













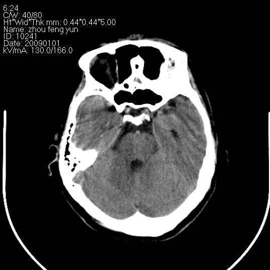
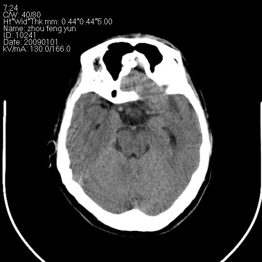
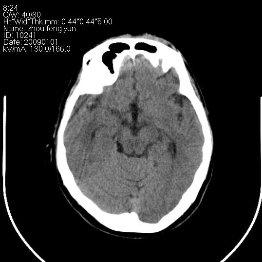
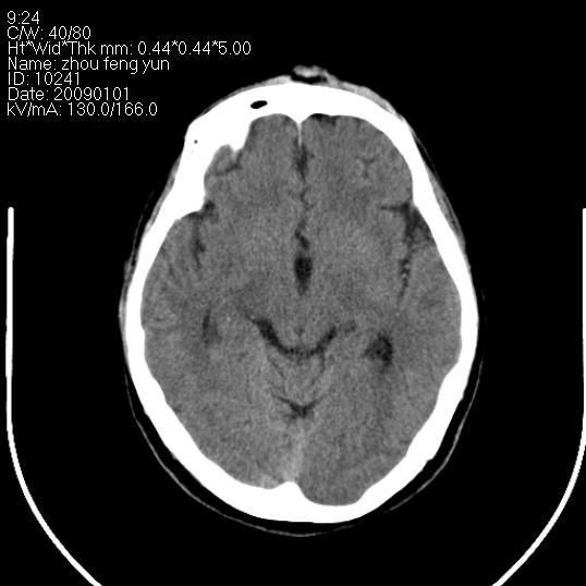
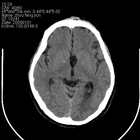
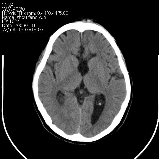
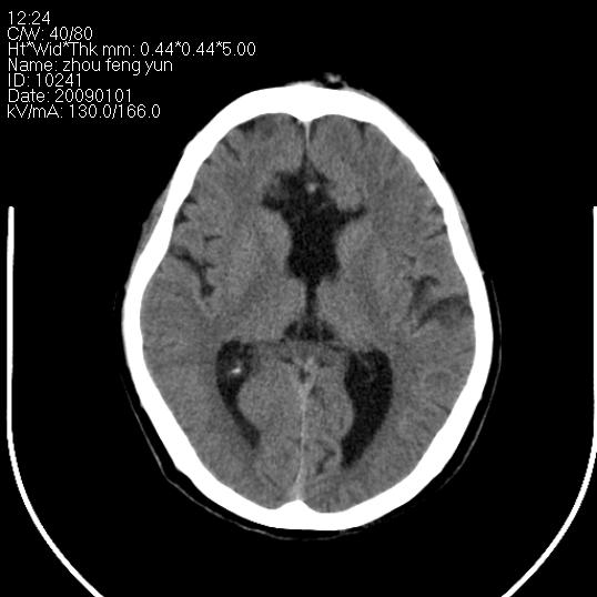
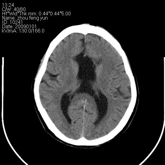
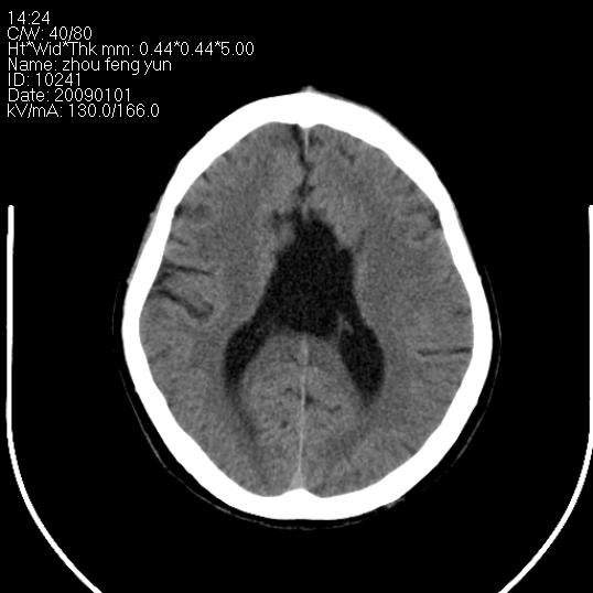
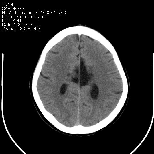
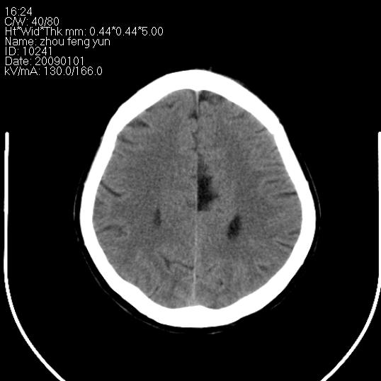
以下是引用hhcckk在2009-1-1 16:39:00的发言:[br]胼胝体嘴、膝部及部分体部发育不全,为囊状影替代,两侧侧脑室分离,脑室后角扩张[br][br]诊断:胼胝体发育不良[br][br]胼胝体发育不良(dysgenesis of the corpus callosum)是最常见的颅脑畸形,是胚胎期背部中线结构发育不良的一种形式。主要包括胼胝体缺如和部分缺如。胼胝体发育不良还可合并其他畸形,如胼胝体脂肪瘤、蛛网膜囊肿、脑膨出、chiari畸形、灰质异位症、脑回畸形等。[br][br]ct诊断要点:[br]1. ct横断扫描可见两侧侧脑室明显分离,脑室后角扩张,形成典型的蝙蝠翼状侧脑室外形。[br]2. 第三脑室扩大并向上插入两侧脑室体部之间,严重者第三脑室可上移到两侧大脑半球纵裂的顶部。在ct冠状扫描位显示更清。[br]4. 胼胝体畸形常伴有脂肪瘤,可测到其特征性脂肪密度。部分脂肪瘤的边缘可出现线样钙化[br]
| 欢迎光临 医影在线 (http://bbs.radida.com/bbs/) | Powered by Discuz! X3.2 |