医影在线
标题: CT17396:F28Y,少见病例,有手术结果 [打印本页]
作者: 嫉风笑月 时间: 2008-12-30 04:24
标题: CT17396:F28Y,少见病例,有手术结果
(结果公布:http://www.radida.com/bbs/forum.php?mod=viewthread&tid=69872)
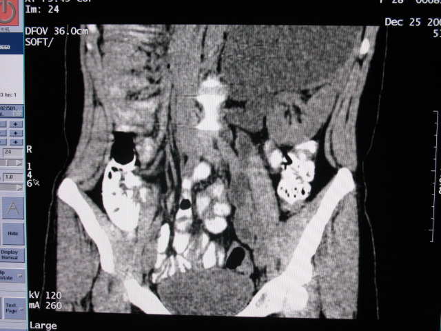
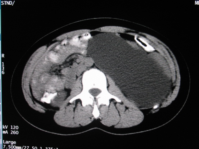
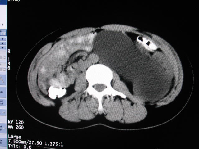
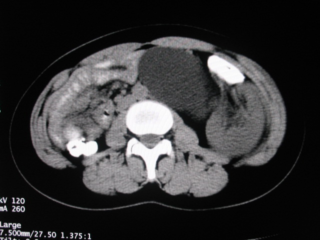
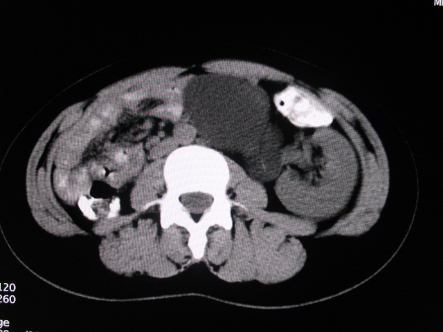
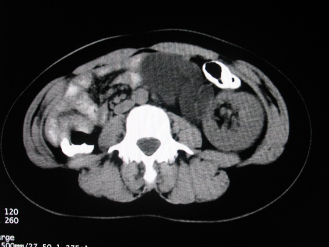
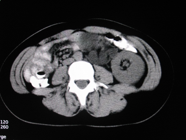
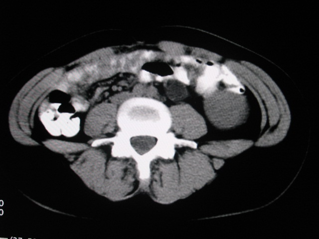
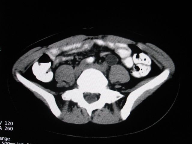
