医影在线
标题: CT17533:女 60岁 咳嗽 气促十余天 [打印本页]
作者: syfszcw 时间: 2009-1-6 00:46
标题: CT17533:女 60岁 咳嗽 气促十余天
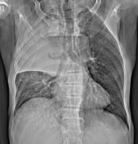
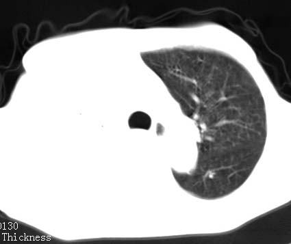
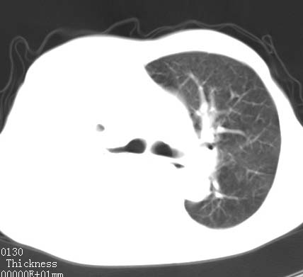
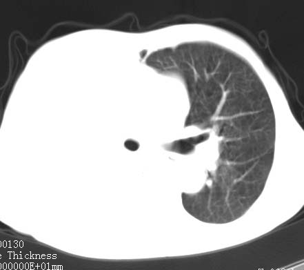
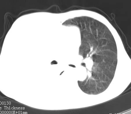
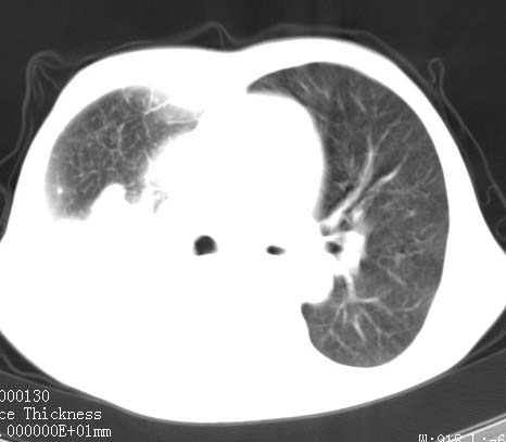
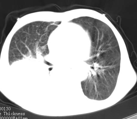
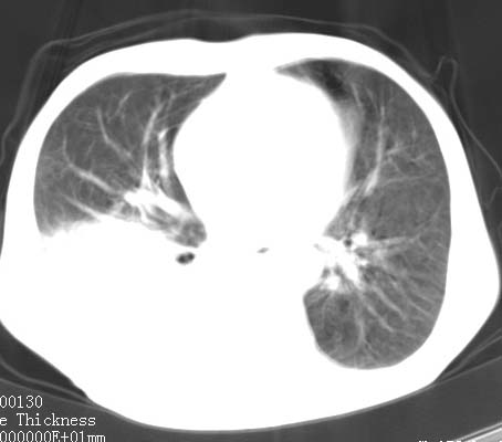
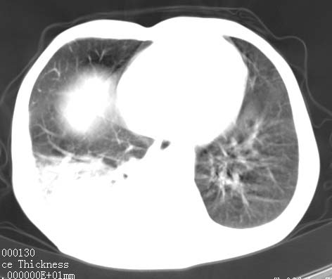
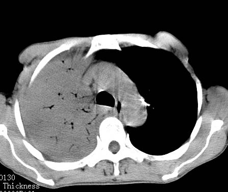
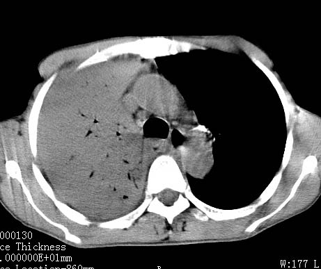
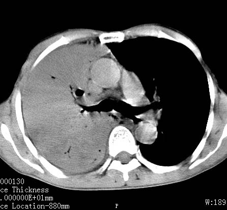
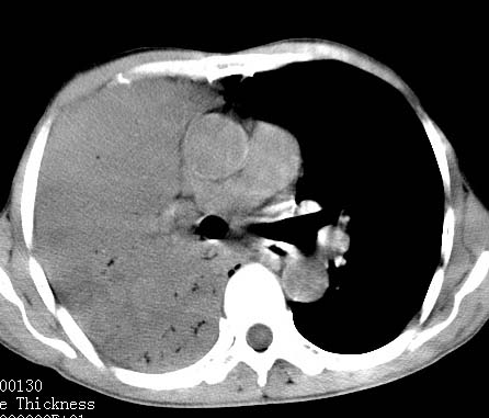
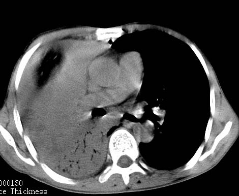
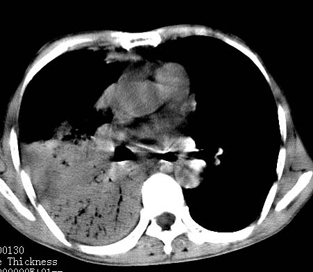
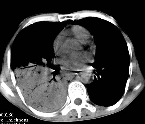
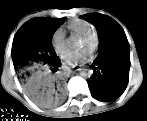
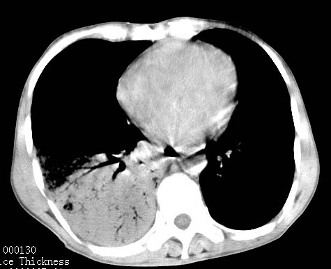
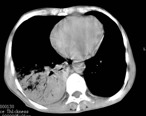
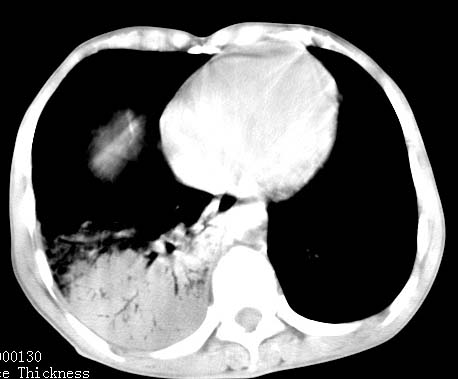
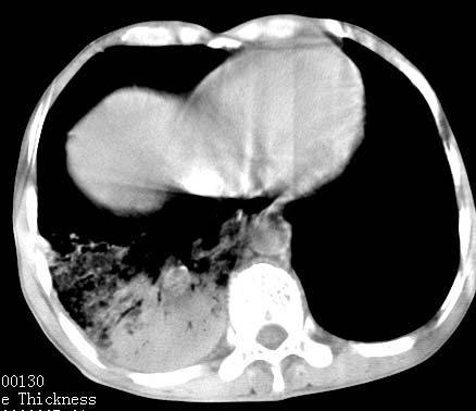
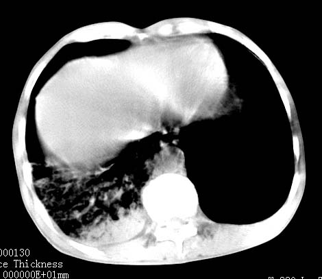
病人女 60岁 咳嗽 气促十余天,大叶性肺炎.








































[本贴已被 jiajie 于 2009-1-5 18:41:24 修改过]
[本贴已被 syfszcw 于 2009-1-5 22:37:32 修改过]
作者: baihualin 时间: 2009-1-6 00:59
大叶性肺炎!
作者: wangzhengyuan 时间: 2009-1-6 01:04
炎症!
