医影在线

标题: CT17529:男 76 胸背部不适半月 胸透支气管炎 行CT检查 [打印本页]

作者: 不学无术    时间: 2009-1-5 21:06
标题: CT17529:男 76 胸背部不适半月 胸透支气管炎 行CT检查
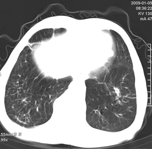
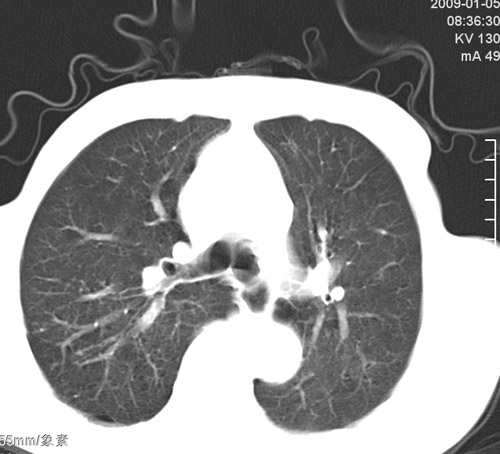
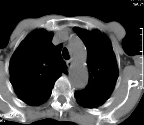
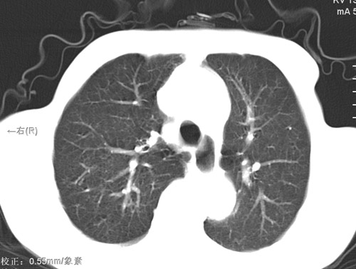
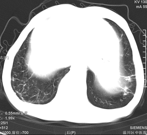
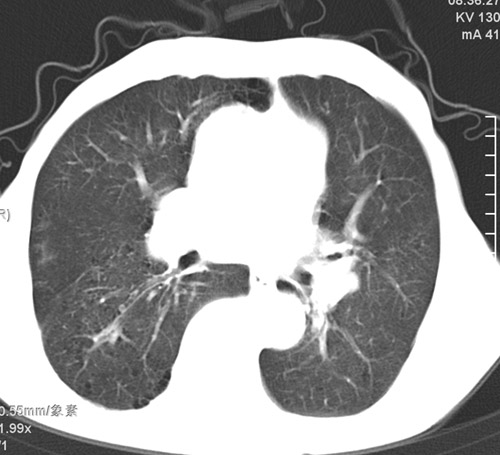
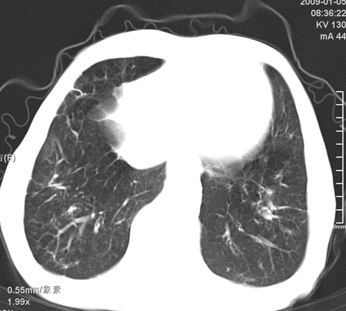
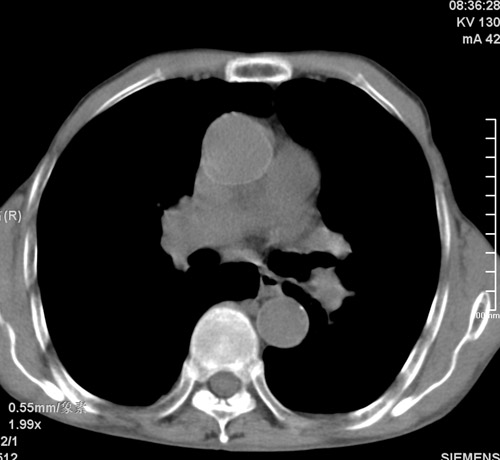
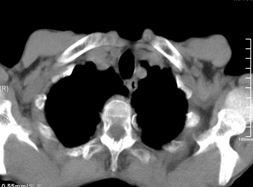
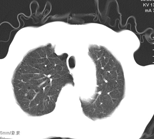
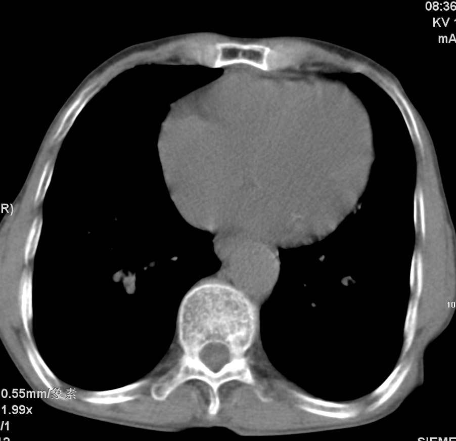
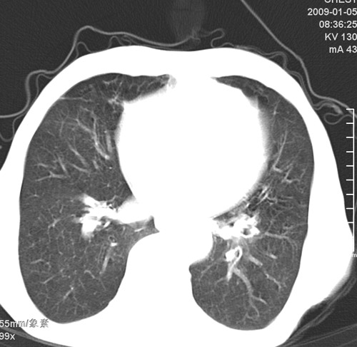
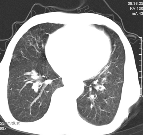
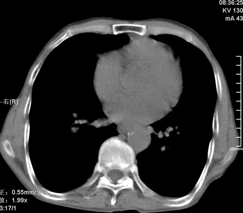
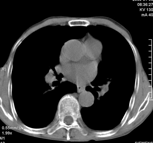
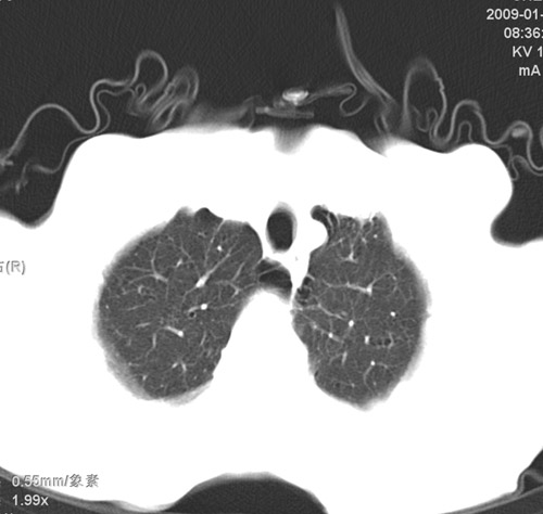
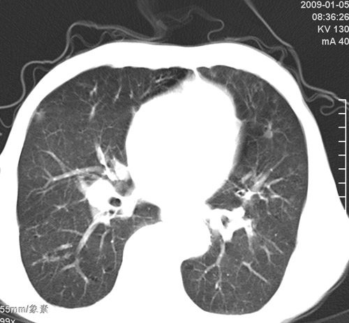
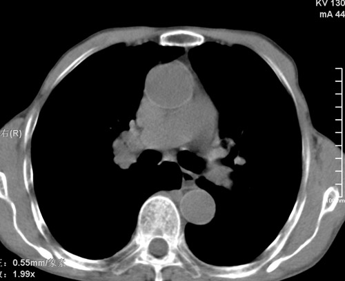
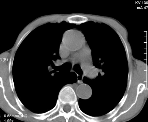
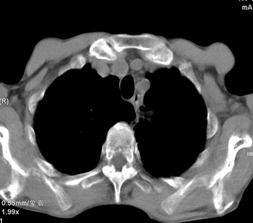
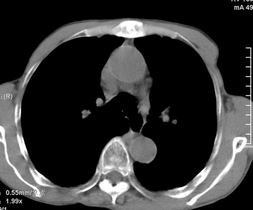
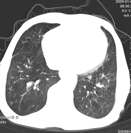
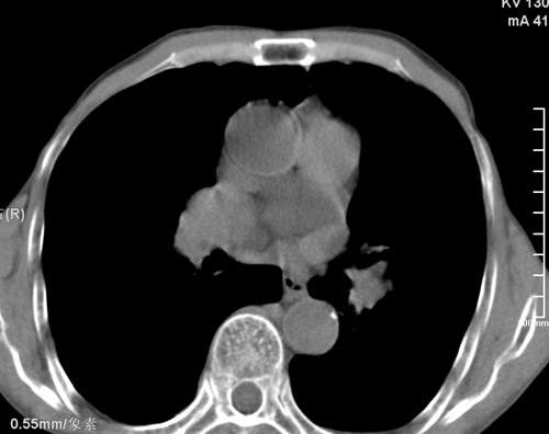
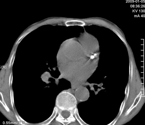
意见 老年肺 少许炎症 肺大泡 右肺门略大 但支气管通畅  请各位高手指教如何下意见






























