医影在线
标题: CT17527:F31Y,腹痛伴血便9小时 [打印本页]
作者: 边生丽 时间: 2009-1-5 19:42
标题: CT17527:F31Y,腹痛伴血便9小时
(结果公布:http://www.radida.com/bbs/forum.php?mod=viewthread&tid=69888)



















[本贴已被 jiajie 于 2009-1-5 12:53:08 修改过]
[本贴已被 jiajie 于 2010-8-22 8:00:49 修改过]
作者: 杀毒软件 时间: 2009-1-5 20:05
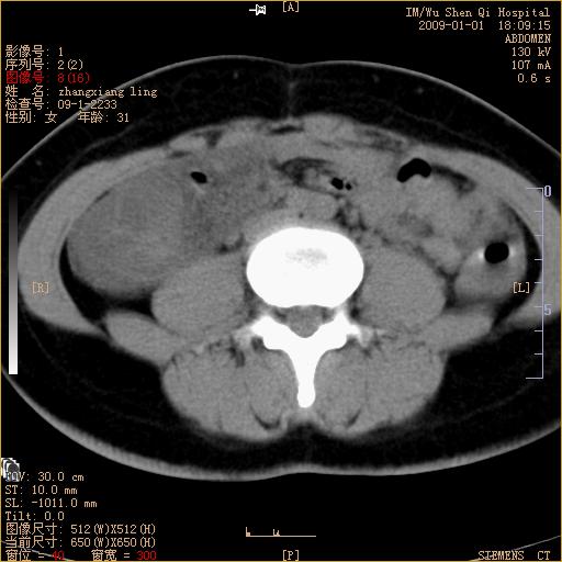
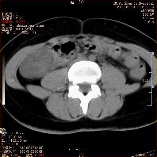
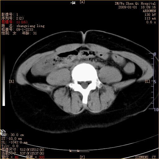
考虑----升结肠占位病变可能-----建议---肠镜
作者: frzh 时间: 2009-1-5 20:19
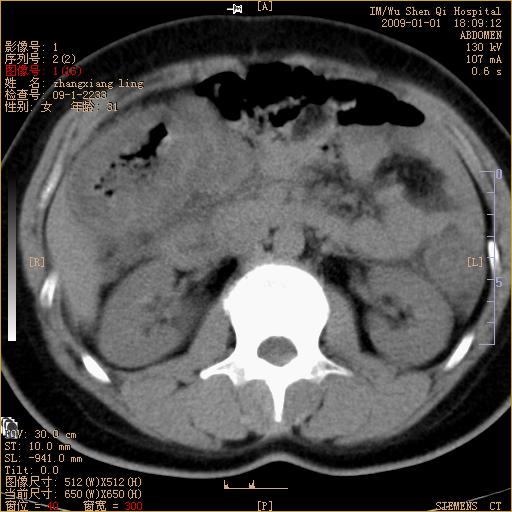
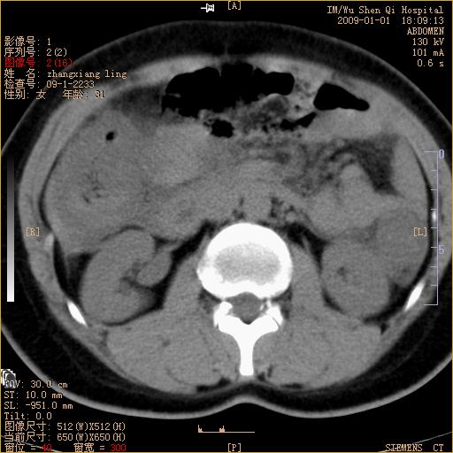
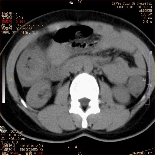
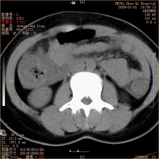
