医影在线

标题: X5225:请大家帮我看看这个胸片 [打印本页]

作者: xiyisheng    时间: 2009-1-5 06:36
标题: X5225:请大家帮我看看这个胸片
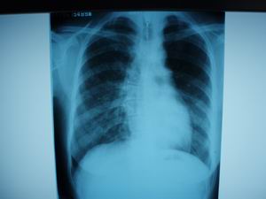
病人36岁,女、5年前就有过一次咳嗽发烧,当时也没诊断清,市级医院说是支气管肺炎,后来消炎加抗痨治疗了4个月就好了。这次病人主要是胸闷,晚上有点低烧3天,咳血痰,请各位老师帮忙看看诊断什么病




[本贴已被 翁志蓬 于 2009-1-5 0:30:43 修改过]

作者: fzwo    时间: 2009-1-5 06:43
图像不清楚,我看正常
作者: 寻芳者    时间: 2009-1-5 06:45
这种图片------怎么样看???
作者: xiyisheng    时间: 2009-1-5 06:55
我是第一次上传图片,可能处理的不好,没法诊断吗?
作者: xiyisheng    时间: 2009-1-5 07:00
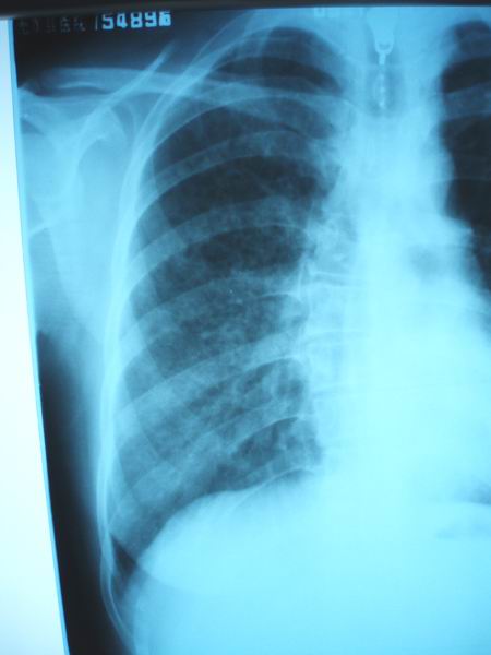
你看看我发的另一张图片(同一个病人的)能帮助诊断诊断吗?先谢谢各位老师了。
作者: kaisar    时间: 2009-1-5 07:06
图像不清楚,两肺下野参出性病变。
作者: dengkai    时间: 2009-1-5 07:21
胸椎右弯!图像不清楚,两肺下野参出性病变。
作者: 随光逐影    时间: 2009-1-5 09:37
1)右肺感染性病变;建议抗炎治疗后复查,必要时行ct扫描检查。2)脊柱胸段右突侧弯。
作者: jinguoji    时间: 2009-1-5 16:03
图像不清楚。
作者: 杀毒软件    时间: 2009-1-5 16:20
标题: 回复:x5225:请大家帮我看看这个胸片
以下是引用随光逐影在2009-1-5 1:37:00的发言:[br]1)右肺感染性病变;建议抗炎治疗后复查,必要时行ct扫描检查。2)脊柱胸段右突侧弯。

  
抗痨治疗过?痰检出结核菌了?就这张胸片不能明确诊断tb
作者: rainfogs    时间: 2009-1-5 16:58
标题: 回复:x5225:请大家帮我看看这个胸片
以下是引用随光逐影在2009-1-5 1:37:00的发言:[br]1)右肺感染性病变;建议抗炎治疗后复查,必要时行ct扫描检查。2)脊柱胸段右突侧弯。

作者: qsbaomingcheng    时间: 2009-1-5 18:59
以下是引用随光逐影在2009-1-5 1:37:00的发言:
1)右肺感染性病变;建议抗炎治疗后复查,必要时行ct扫描检查。2)脊柱胸段右突侧弯
作者: huenhao    时间: 2009-1-5 19:14
ct检查
作者: 323    时间: 2009-1-5 20:09
右肺感染性病变,脊柱胸段右侧弯曲畸形
作者: zsl6918    时间: 2009-1-5 20:34
ct观察
作者: LIAOQIANG    时间: 2009-1-5 23:04
右肺感染性病变;建议抗炎治疗后复查。
作者: 黑白光影    时间: 2009-1-6 03:42
右肺感染性病变;建议抗炎治疗后复查,除外血行播散型肺结核,必要时行ct扫描检查或实验室检查。
作者: hjy8925    时间: 2009-1-6 05:03
右肺条片影,考虑右下肺炎性改变。
作者: 宇宙CT    时间: 2009-1-6 05:41
抗痨治疗过?痰检出结核菌了?就这张胸片不能明确诊断
作者: zhangxiangjun    时间: 2009-1-6 08:13
单看这张片子还是考虑炎症病灶可能性大,你如果实在想跟病人确诊,那还是建议病人去做其他的辅助检查吧
作者: kaisar    时间: 2009-1-7 07:55
右肺感染性病变;建议抗炎治疗后复查,必要时行ct扫描检查。脊柱胸段右突侧弯。
作者: 姜晓辉    时间: 2009-1-7 16:37
这样的病例应该考虑到支气管内膜结核的可能。建议查痰及支气管镜检查!
作者: 影像小胖    时间: 2009-1-7 22:17
双下肺支气管肺炎,建议ct。
作者: 医盲    时间: 2009-1-8 05:49
脊柱向右突侧弯,右肺感染性病变。建议ct检查。
作者: 胡宇    时间: 2009-1-8 09:36
)右肺感染性病变,考虑右肺下野支气管扩张,建议抗炎治疗后复查,必要时行ct扫描检查
作者: ljj88    时间: 2009-1-8 17:22
1)右肺感染性病变;建议抗炎治疗后复查,必要时行ct扫描检查。2)脊柱胸段右突侧弯。
作者: 关中胃川    时间: 2009-1-9 04:27
建议肺ct10mm 两下肺野2mm扫描 考虑有支扩可能
作者: gaoyang8    时间: 2009-1-9 20:48
右肺感染性病变;最好做个痰菌培养,再对症治疗后复查.
作者: 用用看看    时间: 2009-1-15 04:20
脊柱右晚
作者: shibing    时间: 2014-5-7 17:22
1)右肺感染性病变;建议抗炎治疗后复查,必要时行ct扫描检查。2)脊柱胸段右突侧弯。




欢迎光临 医影在线 (http://bbs.radida.com/bbs/) Powered by Discuz! X3.2