医影在线

标题: CT17510B:急(家父)!终于把纵隔窗图像整理好了!右肺门 [打印本页]

作者: 华英雄    时间: 2009-1-5 05:16
标题: CT17510B:急(家父)!终于把纵隔窗图像整理好了!右肺门
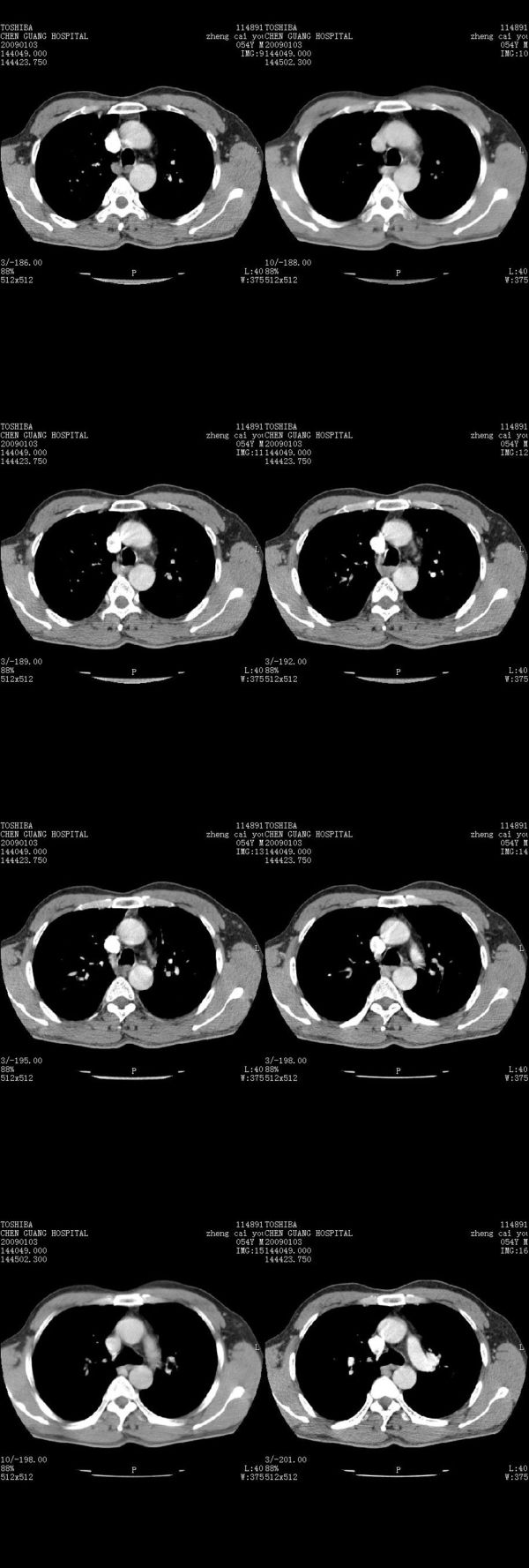
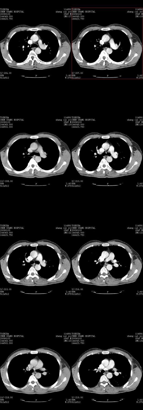
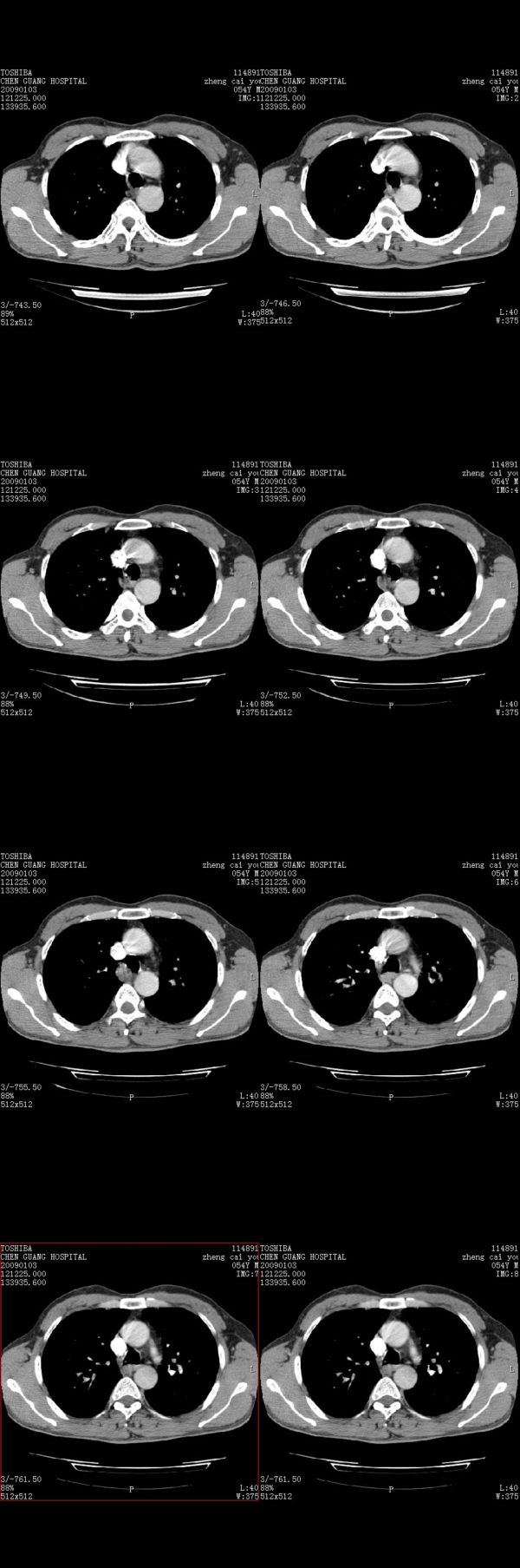
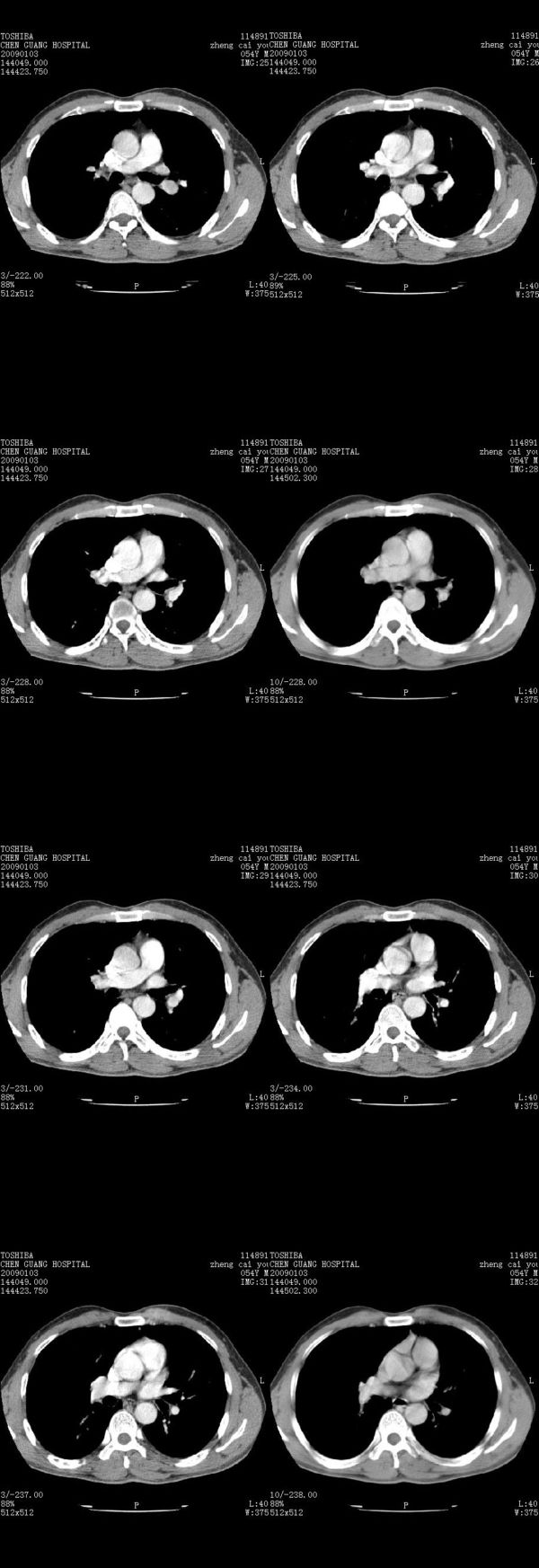
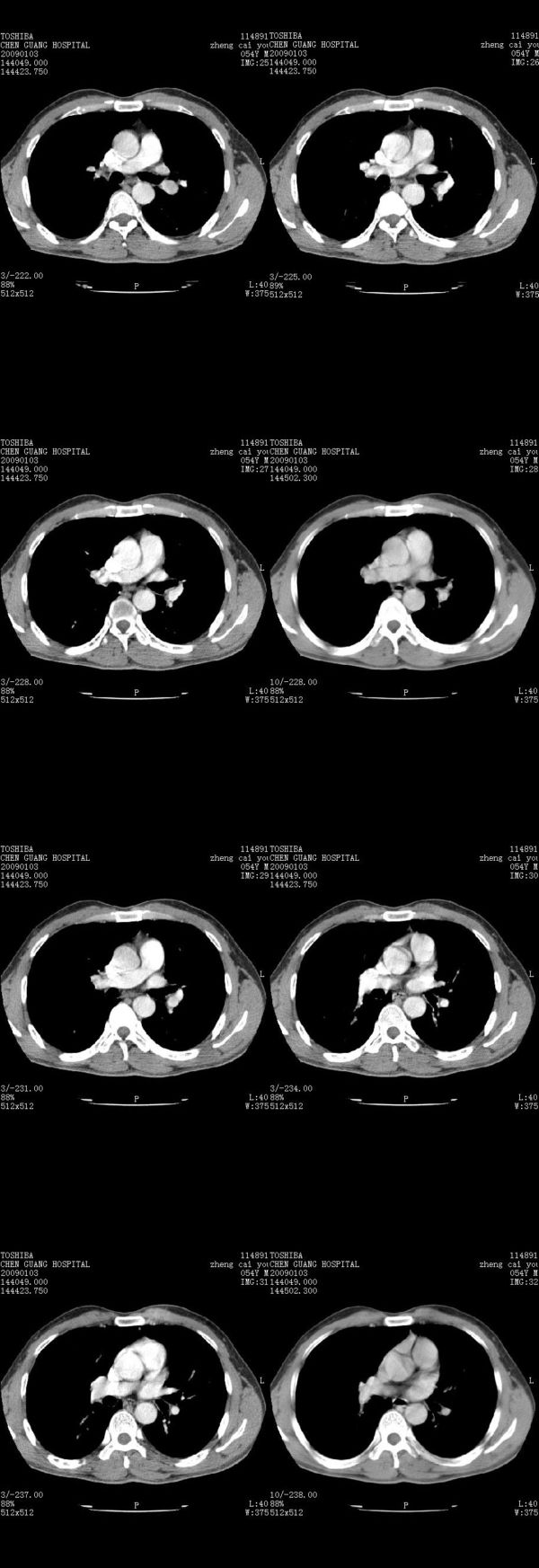