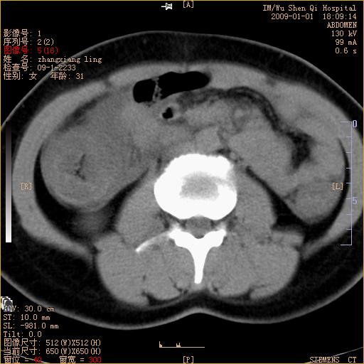
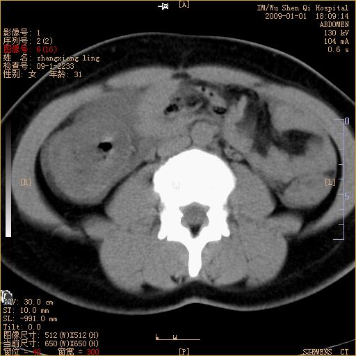
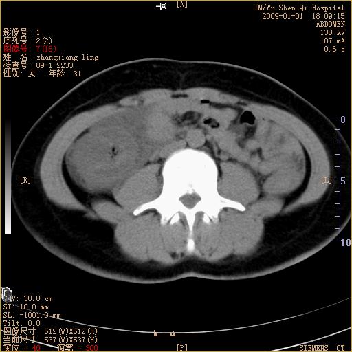
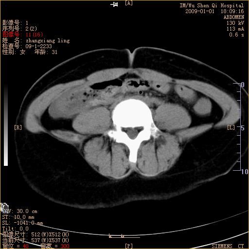
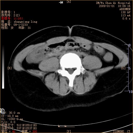
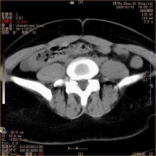
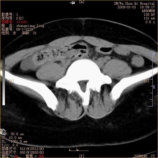
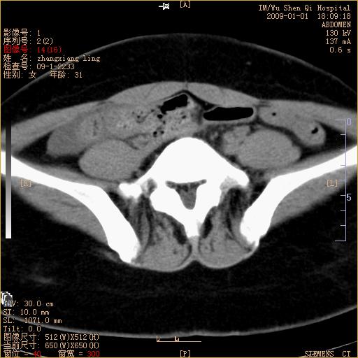
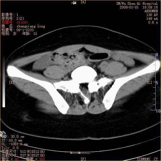
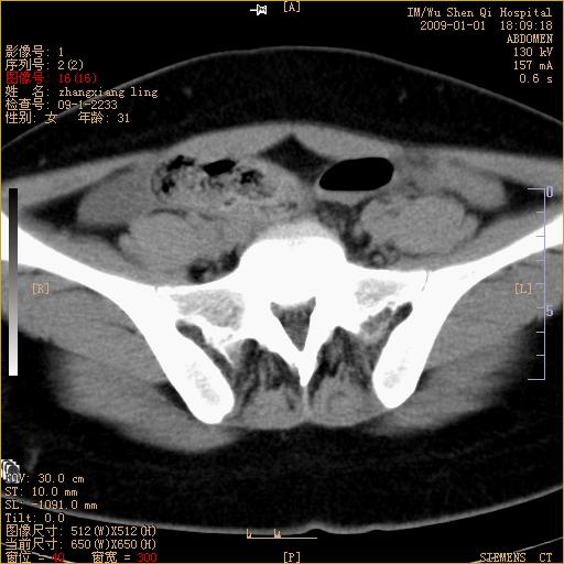
升结肠肠壁不规则增厚,肠腔狭窄,考虑升结肠占位,建议增强扫描
作者: zsl6918 时间: 2009-1-5 20:20
结肠占位,癌可能性大,不除外其他少见的炎性改变.
作者: zjzjr 时间: 2009-1-5 20:26
升结肠肠壁不规则增厚,肠腔狭窄,考虑升结肠占位,建议增强扫描,不除外肠套叠.
作者: jiangjing 时间: 2009-1-5 20:49
升结肠肠壁不规则增厚,肠腔狭窄,考虑升结肠占位,建议增强扫描,不除外肠套叠.
