医影在线
标题: CT17495:男性,73岁,有慢支病史,体检病例 [打印本页]
作者: liyunp 时间: 2009-1-3 08:24
标题: CT17495:男性,73岁,有慢支病史,体检病例
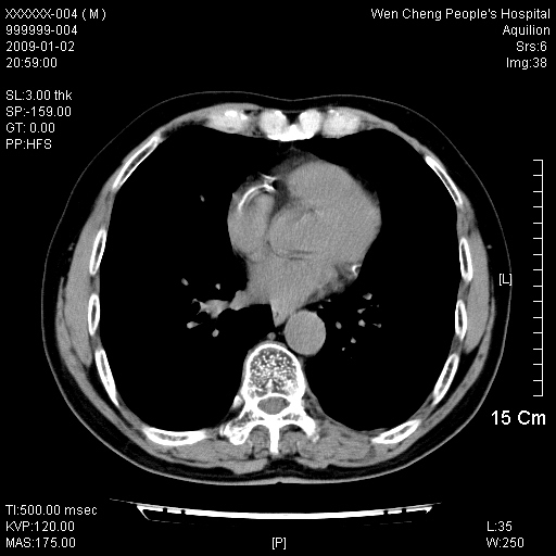
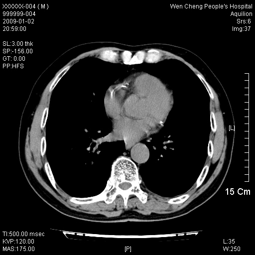
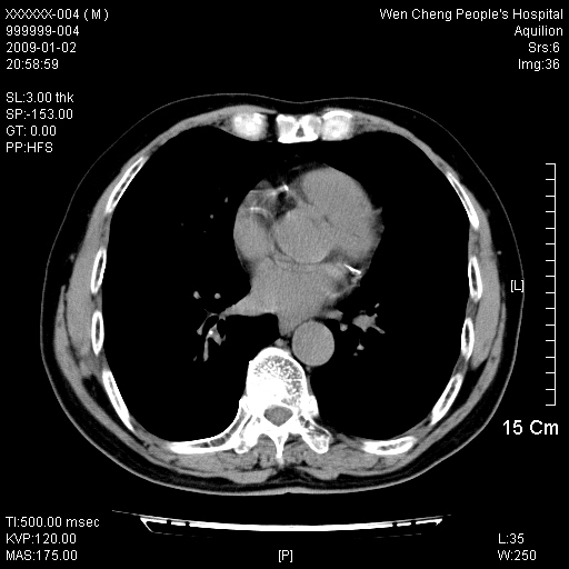
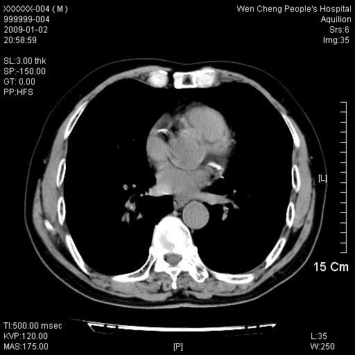
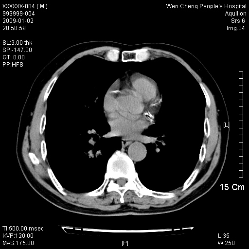
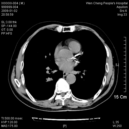
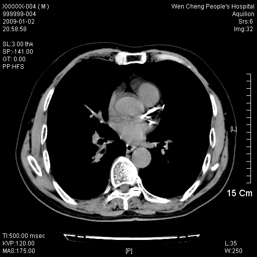