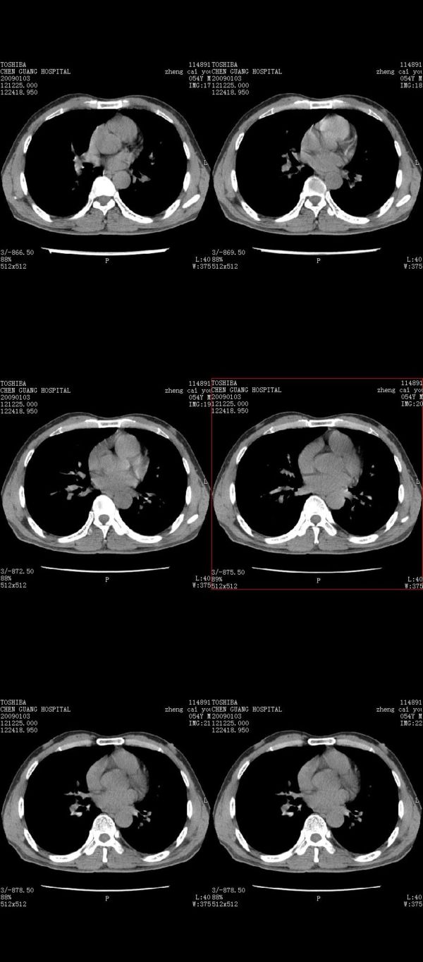
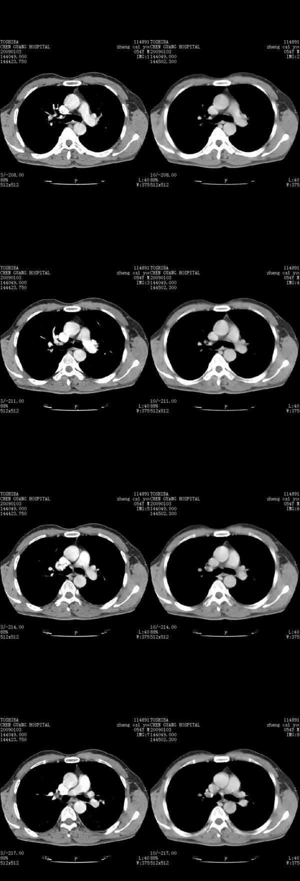
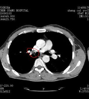
男,54岁,右侧胸部疼痛,平时吸烟,有抽烟后咳嗽咯痰史。昨天没把xiphoid软件吃懂,所以没把纵隔窗图像处理出来!请各位老师帮忙看一下右肺门有没有问题?谢谢!!!!!!!!!!



















[本贴已被 翁志蓬 于 2009-1-5 0:16:05 修改过]

作者: zsl6918    时间: 2009-1-5 05:41
