医影在线

标题: CT17510:急(家父)!!!始发一次:右肺门有问题吗? [打印本页]

作者: 华英雄    时间: 2009-1-4 04:46
标题: CT17510:急(家父)!!!始发一次:右肺门有问题吗?
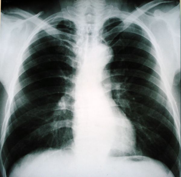
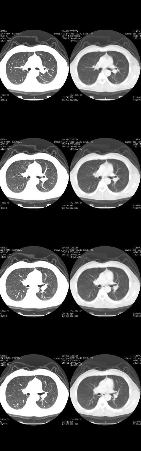
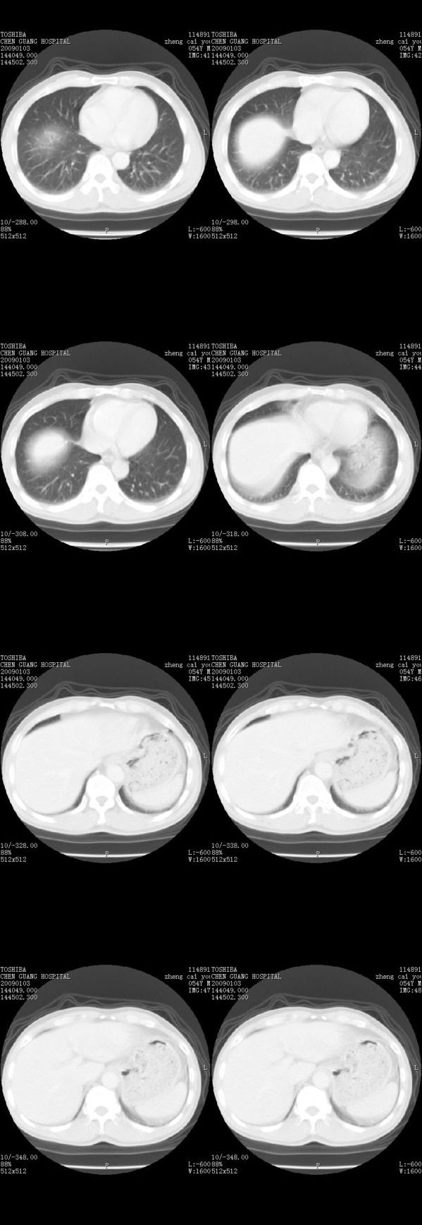
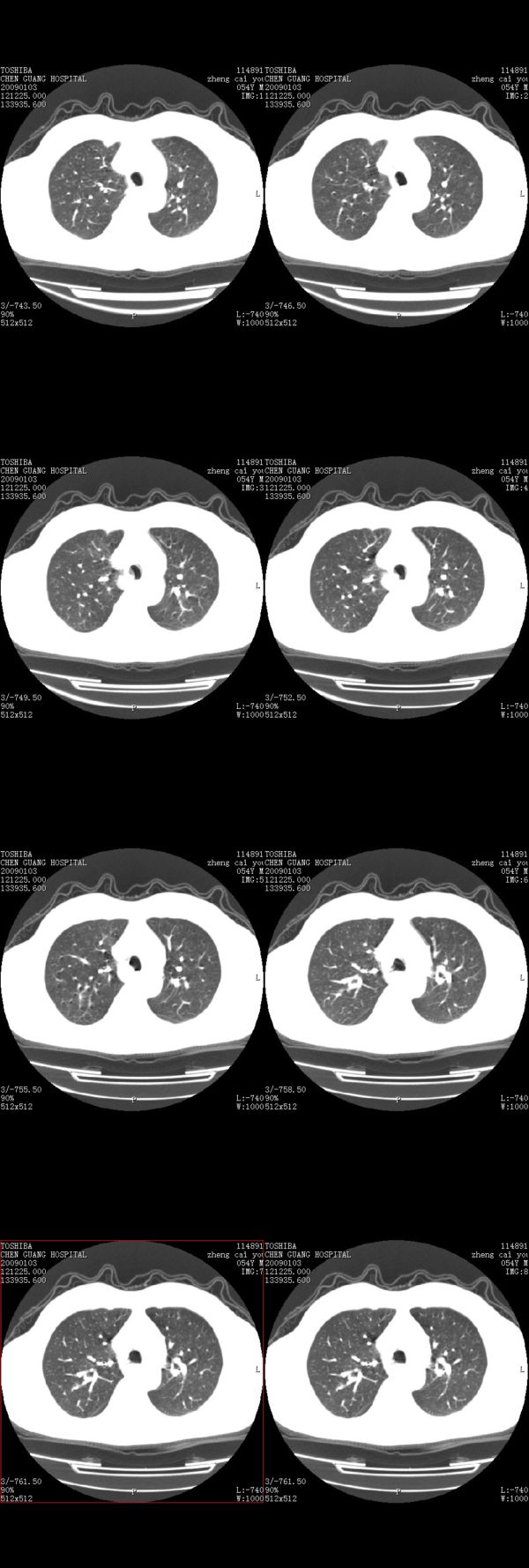
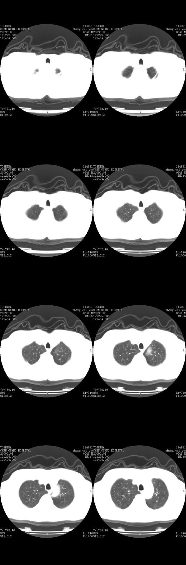
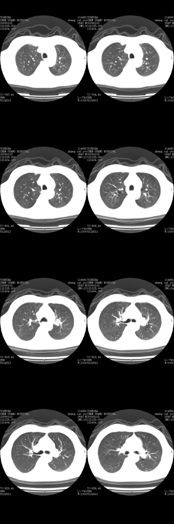