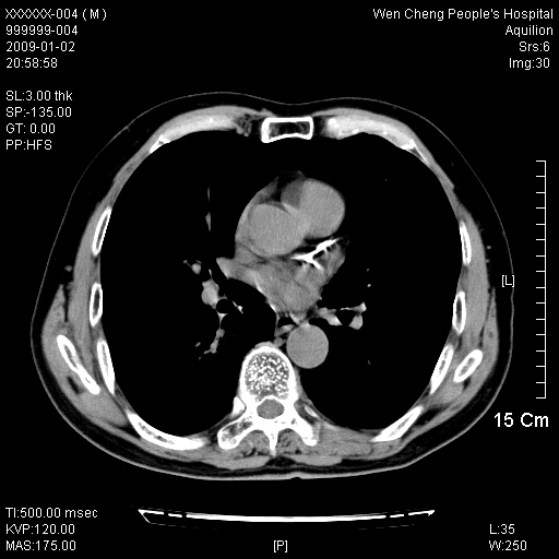
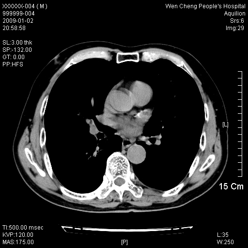
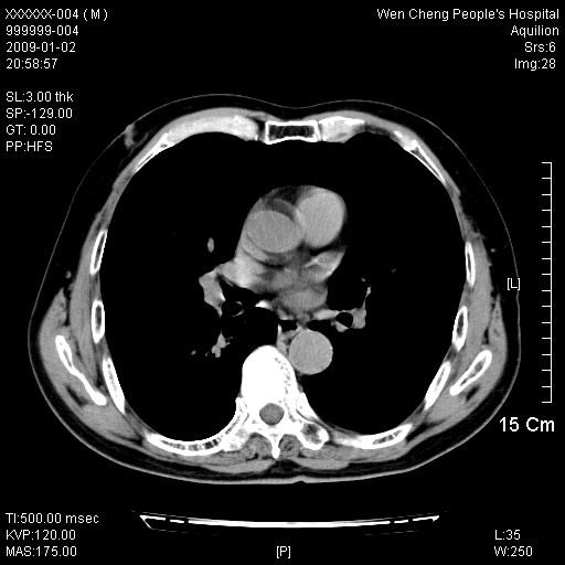
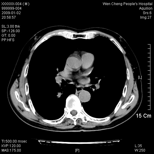
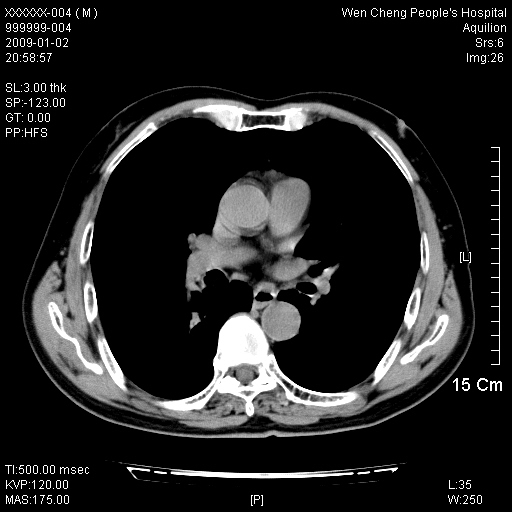
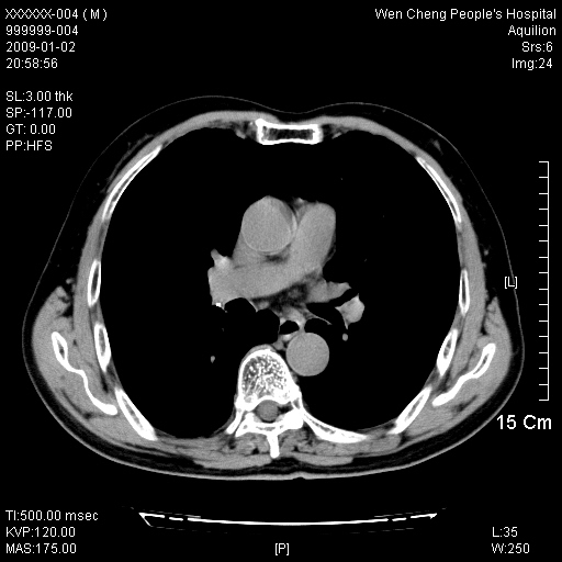
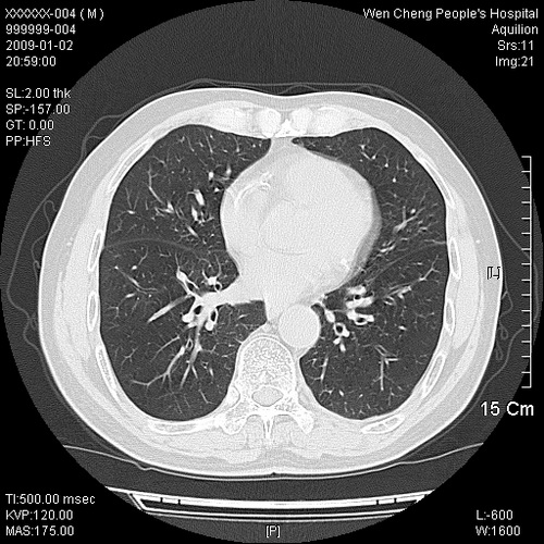
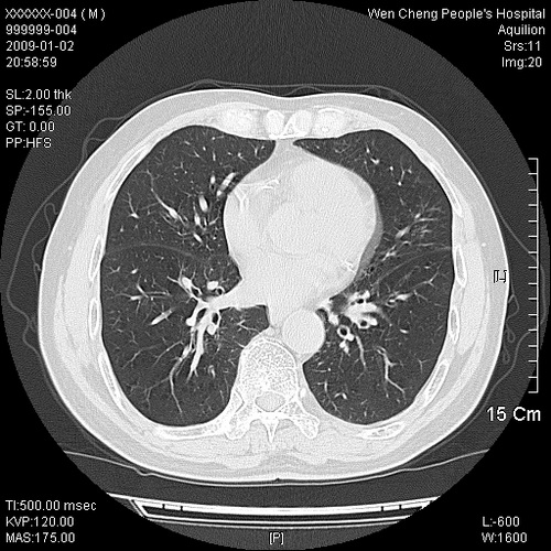
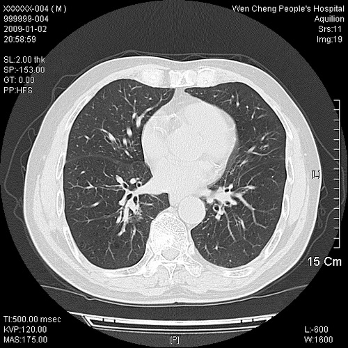