右肺上叶后段近气管旁仍可见一结节灶,不除外为肿大的淋巴结影。
作者: 宇宙CT    时间: 2009-1-5 06:22
应该是正常的
作者: baogan    时间: 2009-1-5 06:51
未见异常
作者: 随光逐影    时间: 2009-1-5 07:04
未见明确异常。
作者: zyyzzy    时间: 2009-1-5 07:07
哈哈,虚惊一场,正常的血管影
作者: 卜一    时间: 2009-1-5 14:47
未见明确异常。
作者: wyd2008    时间: 2009-1-5 18:39
黑龙江市级医院招ct方向影象本科毕业生,有意电话 13836475118
作者: zjzjr    时间: 2009-1-5 18:47
未见明确异常。
作者: 边生丽    时间: 2009-1-5 19:37
未见明确异常。
作者: frzh    时间: 2009-1-5 20:27
标题: 回复:ct17510b:急(家父)!终于把纵隔窗图像整理好了!右
以下是引用卜一在2009-1-5 6:47:00的发言:[br]未见明确异常。  [br]   [br]

作者: 华英雄    时间: 2009-1-5 20:49
标题: 回复:ct17510b:急(家父)!终于把纵隔窗图像整理好了!右
我同学讲红线部分强化不好,感觉不是很舒服,这是什么道理?