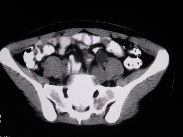
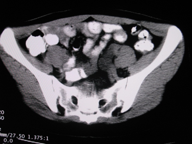
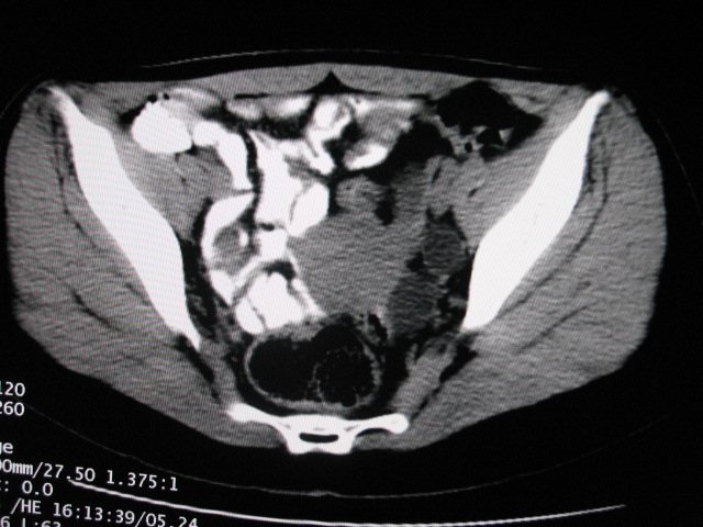
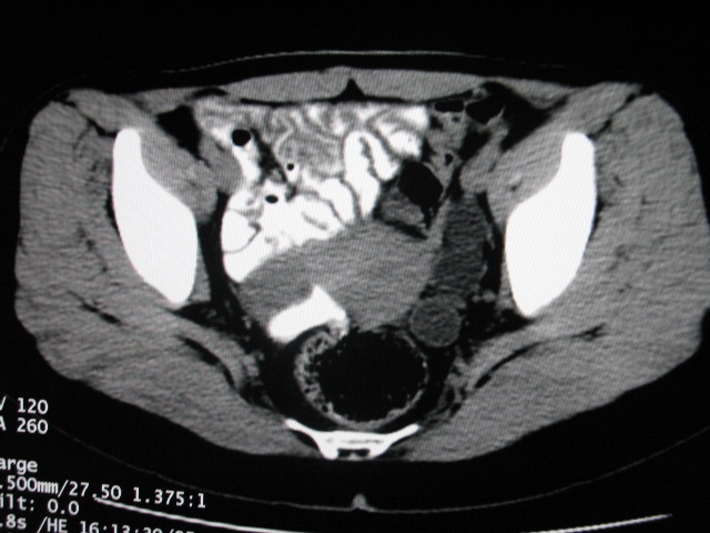
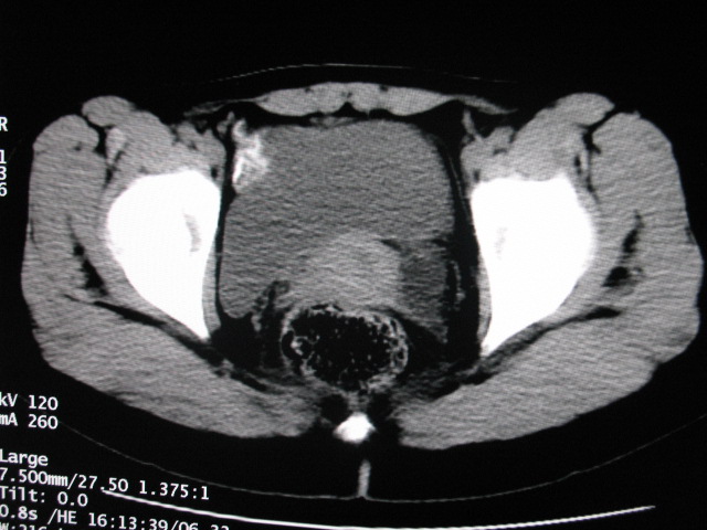
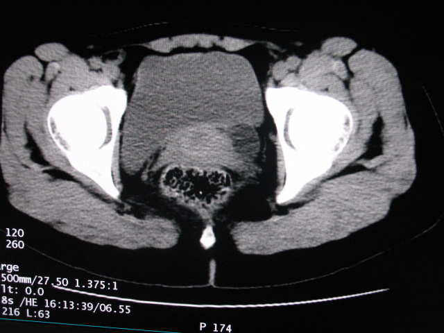
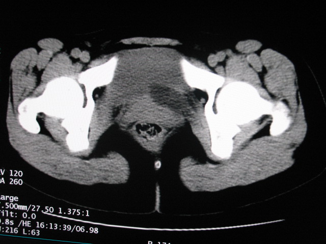
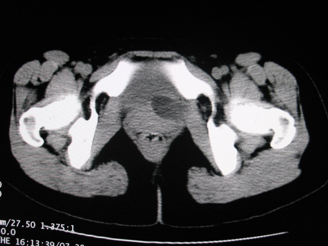
女,28岁,自觉腹部包块一年余


























[本贴已被 jiajie 于 2008-12-30 7:57:29 修改过]
[本贴已被 jiajie 于 2010-8-21 17:43:53 修改过]
作者: lczeng 时间: 2008-12-30 04:40
搞不明白,不明白的原因是对这个病根本没认识。一个囊性肿块延“输尿管”流入膀胱?哈哈,不专业~
作者: huenhao 时间: 2008-12-30 04:44
腹膜囊肿?