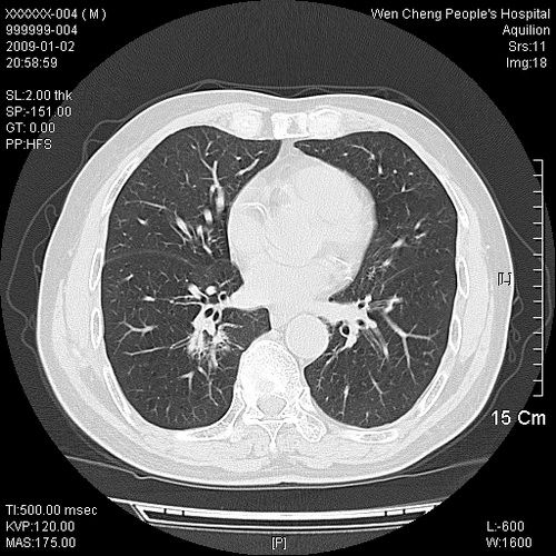
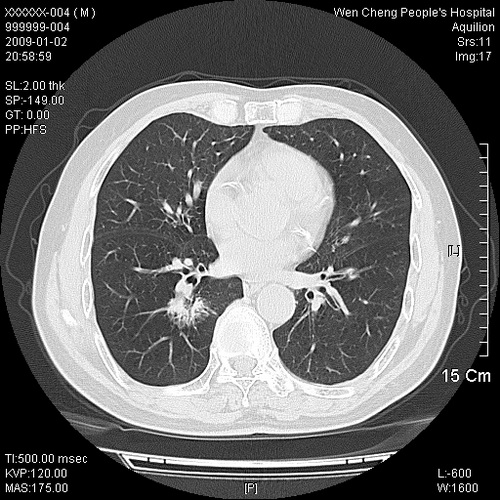
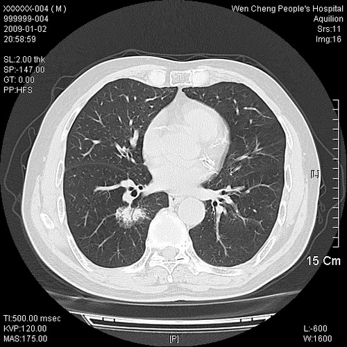
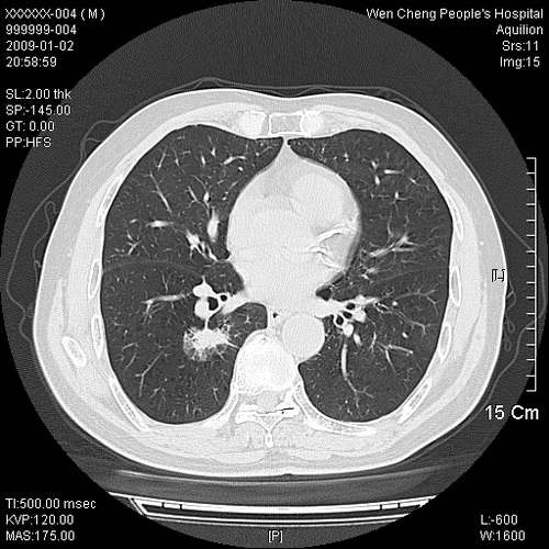
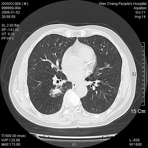
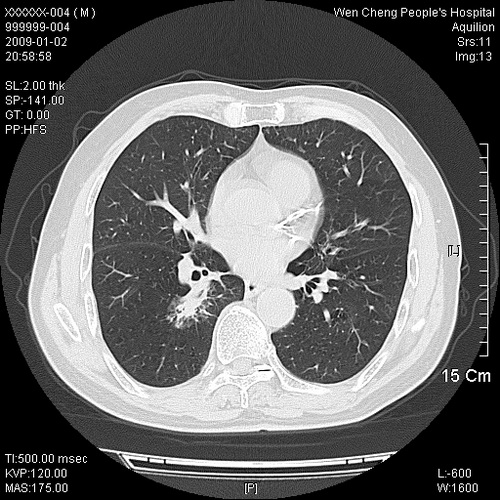
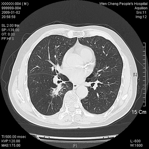
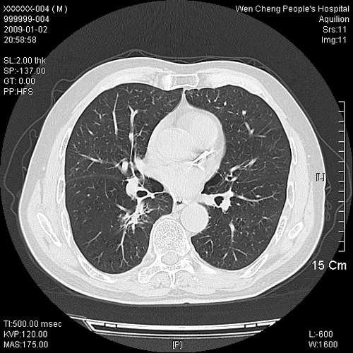
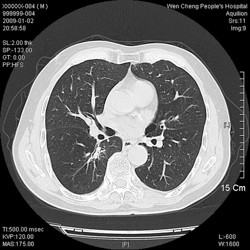