[本贴已被 jiajie 于 2009-1-5 18:40:39 修改过]

作者: 子十    时间: 2009-1-5 21:24
支持楼主意见
作者: 卜一    时间: 2009-1-5 23:20
间质纤维化伴少许炎症!另:肺大泡形成!
作者: zjzjr    时间: 2009-1-5 23:24
支持楼主意见,右肺门略大,可能为肺动脉增粗.
作者: 杀毒软件    时间: 2009-1-5 23:38
标题: 回复:男 76 胸背部不适半月 胸透支气管炎 行ct检查
以下是引用zjzjr在2009-1-5 15:24:00的发言:[br]支持楼主意见,右肺门略大,可能为肺动脉增粗.

支持
作者: 随光逐影    时间: 2009-1-5 23:56
标题: 回复:男 76 胸背部不适半月 胸透支气管炎 行ct检查
以下是引用zjzjr在2009-1-5 15:24:00的发言:[br]支持楼主意见,右肺门略大,可能为肺动脉增粗.

作者: zsl6918    时间: 2009-1-6 00:06
慢支肺气肿,肺动脉高压.
作者: guanaishengming    时间: 2009-1-6 01:49
怎么没上传标绘象
作者: 宇宙CT    时间: 2009-1-6 02:13
支持楼主意见,右肺门略大,可能为肺动脉增粗.
作者: xulianj    时间: 2009-1-6 04:24
支持楼主
作者: 黑白光影    时间: 2009-1-6 04:37
支持楼主意见,右肺门略大,可能为肺动脉增粗。
作者: dsl555    时间: 2009-1-6 06:02
支持楼主意见,右肺门略大,可能为肺动脉增粗。
作者: zyyzzy    时间: 2009-1-6 06:33
支持楼主意见,右肺门略大,可能为肺动脉增粗.




欢迎光临 医影在线 (http://bbs.radida.com/bbs/) Powered by Discuz! X3.2