作者: 求知若渴 时间: 2008-12-30 04:52
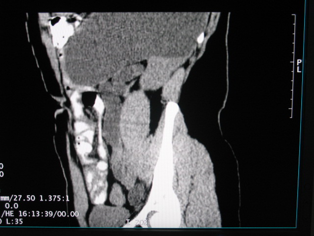
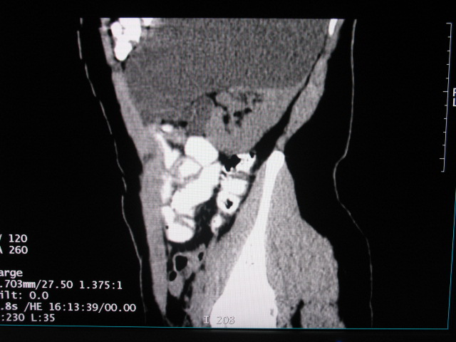
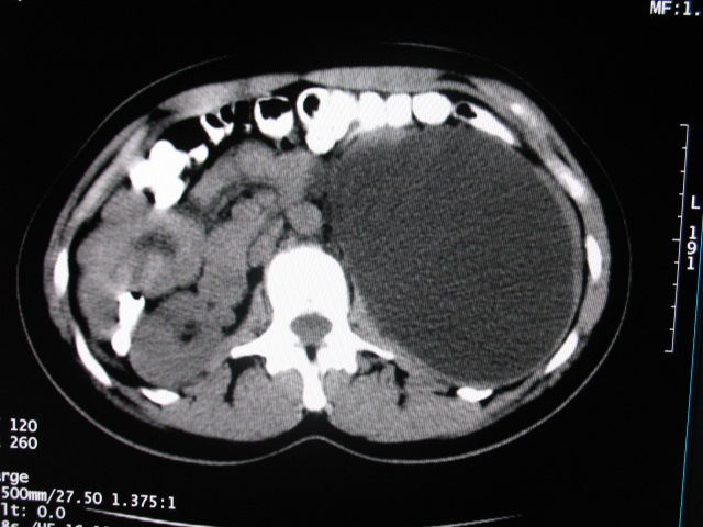
左侧为扩张的输尿管,一直延续到膀胱,那么它的上端应该是扩张的肾盂,但是在他的下方我们看到一个比较正常的肾,所以考虑左侧重复肾盂输尿管畸形。
作者: 胡宇 时间: 2008-12-30 04:53
脾囊肿?胰腺假性囊肿?
作者: 随光逐影 时间: 2008-12-30 04:53
考虑左侧双肾盂双输尿管畸形,其中一输尿管末端梗阻(不排除异位开口可能)并相应之肾盂及输尿管明显扩张积水。
作者: 光影相伴 时间: 2008-12-30 04:56
支持:考虑左侧双肾盂双输尿管畸形,其中一输尿管末端梗阻(不排除异位开口可能)并相应之肾盂及输尿管明显扩张积水。
作者: huangxun4321 时间: 2008-12-30 05:41
结合临床,考虑左侧双肾盂双输尿管畸形积水可能性大.