作者: 影像小胖 时间: 2009-1-5 22:27
考虑结肠癌
作者: 随缘的人 时间: 2009-1-5 23:03
升结肠肠壁不规则增厚,肠腔狭窄,考虑升结肠占位,建议增强扫描 或结肠镜检查
作者: LIAOQIANG 时间: 2009-1-5 23:10
升结肠肠壁不规则增厚,似呈同心圆改变,其有积液。结合病史首先考虑肠套叠伴肠壁坏死可能性大,结肠肿瘤待排。
作者: 卜一 时间: 2009-1-5 23:25
升结肠肠壁不规则增厚,似呈同心圆改变,其有积液。结合病史首先考虑肠套叠伴肠壁坏死可能性大,结肠肿瘤待排。支持!(发病急,无过去史,应首先考虑:肠套叠)
作者: 随光逐影 时间: 2009-1-5 23:54
考虑升结肠肿瘤(结肠癌?)并周围积液。
作者: 边生丽 时间: 2009-1-6 01:10
患者已手术,结果肠系膜血栓形成肠坏死
作者: guanaishengming 时间: 2009-1-6 01:52
升结肠肠壁不规则增厚,肠腔狭窄,考虑升结肠占位,建议增强扫描,不除外肠套叠
作者: 宇宙CT 时间: 2009-1-6 02:07
升结肠肠壁不规则增厚,肠腔狭窄,考虑升结肠占位,建议增强扫描,不除外肠套叠
作者: jw-830 时间: 2009-1-6 02:15
升结肠肠壁不规则增厚,肠腔狭窄,考虑升结肠占位,建议增强扫描,不除外肠套叠.
作者: 泪洒红尘 时间: 2009-1-6 03:53
又上一课
作者: 黑白光影 时间: 2009-1-6 04:33
标题: >
患者已手术,结果肠系膜血栓形成肠坏死。
以下是引用泪洒红尘在2009-1-5 19:53:00的发言:[br]又上一课
作者: xulianj 时间: 2009-1-6 04:52
升结肠肠壁不规则增厚,肠腔狭窄,考虑升结肠癌。
作者: 987654zwf 时间: 2009-1-6 05:56
又上一课
作者: dsl555 时间: 2009-1-6 06:10
升结肠肠壁不规则增厚,肠腔狭窄,考虑升结肠占位,建议增强扫描,不除外肠套
作者: zyyzzy 时间: 2009-1-6 06:18
结合病史并看到升结肠增粗及局限的腹腔积液,考虑肠套叠伴肠壁坏死可能性大
作者: pujunzhi 时间: 2010-8-24 03:08
标题: 回复:ct17527:f31y,腹痛伴血便9小时
以下是引用边生丽在2009-1-5 17:10:00的发言:[br]患者已手术,结果肠系膜血栓形成肠坏死
学习了!
作者: 拾荒者 时间: 2010-8-24 05:57
结果:患者已手术,结果肠系膜血栓形成肠坏死。回过头再看局部肠壁增厚有分层(高密度坏死及低密度水肿)表现。
作者: 37度 时间: 2010-8-24 08:14
标题: 回复:ct17527:f31y,腹痛伴血便9小时
以下是引用拾荒者在2010-8-23 21:57:00的发言:[br]结果:患者已手术,结果肠系膜血栓形成肠坏死。回过头再看局部肠壁增厚有分层(高密度坏死及低密度水肿)表现。
作者: 随光逐影 时间: 2010-8-24 09:53
以下是引用边生丽在2009-1-5 17:10:00的发言:
患者已手术,结果肠系膜血栓形成肠坏死。
——感谢楼主反馈结果,学习了。
作者: yuhongjun 时间: 2010-8-25 04:51
——感谢楼主反馈结果,学习了。
| 欢迎光临 医影在线 (http://bbs.radida.com/bbs/) |
Powered by Discuz! X3.2 |