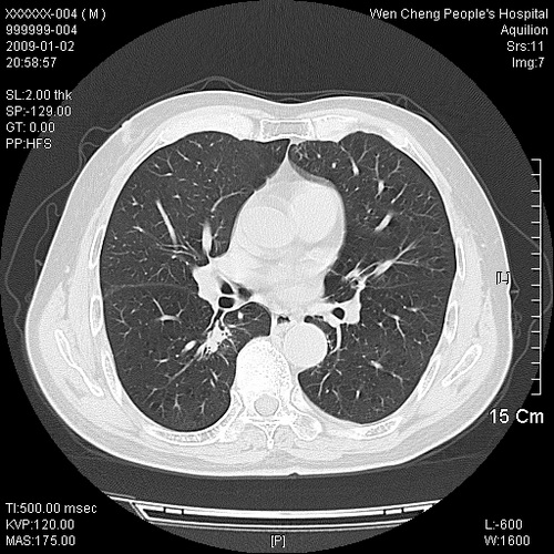
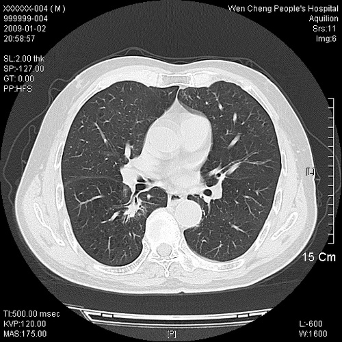
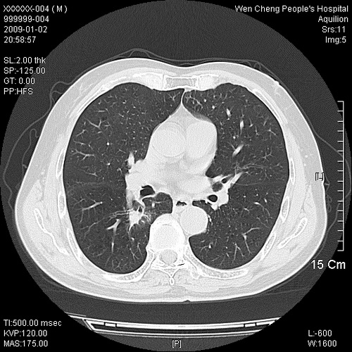
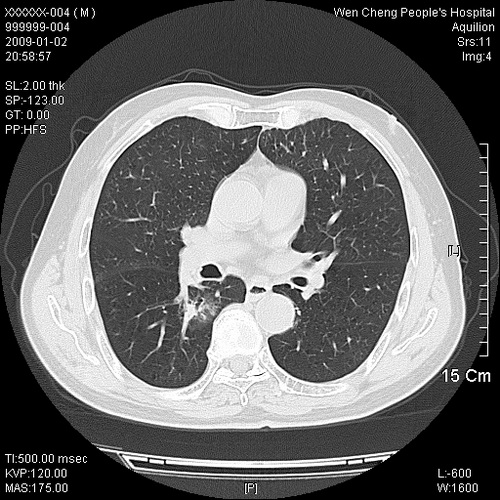
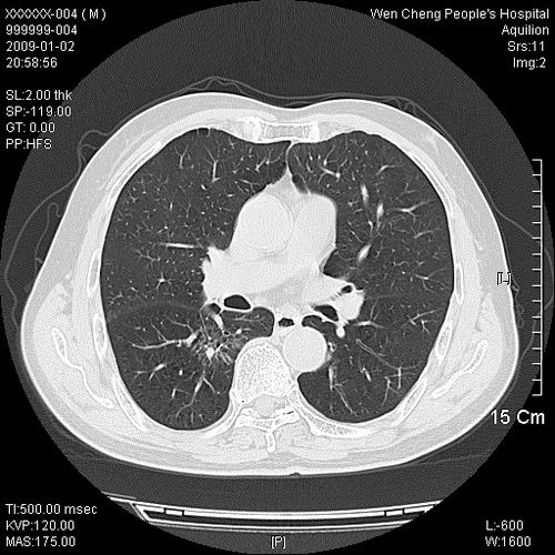
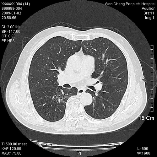
男性,73岁,有慢支病史,肿瘤系列标志物检验正常,血沉及血常规正常





































[本贴已被 jiajie 于 2009-1-3 9:54:39 修改过]
[本贴已被 liyunp 于 2009-1-4 8:55:34 修改过]
作者: 卜一 时间: 2009-1-3 13:53
右肺下叶背段小片状 磨玻璃样模糊影,内见血管及含气支气管像,支气管管壁增厚。考虑:慢性炎症!
作者: SOS.LA 时间: 2009-1-3 14:30
机化性肺炎
作者: 随光逐影 时间: 2009-1-3 16:05
1)不排除右肺下叶周围型肺癌可能;建议追踪复查。2)左右冠状动脉钙化。
作者: qingjing 时间: 2009-1-3 16:55
支气管炎,小叶气肿,右下肺局限性炎症并轻度支气管扩张冠脉钙化。
作者: jiangjing 时间: 2009-1-3 17:01
右肺下叶背段小片状 实性与磨玻璃样影,内见血管及含气支气管像,支气管管壁增厚,边缘见长毛刺影。考虑:慢性炎症或肿瘤!建议抗炎治疗复查,密切观察随访!
