





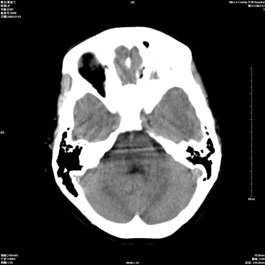
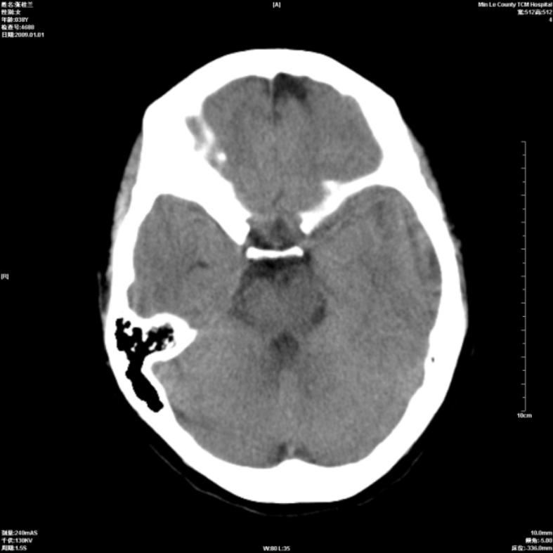
以下是引用chenqiong在2009-1-1 15:14:00的发言:[br]珠网膜粒囊肿
以下是引用hhcckk在2009-1-1 15:56:00的发言:[br]癫痫的原因一般与四种因素有关:[br] 1.遗传因素在一些有癫痫病史或有先天性中枢神经系统或心脏畸形的病人家族中容易出现癫痫;[br] 2.脑损害与脑损伤在胚胎发育中受到病毒感染放射线照射或其它原因引起的胚胎发育不良可以引起癫痫;胎儿生产过程中产伤也是引起癫痫的一个主要原因;颅脑外伤也可引起癫痫;[br] 3.颅脑其它疾病脑肿瘤脑血管病颅内感染等;[br] 4.环境因素;男性病人较女性病人稍多农村发病率高于城市另外发热精神刺激等也是癫痫发生的诱因。[br][br]此病例在额叶有片状低密度灶,无明显占位与负占位效应,结合癫痫的常见原因考虑[br]1、外伤后软化灶,包括产伤,可以结合病史鉴别[br]2、血管畸形的窃血现象形成的萎缩?
以下是引用xulianj在2009-1-1 16:09:00的发言:[br]支持:蛛网膜粒囊肿!
| 欢迎光临 医影在线 (http://bbs.radida.com/bbs/) | Powered by Discuz! X3.2 |