作者: shuqiang1    时间: 2009-1-5 21:55
未见明确异常。
我同学讲红线部分强化不好,感觉不是很舒服,应该 是软组织间隙,不是一个孤立的病灶。
作者: wansheng    时间: 2009-1-6 03:36
未见明确异常。
作者: 拾荒者    时间: 2009-1-6 03:37
气管前腔静脉后似见增大淋巴结影,肺门区未见明显肿块影。肺窗示右肺中叶外侧段透亮度增高,可过一段时间再查一下对比一下,毕竟是自己的至亲,又有条件,辐射就顾不得了。
作者: xulianj    时间: 2009-1-6 05:04
未见明确异常
作者: zjb    时间: 2009-1-6 17:30
应该是正常的
作者: taodaojun    时间: 2009-1-6 22:12
为什么没有肺窗,我觉得右肺上叶前后段支气管间应该加扫薄层,还是小心点吧,其他到没有什么问题
作者: 1月    时间: 2009-1-7 07:08
未见异常
作者: zgjldq    时间: 2009-1-7 20:05
未见明确异常。
作者: 影中游虾    时间: 2009-1-8 06:28
好着力!!!
作者: 13466989833    时间: 2009-1-9 17:44
未见异常改变
作者: X-T-M    时间: 2009-1-9 22:55
也觉得还好吧,只是右下肺动脉显粗了点,纵膈有钙化淋巴结,再有肺窗就更好了
作者: jzhang21    时间: 2009-1-10 19:06
未见明确异常。
作者: 华英雄    时间: 2009-1-10 21:10
各位老师:奇静脉增宽,肺上未见明显实变,这还需注意观察些什么?????
作者: ganggang    时间: 2009-1-10 21:26
正常片啊
作者: 正峰    时间: 2009-1-11 19:34
感觉上不太正常,也没有明确的东西.还是正常的,
作者: pysylhj    时间: 2009-1-12 03:35
未增强前不能除外占位,
作者: liping57    时间: 2009-1-13 19:19
未见异常
作者: xiaoyao157    时间: 2009-1-22 00:17
未见异常
作者: 吴艳艳    时间: 2009-1-22 07:00
未见明显异常
作者: GYYBZJ    时间: 2009-1-24 05:06
没问题
作者: jw_830    时间: 2009-1-25 06:05
未見明顯異常
作者: jacsibank    时间: 2009-1-28 06:02
未见明显异常!
作者: 战辉    时间: 2009-1-30 06:04
未见明显异常改变
作者: cal362    时间: 2009-1-31 20:33
怎么不发点肺窗,胸痛原因很多,心、血管病变都可能,心、肺血管梗塞等,还包括功能性病变。
作者: yhmcyy    时间: 2009-2-1 05:33
右侧肺门影增大,不除外增大淋巴结可能
作者: qxhxf    时间: 2009-2-2 17:55
未见异常改变
作者: 晨雨    时间: 2009-2-2 19:24
未见明确异常改变
作者: sunxian7526    时间: 2009-2-3 03:32
没有问题,让老爷子放心好了,可以复查一下嘛,
作者: wsz9999    时间: 2009-2-3 16:28
未见明确异常。
作者: salor666666    时间: 2009-2-6 00:33
正常。
作者: ydx_74    时间: 2009-2-7 04:33
未见异常
作者: flycar    时间: 2009-2-9 01:14
未见异常
作者: 枫岩    时间: 2009-2-9 05:50
未见明确异常。
作者: 紫云陈剑    时间: 2009-2-13 07:52
未见异常
作者: crazycell    时间: 2009-2-14 02:58
肺窗的信息没有。希望补充。
作者: 一步一个    时间: 2009-2-14 05:26
未见明确异常
作者: fangjianpeng    时间: 2009-2-16 07:13
无异常
作者: dyhhxq    时间: 2009-2-16 19:38
好的
作者: 芊芊百合    时间: 2009-2-19 18:06
表现正常,挺好的.
作者: 朱亮    时间: 2009-2-19 18:46
未见明显异常
作者: dr.yang    时间: 2012-6-10 09:02
上腔静脉后淋巴结影,不知道最后结果怎么样?




欢迎光临 医影在线 (http://bbs.radida.com/bbs/) Powered by Discuz! X3.2