作者: 杀毒软件 时间: 2009-1-6 01:20
支持楼主---抗炎后复查
作者: zsl6918 时间: 2009-1-6 01:38
现在的医疗条件如此明显的炎症实属罕见,抗炎治疗后复查吧.
作者: zyyzzy 时间: 2009-1-6 01:39
右肺上下叶均见 大片状密度增高影,边界清晰,其内可见支气管充气征,气管支气管通畅。纵膈略向右移位,其内无肿大淋巴结影。首先考虑炎性病变。不排除一些特异性的炎症。不知道发烧吗??wbc高吗??建议治疗后复查!!
作者: qingjing 时间: 2009-1-6 03:02
看影响还是首先考虑炎性改变,建议实验室检查,还有要警惕炎性肺泡癌,具有的枯枝征象。
作者: xulianj 时间: 2009-1-6 04:29
肺炎。抗炎治疗后复查。
作者: 同 时间: 2009-1-6 04:41
大叶性肺炎,建议抗炎复查。
作者: 卜一 时间: 2009-1-6 04:42
支持楼主---抗炎后复查
作者: 黑白光影 时间: 2009-1-6 04:56
如此典型,现在难得一见。
作者: 随光逐影 时间: 2009-1-6 05:04
右肺感染性病变(大叶性肺炎可能);建议抗炎治疗后复查。
作者: huangyinshan 时间: 2009-1-6 05:07
看影像还是首先考虑炎性改变,建议实验室检查,还有要警惕炎性肺泡癌,具有的枯枝征象
作者: 宇宙CT 时间: 2009-1-6 05:21
大叶性肺炎,建议抗炎复查。
作者: 987654zwf 时间: 2009-1-6 05:47
现在的医疗条件如此明显的炎症实属罕见,抗炎治疗后复查吧.
作者: dsl555 时间: 2009-1-6 05:50
支持楼主---抗炎后复查
作者: dyqCT 时间: 2009-1-6 05:53
典型的大叶性肺炎!
作者: chmh 时间: 2009-1-6 06:04
考虑大叶性肺炎,建议抗炎治疗后复查.
作者: adams 时间: 2009-1-6 06:17
抗炎治疗后再进行复查以确定.
作者: jzhang21 时间: 2009-1-6 07:00
标题: 回复:ct17533:女 60岁 咳嗽 气促十余天
以下是引用zyyzzy在2009-1-5 17:39:00的发言:[br]右肺上下叶均见 大片状密度增高影,边界清晰,其内可见支气管充气征,气管支气管通畅。纵膈略向右移位,其内无肿大淋巴结影。首先考虑炎性病变。不排除一些特异性的炎症。不知道发烧吗??wbc高吗??建议治疗后复查!!
同意
作者: 影像孺子牛 时间: 2009-1-6 07:04
支持楼主诊断,如此典型病例实属少见。
作者: qc80012345 时间: 2009-1-6 14:46
抗炎治疗后复查。
| 欢迎光临 医影在线 (http://bbs.radida.com/bbs/) |
Powered by Discuz! X3.2 |