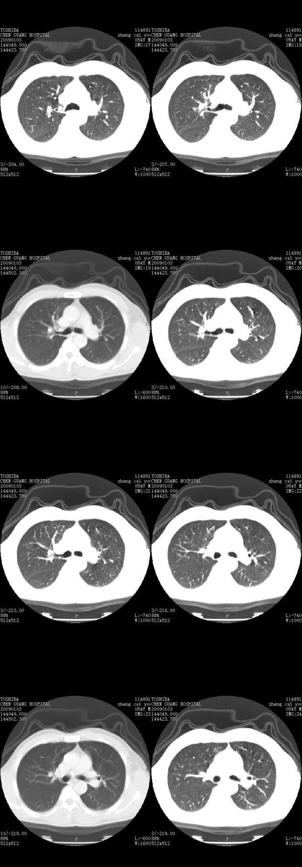
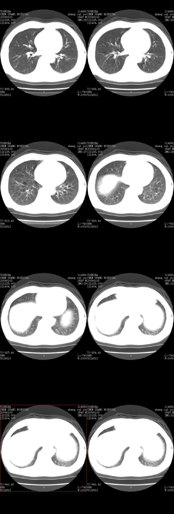
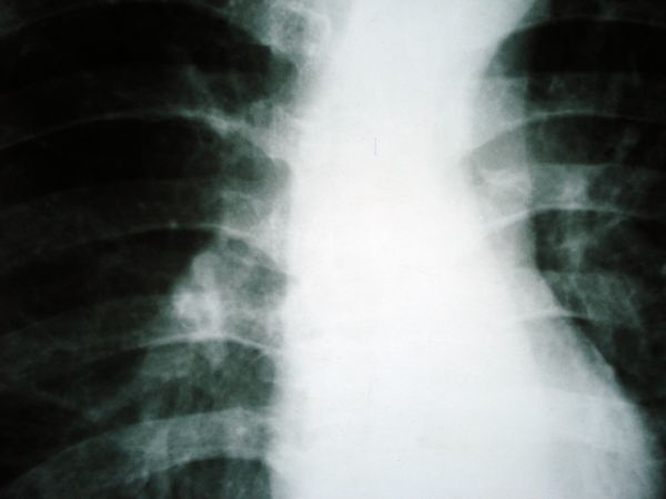
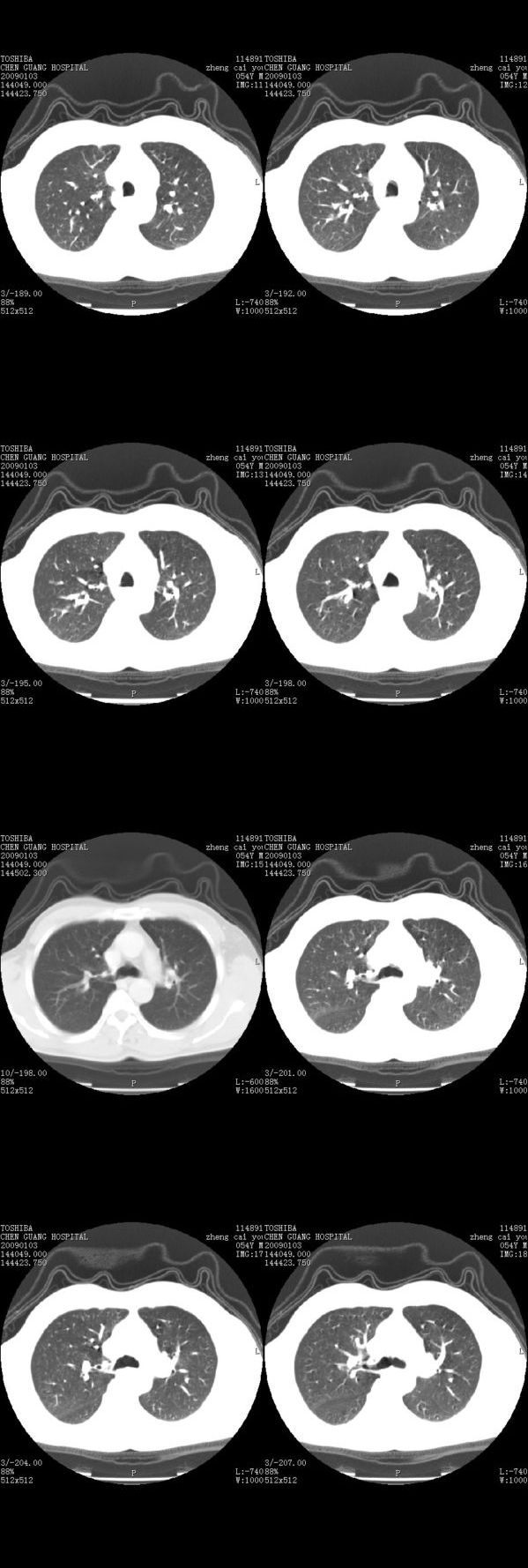
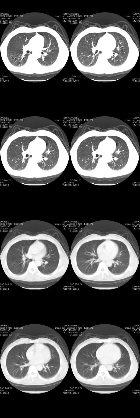
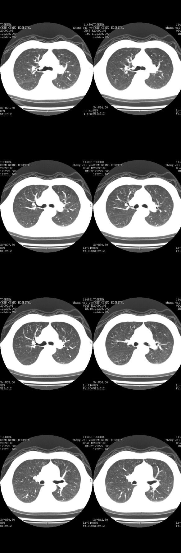
男,54岁,平时有吸烟后咳嗽、咯痰史,因右侧胸部(腋窝下)疼痛来检查平片,见右下肺动脉干起始处处结节,后到同学处做了平扫及增强。请各位老师帮忙看一下,不甚感谢!!!!!




















[本贴已被 翁志蓬 于 2009-1-3 22:39:57 修改过]

作者: xizhong    时间: 2009-1-4 05:00
未见异常
作者: ct诊断高手    时间: 2009-1-4 05:09
支气管壁增厚
作者: 胡宇    时间: 2009-1-4 05:35
右肺下叶支气管扩张。
作者: guan    时间: 2009-1-4 05:39
未见异常
作者: zsl6918    时间: 2009-1-4 06:00
顺序确实有点乱,不过在右肺上叶后段近气管旁仍可见一结节灶,希望楼主小心观察分析。
作者: 卜一    时间: 2009-1-4 12:15
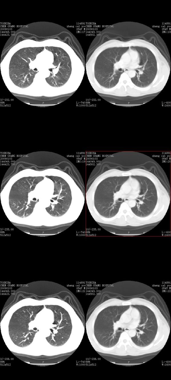
怎么没有纵隔窗啊?
