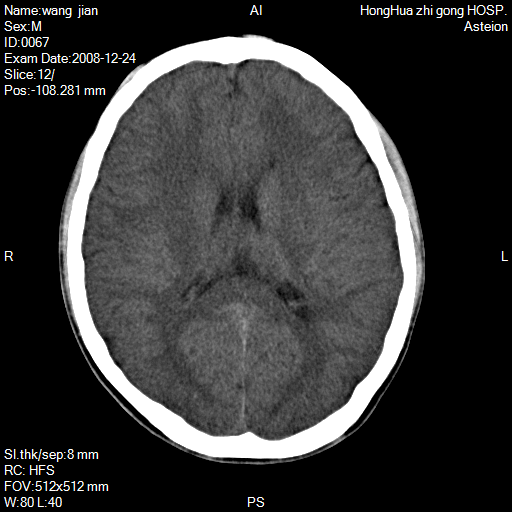
15岁松果体钙化了,建议进一步mri检查以排松果体瘤
作者: 随光逐影    时间: 2008-12-25 04:09
未见明确异常。(像是有机器故障伪影,扫描水模看看)
作者: 静中观心    时间: 2008-12-25 04:21
正常
作者: 卜一    时间: 2008-12-25 04:35
未见明确异常。
作者: pysylhj    时间: 2008-12-25 04:36
大脑镰脑膜瘤?
作者: 前行    时间: 2008-12-25 04:42
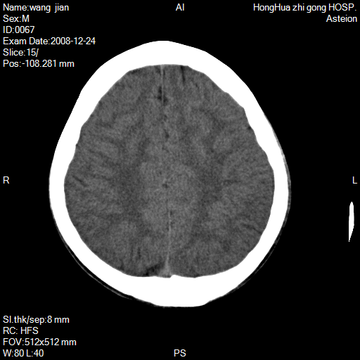
左侧顶叶镰旁见低密度影,建议mr检查。
作者: xulianj    时间: 2008-12-25 04:50
未见明确异常
作者: wangyong1977    时间: 2008-12-25 05:00
正常
作者: 黑白光影    时间: 2008-12-25 05:02
未见明确异常,建议mr检查。
作者: pzj    时间: 2008-12-25 05:03
正常
作者: gangshan    时间: 2008-12-25 05:12
左顶叶大脑镰旁稍低不均质密度影,建议增强ct或mr检查
作者: 一个人    时间: 2008-12-25 05:28
正常
作者: 余辉    时间: 2008-12-25 05:34
感觉额颞顶叶部分脑回很细碎,不排除异常,如小多脑回畸形,左侧中央旁小叶区确有圆形低密度区,不知是否病灶,建议mr检查
作者: yhb    时间: 2008-12-25 05:36
标题: 回复:男/15/癫痫/小时有外伤史
以下是引用一个人在2008-12-24 21:28:00的发言:[br]正常

作者: 摘星空竹子    时间: 2008-12-25 05:37
标题: 回复:男/15/癫痫/小时有外伤史
以下是引用zsl6918在2008-12-24 19:41:00的发言:[br]未见明显异常

作者: huenhao    时间: 2008-12-25 06:26
未见明确异常
作者: 杀毒软件    时间: 2008-12-25 07:05
未见明显异常
作者: qc80012345    时间: 2008-12-25 07:11
还是做进一步检查吧。
作者: 百年合好    时间: 2008-12-25 07:14
癲痫病人ct诊断意义不是很大,做个mri吧!
作者: yy杨洋    时间: 2008-12-25 07:27
左侧顶叶镰旁见低密度影,建议mr检查。好象是伪影。
作者: dengkai    时间: 2008-12-25 07:33
左侧顶叶镰旁见低密度影,建议mr检查。
作者: xinliheng001    时间: 2008-12-25 09:27
也看着了在左镰旁异常低密度灶,是占位的样子,要进一步检查清楚。
作者: 姜晓辉    时间: 2008-12-25 16:52
15岁松果体钙化了,建议进一步mri检查以排松果体瘤
作者: zjzjr    时间: 2008-12-25 17:18
未见明确异常
作者: 宇宙CT    时间: 2008-12-25 17:40
未见明确异常。
作者: 深泽交通    时间: 2008-12-25 17:41
标题: 回复:ct17293:男/15/癫痫/小时有外伤史
以下是引用xulianj在2008-12-24 20:50:00的发言:[br]未见明确异常

作者: 借酒温书    时间: 2008-12-25 17:45
未见异常。




欢迎光临 医影在线 (http://bbs.radida.com/bbs/) Powered by Discuz! X3.2