医影在线

标题: CT17526:请各位看看是啥? [打印本页]

作者: helanna    时间: 2009-1-5 18:49
标题: CT17526:请各位看看是啥?















































[本贴已被 jiajie 于 2009-1-5 12:51:07 修改过]

作者: huenhao    时间: 2009-1-5 18:53
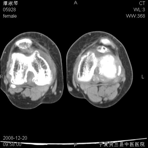
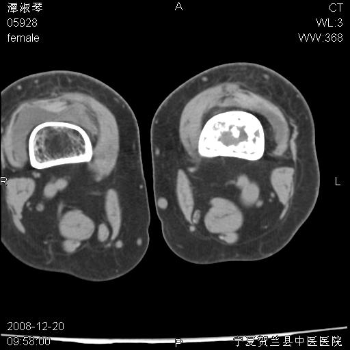
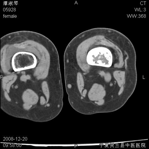
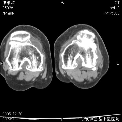
内生软骨瘤?骨梗死?
作者: 子十    时间: 2009-1-5 19:21
考虑内生软骨瘤可能性大
作者: 杀毒软件    时间: 2009-1-5 19:32
考虑-----骨梗死+退变
作者: mengxian    时间: 2009-1-5 19:37
学习了
谢谢
作者: 随光逐影    时间: 2009-1-5 20:01
标题: 回复:请各位看看是啥?
以下是引用杀毒软件在2009-1-5 11:32:00的发言:[br]考虑-----骨梗死+退变

作者: zjzjr    时间: 2009-1-5 20:21
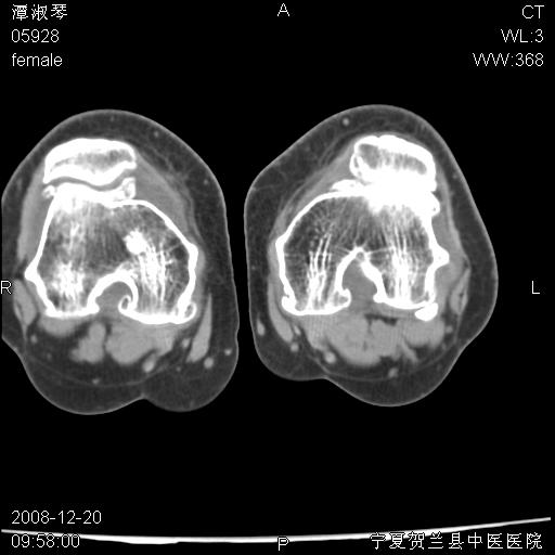
支持骨梗死,退行性骨关节病,膝关节积液.
作者: zsl6918    时间: 2009-1-5 20:22
考虑骨梗死可能性大
作者: jiangjing    时间: 2009-1-5 20:54
支持骨纤或内生软骨瘤或骨梗死,退行性骨关节病,膝关节积液.
作者: 流浪星    时间: 2009-1-5 21:07
支持骨梗死,退行性骨关节病,膝关节积液.
作者: 323    时间: 2009-1-5 21:09
骨梗死可能性大
作者: WSFCT    时间: 2009-1-5 21:29
支持骨梗死,退行性骨关节病,膝关节积液.
作者: 随缘的人    时间: 2009-1-5 23:06
支持骨梗死,退行性骨关节病,膝关节积液.
作者: 影像小胖    时间: 2009-1-5 23:07
左侧股骨下段骨瘤
作者: LIAOQIANG    时间: 2009-1-5 23:20
左股骨下段骨梗死。双膝退变。
作者: 卜一    时间: 2009-1-5 23:27
支持:内生软骨瘤或骨梗死!另:退行性骨关节病,膝关节积液。
作者: guanaishengming    时间: 2009-1-6 01:54
支持骨纤或内生软骨瘤或骨梗死,退行性骨关节病,膝关节积液
作者: xulianj    时间: 2009-1-6 04:22
支持骨梗死
作者: 黑白光影    时间: 2009-1-6 04:29
标题:
以下是引用杀毒软件在2009-1-5 11:32:00的发言:[br]考虑-----骨梗死+退变

作者: 987654zwf    时间: 2009-1-6 06:04
支持骨纤或内生软骨瘤或骨梗死,退行性骨关节病,膝关节积液.
作者: dsl555    时间: 2009-1-6 06:04
支持骨纤或内生软骨瘤或骨梗死,退行性骨关节病,膝关节积液
作者: zyyzzy    时间: 2009-1-6 06:32
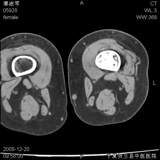
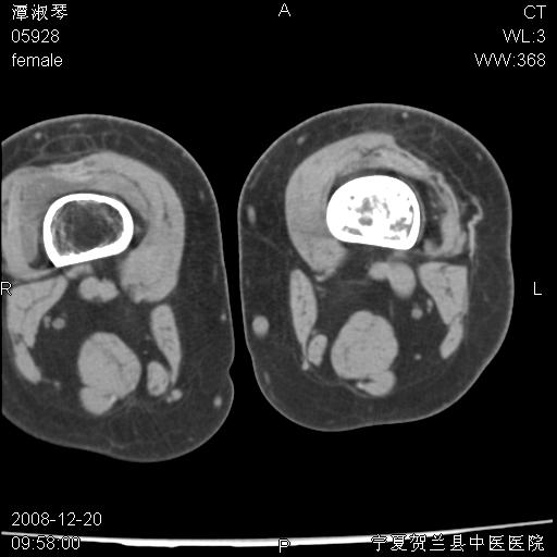
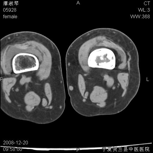
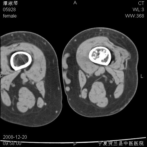
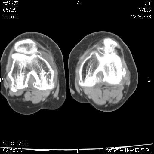
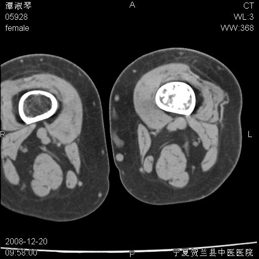
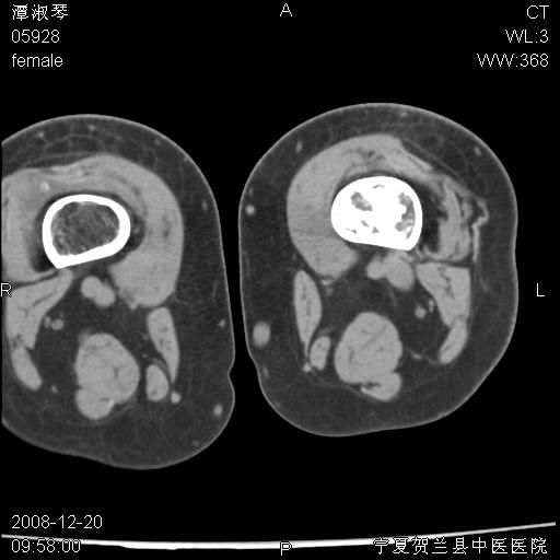
左胫骨下端松质骨及髓腔内可见点片状高密度灶,骨皮质无明显膨胀及变薄。病变范围较长。支持骨梗死,退行性骨关节病,膝关节积液




欢迎光临 医影在线 (http://bbs.radida.com/bbs/) Powered by Discuz! X3.2