作者: LIAOQIANG 时间: 2009-1-3 17:02
右肺下叶片团状影内见扩张的含气支气管和支气管管壁增厚,其周有磨玻璃样模糊影和长毛刺。考虑慢性炎症可能性大。
作者: xupengjie 时间: 2009-1-3 17:49
右肺下叶片团状影内见扩张的含气支气管和支气管管壁增厚,其周有磨玻璃样模糊影和长毛刺。考虑慢性炎症可能性大。
作者: 放射小子 时间: 2009-1-3 18:16
抗炎后复查
作者: 影像孺子牛 时间: 2009-1-3 18:43
右肺下叶片团状影内见扩张的含气支气管和支气管管壁增厚,其周有磨玻璃样模糊影和长毛刺。考虑慢性炎症可能性大。
作者: 987654zwf 时间: 2009-1-3 19:15
1、慢性支气管炎。
2、右肺下叶片团状影内见扩张的含气支气管和支气管管壁增厚,其周有磨玻璃样模糊影和长毛刺。考虑周围型肺ca可能,结核不排。
3、左右冠状动脉钙化。
作者: zsl6918 时间: 2009-1-3 19:53
高度提示细支气管肺泡癌,建议抗炎治疗半月观察病灶变化,如无明显改变,建议立即手术治疗.
作者: 323 时间: 2009-1-3 20:34
右肺下叶内基底段海绵样血管瘤
作者: zjzjr 时间: 2009-1-3 21:04
标题: 回复:ct17495:男性,73岁,有慢支病史,体检病例
以下是引用jiangjing在2009-1-3 9:01:00的发言:[br]右肺下叶背段小片状 实性与磨玻璃样影,内见血管及含气支气管像,支气管管壁增厚,边缘见长毛刺影。考虑:慢性炎症或肿瘤!建议抗炎治疗复查,密切观察随访!
作者: 深泽交通 时间: 2009-1-3 22:14
标题: 回复:ct17495:男性,73岁,有慢支病史,体检病例
以下是引用qingjing在2009-1-3 8:55:00的发言:[br]支气管炎,小叶气肿,右下肺局限性炎症并轻度支气管扩张冠脉钙化。
作者: scdlc2008 时间: 2009-1-3 22:58
慢性炎症
作者: xulianj 时间: 2009-1-3 22:58
支持考虑慢性炎症可能性大。
作者: dsl555 时间: 2009-1-4 02:54
机化性肺炎 , 左右冠状动脉钙化。
作者: wansheng 时间: 2009-1-4 03:12
右肺下叶背段小片状 实性与磨玻璃样影,内见血管及含气支气管像,支气管管壁增厚,边缘见长毛刺影。考虑:慢性炎症或肿瘤!建议抗炎治疗复查,密切观察随访!
作者: 黑白光影 时间: 2009-1-4 04:31
不排除右肺下叶周围型肺癌可能;建议追踪复查。
作者: adams 时间: 2009-1-4 06:37
支气管炎,小叶气肿,右下肺局限性炎症并轻度支气管扩张冠脉钙化
作者: 杀毒软件 时间: 2009-1-4 18:15
标题: 回复:ct17495:男性,73岁,有慢支病史,体检病例
以下是引用jiangjing在2009-1-3 9:01:00的发言:[br]右肺下叶背段小片状 实性与磨玻璃样影,内见血管及含气支气管像,支气管管壁增厚,边缘见长毛刺影。考虑:慢性炎症或肿瘤!建议抗炎治疗复查,密切观察随访!
支持
作者: liyunp 时间: 2009-1-6 05:06
两天后出纤维支气管镜结果
作者: zsl6918 时间: 2009-1-6 05:25
估计纤支镜很难明确.还是建议抗炎治疗复查,观察病灶大小的变化,考虑细支气管肺泡癌可能性大
作者: zyyzzy 时间: 2009-1-6 06:44
病变形态非常不好呀,临床上血常规及症状也不明显,不太支持炎性病灶,高度警惕肿瘤病变,最好做个纤支镜检查。
| 欢迎光临 医影在线 (http://bbs.radida.com/bbs/) |
Powered by Discuz! X3.2 |