医影在线

标题: CT17375:头部 [打印本页]

作者: yy杨洋    时间: 2008-12-29 02:14
标题: CT17375:头部
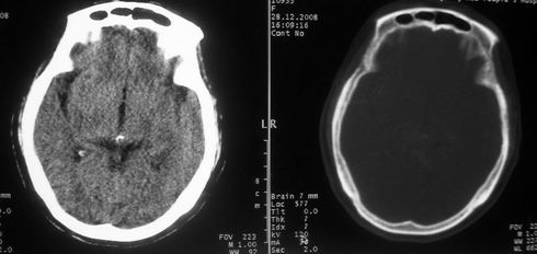
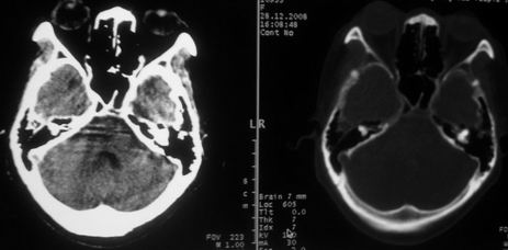
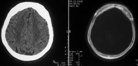
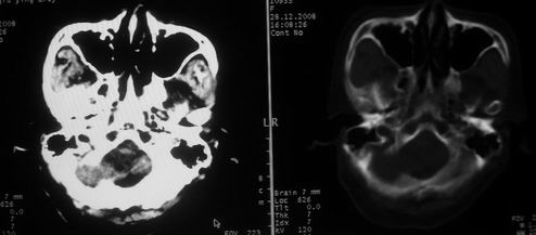
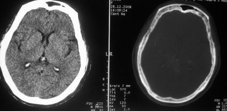
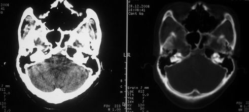
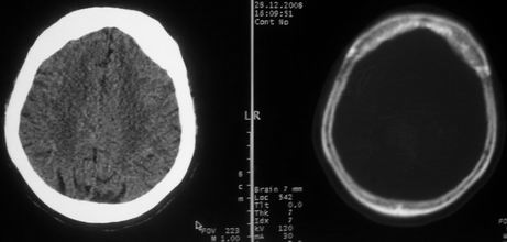
女,72岁,头晕。额骨有无问题。






















[本贴已被 翁志蓬 于 2008-12-28 23:04:29 修改过]

作者: 江洋    时间: 2008-12-29 02:31
骨纤维异常增殖症
作者: 泪洒红尘    时间: 2008-12-29 02:39
发育变异----正常.
作者: zhm101    时间: 2008-12-29 02:50
同意3楼
作者: 前行    时间: 2008-12-29 02:51
骨纤可能性大。
作者: 同    时间: 2008-12-29 03:16
考虑骨纤可能性大。
作者: 影象小泰斗    时间: 2008-12-29 03:25
考虑发育异常!
各位战友,网页怎么缺少了许多!!!病理反馈没了????
作者: xulianj    时间: 2008-12-29 04:01
考虑骨纤可能
作者: zsl6918    时间: 2008-12-29 04:02
考虑骨纤可能性大
作者: 吃草吐奶    时间: 2008-12-29 04:03
支持骨纤。
作者: 卜一    时间: 2008-12-29 04:06
支持骨纤。
作者: 黑白光影    时间: 2008-12-29 04:24
支持骨纤。
作者: 摘星空竹子    时间: 2008-12-29 05:21
支持骨纤。
作者: dengkai    时间: 2008-12-29 06:32
考虑骨纤可能性大。
作者: 宇宙CT    时间: 2008-12-29 06:44
考虑骨纤可能
作者: 吴承学    时间: 2008-12-29 14:40
标题: 回复:ct17375:头部
以下是引用zsl6918在2008-12-28 20:02:00的发言:[br]考虑骨纤可能性大

作者: 随光逐影    时间: 2008-12-29 15:57
考虑额骨良性骨板肥厚;骨纤待排。
作者: 姜晓辉    时间: 2008-12-29 16:12
左额部骨瘤
作者: LIAOQIANG    时间: 2008-12-29 16:31
额骨呈磨玻璃状增厚,考虑骨纤。
作者: zjzjr    时间: 2008-12-29 16:33
骨纤可能性大。
作者: wansheng    时间: 2008-12-29 16:34
额骨呈磨玻璃状增厚,考虑骨纤
作者: liping57    时间: 2008-12-29 17:25
1支持骨纤。2骨瘤。
作者: 深泽交通    时间: 2008-12-29 17:36
标题: 回复:ct17375:头部
以下是引用江洋在2008-12-28 18:31:00的发言:[br]骨纤维异常增殖症

作者: laolang    时间: 2008-12-29 17:43
考虑骨纤可能性大
作者: 百年合好    时间: 2008-12-29 19:11
同意大家的意见,骨纤!
作者: 杀毒软件    时间: 2008-12-29 19:26
支持考虑---骨纤可能性大
作者: dsl555    时间: 2008-12-30 01:55
考虑骨纤可能
作者: tiger-w    时间: 2008-12-30 03:00
标题: 回复:ct17375:头部
以下是引用随光逐影在2008-12-29 7:57:00的发言:[br]考虑额骨良性骨板肥厚;骨纤待排。

作者: hanbo100800    时间: 2008-12-30 03:15
考虑骨纤
作者: 不学无术    时间: 2008-12-30 04:33
骨纤可能性大。
作者: 鲞弈    时间: 2008-12-30 04:41
骨纤维组织异常增殖症又名纤维性骨炎,是一种以骨纤维变性为特点的骨胳系统疾病,是否为一真性肿瘤尚无定论。该病好友于儿童及青年,女性较多见,60%发生于20岁以前,偶见于婴儿和70岁以上老年人。男女发病为1∶2。80%以上表现为病骨区畸形肿胀;建议祥问病史,时间?




欢迎光临 医影在线 (http://bbs.radida.com/bbs/) Powered by Discuz! X3.2