作者: qingjing    时间: 2009-1-4 16:46
放心
作者: muzi888    时间: 2009-1-4 16:52
未见异常
作者: 随缘的人    时间: 2009-1-4 17:03
未见明显异常
作者: baogan    时间: 2009-1-4 17:14
未见异常
作者: 杀毒软件    时间: 2009-1-4 17:17
考虑------支气管壁增厚---局限性气肿---建议----气管镜进一步检查
作者: 随光逐影    时间: 2009-1-4 17:33
多为血管断面影;建议必要时行ct增强扫描检查。
作者: 深泽交通    时间: 2009-1-4 17:53
上肺v
作者: wansheng    时间: 2009-1-4 18:20
未见明显异常。
作者: scdlc2008    时间: 2009-1-4 19:02
未见明显异常
作者: sunxb1010    时间: 2009-1-4 19:15
建议上传纵膈窗
作者: 37度    时间: 2009-1-4 19:22
纵隔窗。
作者: zjzjr    时间: 2009-1-4 19:51
怎么没有纵隔窗啊,不知是血管影或是其他.
作者: 流浪星    时间: 2009-1-4 20:31
未见明显异常
作者: gyh6308    时间: 2009-1-4 20:39
你为什么一直没有发纵隔窗呀,纵隔窗更重要
作者: 影象小泰斗    时间: 2009-1-4 20:47
未见异常!
作者: jinguoji    时间: 2009-1-4 21:34
未见明显异常。
作者: xupengjie    时间: 2009-1-4 21:52
未见明显异常
作者: yzt222    时间: 2009-1-4 22:17
考虑小气道堵塞,肺气肿。
作者: wyd2008    时间: 2009-1-4 22:45
的确需要纵隔窗.
作者: 雨飘飘    时间: 2009-1-5 00:23
小叶中心型肺气肿
作者: zyyzzy    时间: 2009-1-5 01:42
没有纵膈窗,也没有增强,确实不好说。从连续层面来看像是血管影。不放心做个强化最好了,毕竟是自己最亲的人!!
作者: 医中人    时间: 2009-1-5 01:51
怎么没有纵隔窗啊不好观察
作者: 中国人    时间: 2009-1-5 02:22
未见明显异常
作者: htjun    时间: 2009-1-5 03:11
没有纵隔窗,也没有把增强扫描的图像上传?
作者: liuqiang    时间: 2009-1-5 04:41
正常血管。
作者: wangyong1977    时间: 2009-1-5 04:57
未见明显异常
作者: 影像小胖    时间: 2009-1-5 18:27
未见明显异常
作者: yuhg    时间: 2009-1-9 00:44
未见异常
作者: jjp310    时间: 2009-1-9 05:45
未见明显异常
作者: wenwen0525    时间: 2009-1-9 06:10
未见明显异常,放心吧
作者: 王贵生王    时间: 2009-1-18 16:49
未见异常
作者: cxc1971101    时间: 2009-1-18 21:54
多为血管断面影;建议必要时行ct增强扫描检查。 怎么没有纵隔窗啊,不知是血管影或是其他.
作者: huenhao    时间: 2009-1-20 04:14
未见异常
作者: lclaiwa    时间: 2009-1-20 05:18
似乎是血管啊,连续几层都可以看见,希望高手指点迷津!!