作者: dengkai 时间: 2008-12-30 05:59
支持:考虑左侧双肾盂双输尿管畸形,其中一输尿管末端梗阻(不排除异位开口可能)并相应之肾盂及输尿管明显扩张积水。
作者: 杀毒软件 时间: 2008-12-30 06:07
标题: 回复:少见病例,有手术结果
以下是引用随光逐影在2008-12-29 20:53:00的发言:[br]考虑左侧双肾盂双输尿管畸形,其中一输尿管末端梗阻(不排除异位开口可能)并相应之肾盂及输尿管明显扩张积水。
支持
作者: 黑白光影 时间: 2008-12-30 06:10
考虑左侧双肾盂双输尿管畸形,其中一输尿管末端梗阻并输尿管肠管样扩张盂曲、肾盂囊状扩张积水。
期待手术结果。
作者: 影像孺子牛 时间: 2008-12-30 06:57
标题: 回复:少见病例,有手术结果
以下是引用随光逐影在2008-12-29 20:53:00的发言:[br]考虑左侧双肾盂双输尿管畸形,其中一输尿管末端梗阻(不排除异位开口可能)并相应之肾盂及输尿管明显扩张积水。
作者: qc80012345 时间: 2008-12-30 07:40
支持;左侧双肾盂双输尿管畸形,其中一输尿管末端梗阻并输尿管肠管样扩张迂曲、肾盂囊状扩张积水。
作者: zsl6918 时间: 2008-12-30 07:41
考虑右肾发育不良,左侧巨输尿管畸形并肾积水。
作者: SOS.LA 时间: 2008-12-30 13:37
左双肾盂输尿管畸形.其一输尿管远端输尿管囊肿引起一肾盂输尿管积水.
作者: zhw974247 时间: 2008-12-30 14:32
考虑左侧双肾盂双输尿管畸形,其中一输尿管末端梗阻并输尿管肠管样扩张盂曲、肾盂囊状扩张积水。
作者: wyd2008 时间: 2008-12-30 16:36
双肾盂双输尿管可能大.
作者: huqi8888 时间: 2008-12-30 17:23
以下是引用随光逐影在2008-12-29 20:53:00的发言:
考虑左侧双肾盂双输尿管畸形,其中一输尿管末端梗阻(不排除异位开口可能)并相应之肾盂及输尿管明显扩张积水。
作者: Wawaquan 时间: 2008-12-30 17:53
左侧重复肾、双输尿管畸形。重复肾一般上位肾发育不良,易合并积水。
作者: wlhlxy0000 时间: 2008-12-30 17:59
标题: 回复:ct17396:f28y,少见病例,有手术结果
以下是引用zhw974247在2008-12-30 6:32:00的发言:[br]考虑左侧双肾盂双输尿管畸形,其中一输尿管末端梗阻并输尿管肠管样扩张盂曲、肾盂囊状扩张积水。[br]
朋友你们那的ct是16排的吗?和我这的一样啊!呵呵
作者: zjzjr 时间: 2008-12-30 19:45
考虑左侧双肾盂双输尿管畸形,其中一输尿管末端梗阻(不排除异位开口可能,不知病人有无不自觉溢尿,有可能开口于阴道或宫颈,也可下端为盲端)并相应之肾盂及输尿管明显扩张积水。
作者: xulianj 时间: 2008-12-31 04:12
考虑左侧双肾盂双输尿管畸形
作者: 嫉风笑月 时间: 2009-1-2 18:51
标题: 回复:ct17396:f28y,少见病例,有手术结果
ge16层24排队bright speed
作者: 嫉风笑月 时间: 2009-1-2 18:54
都是高手呀
术后证实是左侧双肾盂双输尿管畸形,巨输尿管巨肾盂症
作者: scdlc2008 时间: 2009-1-5 03:50
学习!
作者: 37度 时间: 2010-8-22 06:32
左侧双肾盂双输尿管畸形,巨输尿管巨肾盂症,谢楼主反馈结果。
作者: 拾荒者 时间: 2010-8-24 06:12
感谢楼主反馈结果-左侧双肾盂双输尿管畸形,左侧巨输尿管巨肾盂症。
作者: 随光逐影 时间: 2010-8-24 10:13
术后证实:左侧双肾盂双输尿管畸形,巨输尿管巨肾盂症。
——感谢楼主反馈结果。
作者: yuhongjun 时间: 2010-8-24 11:40
左侧双肾盂双输尿管畸形,巨输尿管巨肾盂症,谢楼主反馈结果。
作者: zjb 时间: 2010-8-24 17:07
第一次见到,谢谢楼主!学习了
作者: swyyy2007 时间: 2010-8-24 17:12
学习了
| 欢迎光临 医影在线 (http://bbs.radida.com/bbs/) |
Powered by Discuz! X3.2 |