医影在线

标题: CT17540:男 56岁 . [打印本页]

作者: syfszcw    时间: 2009-1-6 06:33
标题: CT17540:男 56岁 .
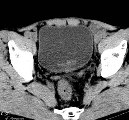
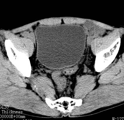
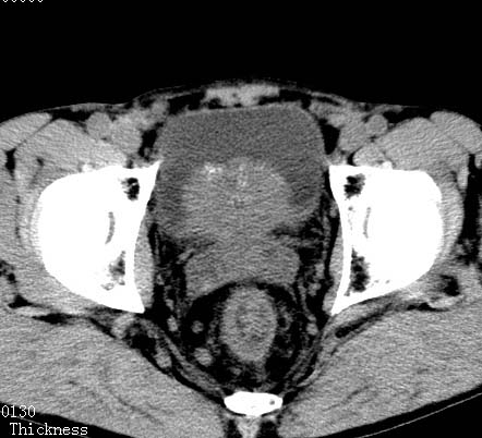
病人男 56岁 .















[本贴已被 jiajie 于 2009-1-6 6:49:27 修改过]

作者: 联众之王    时间: 2009-1-6 07:48
前列腺增生,膀胱后壁未见异常,精囊腺及精囊三角未见异常
作者: 卜一    时间: 2009-1-6 12:50
前列腺增生 硬化!
作者: qc80012345    时间: 2009-1-6 14:38
前列腺增生 钙化!
作者: 随光逐影    时间: 2009-1-6 16:23
支持 前列腺增生、钙化。
作者: 战神金刚    时间: 2009-1-6 16:36
标题: 回复:ct17540:男 56岁 .
以下是引用随光逐影在2009-1-6 8:23:00的发言:[br]支持 前列腺增生、钙化。

作者: 前行    时间: 2009-1-6 16:45
建议进一步检查除外前列腺癌.
作者: 杀毒软件    时间: 2009-1-6 16:46
支持 前列腺增生、钙化
作者: 黑白光影    时间: 2009-1-6 17:11
支持 前列腺增生、钙化。
作者: muzi888    时间: 2009-1-6 17:22
支持 前列腺增生、钙化
作者: 深泽交通    时间: 2009-1-6 17:30
考虑慢性前列腺,精囊炎;不除外前列腺癌
作者: zjb    时间: 2009-1-6 17:32
前列腺增生 硬化!
作者: LIAOQIANG    时间: 2009-1-6 18:13
考虑前列腺增生、钙化。
作者: 中国人    时间: 2009-1-6 19:10
前列腺增生并钙化,可疑直肠占位
作者: scdlc2008    时间: 2009-1-6 19:41
考虑前列腺增生、钙化。
作者: zsl6918    时间: 2009-1-6 19:52
标题: 回复:ct17540:男 56岁 .
以下是引用前行在2009-1-6 8:45:00的发言:[br]建议进一步检查除外前列腺癌.

作者: qingjing    时间: 2009-1-6 20:04
前列腺癌.
作者: dsl555    时间: 2009-1-7 02:32
支持 前列腺增生、钙化。
作者: xulianj    时间: 2009-1-7 04:34
前列腺增生症
作者: ymnn    时间: 2009-1-7 06:00
支持 前列腺增生、钙化。




欢迎光临 医影在线 (http://bbs.radida.com/bbs/) Powered by Discuz! X3.2