作者: fangjianpeng    时间: 2009-1-21 10:17
钙化的琳巴结
作者: xiaoyao157    时间: 2009-1-22 00:12
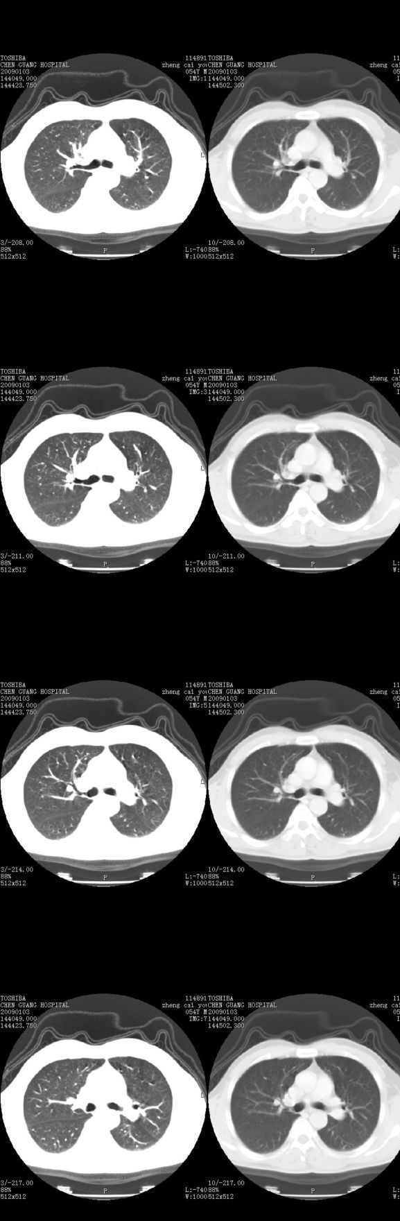
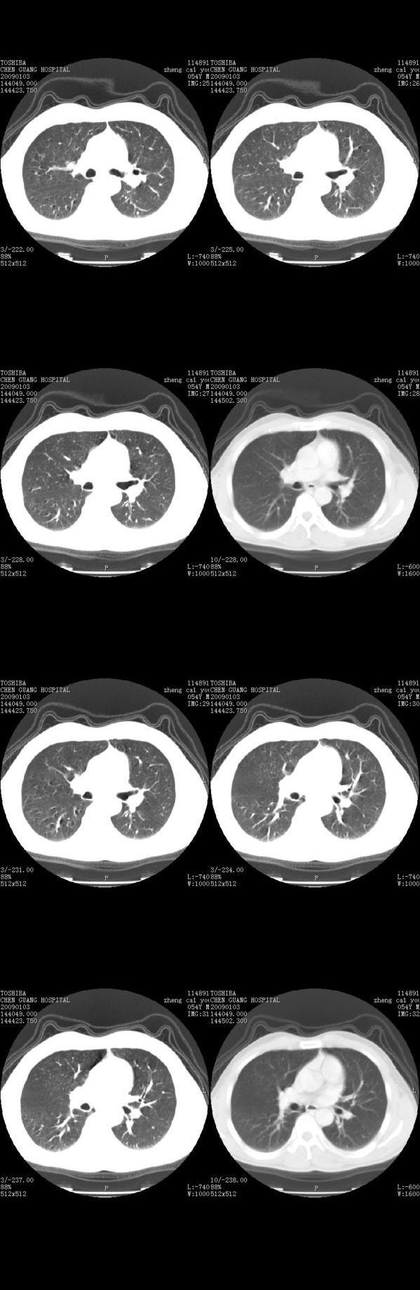
增强了 但纵隔窗调的看不清  右上叶支气管壁似有增厚 警惕
作者: zhuming943066    时间: 2009-2-7 16:45
未见明显异常
作者: 天山影士    时间: 2009-2-8 02:37
胸部ct平扫肺窗未见异常,请结合ct增强检查的纵隔窗。
作者: 一步一个    时间: 2009-2-14 04:36
请发纵隔窗
作者: wenyong    时间: 2009-2-14 04:58
肺窗薄扫、常规扫描均未见明确病变;右下肺门圆形与肺血管等密度影,考虑为血管变异;应该要纵隔窗才能进一步明辨。
x线表现与ct扫描相吻合。
作者: LSJ123    时间: 2009-2-16 21:17
未见明显异常
作者: 博大精深    时间: 2009-2-17 03:14
没有问题
作者: whatpeoper    时间: 2009-2-17 06:18
无异常啊? 难道还有别的解释?
作者: 听海2008    时间: 2009-2-18 00:34
未见明显异常,怎么没纵隔窗
作者: 芊芊百合    时间: 2009-2-19 18:03
主要应该看一下纵隔窗,感觉到右肺门的血管有局限性的扩张,呈结节状,再做个增强ct扫描.
作者: dr.yang    时间: 2012-6-10 07:56
引用第39楼huenhao于2009-01-20 04:14发表的  :
未见异常

作者: shuiyuan    时间: 2012-6-10 08:31
右肺上叶前后段支气管夹角处可见一结节影,图像资料不全,不好下结论。




欢迎光临 医影在线 (http://bbs.radida.com/bbs/) Powered by Discuz! X3.2