医影在线

标题: CT17563:m65y,干咳5年,加重月余。(结果公布在24楼) [打印本页]

作者: jzhang21    时间: 2009-1-7 03:35
标题: CT17563:m65y,干咳5年,加重月余。(结果公布在24楼)
(结果公布:http://www.radida.com/bbs/forum.php?mod=viewthread&tid=69890
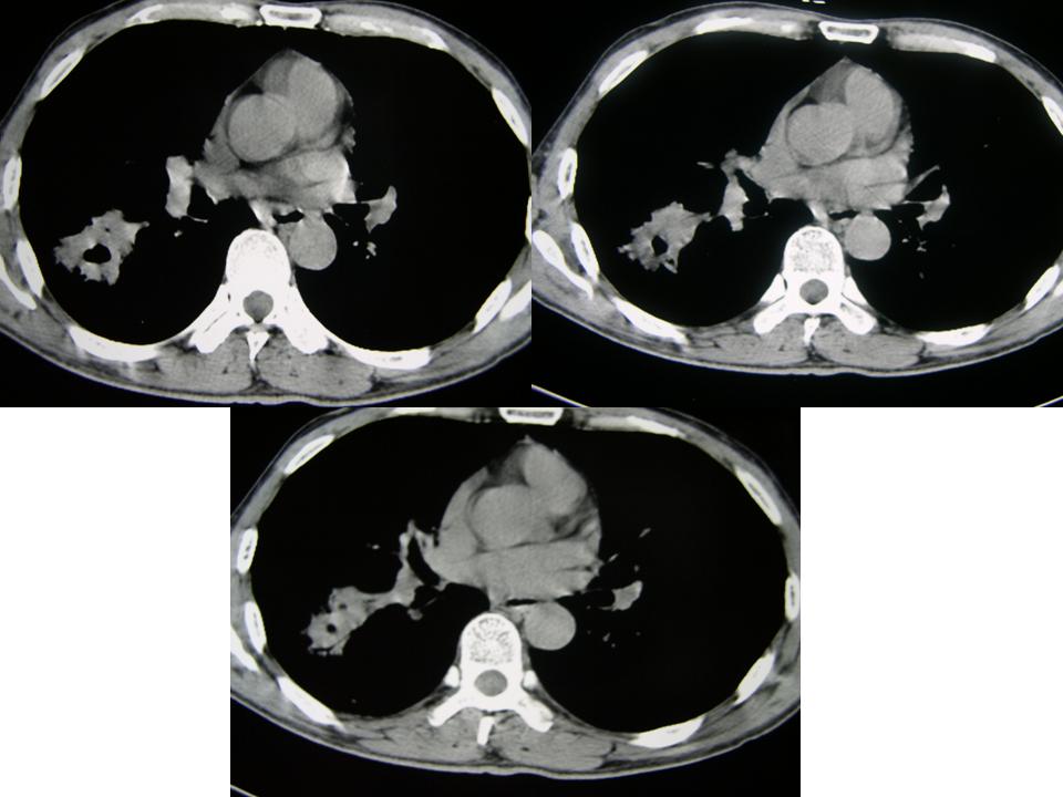
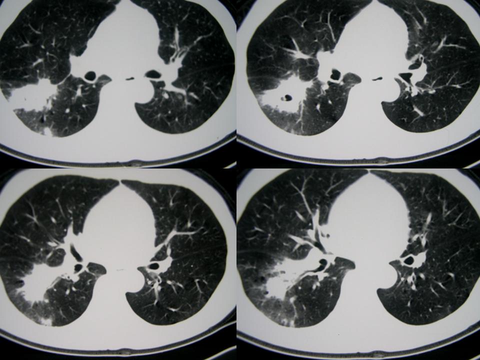
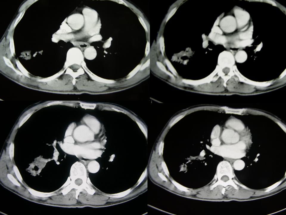
男性,65岁。主诉:干咳5年,加重月余。5年中多次发作,每次持续时间长短不一,静脉滴注缓解;近月余加重,用药效果差。晨起加重,痰少,无发热,无血丝






[本贴已被 jiajie 于 2010-8-22 8:14:49 修改过]

作者: jzhang21    时间: 2009-1-7 03:41
标题: 回复:干咳5年,加重月余。(有结果)
原ct报告
作者: zsl6918    时间: 2009-1-7 03:43
典型的肺癌表现,腺癌可能性大
作者: hnyzdjb    时间: 2009-1-7 03:47
肉芽肿改变
作者: xulianj    时间: 2009-1-7 04:45
肺癌可能性大
作者: 卜一    时间: 2009-1-7 05:05
右肺下叶实质性肿块,边缘毛刺,内见偏心空洞。支持:周围性肺癌!
作者: zhengjq76    时间: 2009-1-7 05:11
应该是肺癌
作者: CT-LU    时间: 2009-1-7 05:27
1、慢性支气管炎并肺气肿;
2、右下肺叶团片状影,见空泡征、分叶征、毛刺征及偏心性空洞,符合肺癌(腺癌可能性大)
作者: woyaokaoyan    时间: 2009-1-7 05:49
应该是周围型肺癌!!!!浸润多个细支气管!
作者: liaizhi    时间: 2009-1-7 05:55
考虑肺癌可能性大。
作者: dengkai    时间: 2009-1-7 06:10
右肺下叶实质性肿块,边缘毛刺,内见偏心空洞。支持:周围性肺癌!
作者: 杀毒软件    时间: 2009-1-7 06:25
考虑肺癌可能性大
作者: adams    时间: 2009-1-7 06:55
肺癌可能性高
作者: dyqCT    时间: 2009-1-7 07:15
支持左肺下叶周围型肺癌。
作者: zyyzzy    时间: 2009-1-7 07:19
肺癌可能性大。病史这么长,中间没做过检查吗??
作者: 悟空    时间: 2009-1-7 07:52
肺mt,特殊感染不除外。
作者: kaisar    时间: 2009-1-7 08:34
肺癌
作者: LIAOQIANG    时间: 2009-1-7 17:36
右下肺片团影,考虑肺癌可能性,不除外感染.建议活检或抗炎后复查.
作者: 深泽交通    时间: 2009-1-7 17:53
标题: 回复:ct17563:m65y,干咳5年,加重月余。(有结果)
以下是引用xulianj在2009-1-6 20:45:00的发言:[br]肺癌可能性大

作者: zjzjr    时间: 2009-1-7 18:14
右肺下叶实质性肿块,边缘毛刺,内见偏心空洞。支持:周围性肺癌!
作者: 随光逐影    时间: 2009-1-7 19:19
考虑右肺下叶周围型肺癌(癌性空洞形成)并阻塞性肺炎。
作者: dsl555    时间: 2009-1-8 03:00
考虑右肺下叶周围型肺癌(癌性空洞形成)并阻塞性肺炎。
作者: 黑白光影    时间: 2009-1-8 05:51
考虑右肺下叶周围型肺癌(癌性空洞形成)并阻塞性肺炎。
作者: jzhang21    时间: 2009-12-6 07:38
标题: 回复:ct17563:m65y,干咳5年,加重月余。
病理结果:

作者: pujunzhi    时间: 2010-8-24 02:03
谢楼主反馈病理结果(右肺下叶炎性病变伴小脓肿形成)。
作者: 拾荒者    时间: 2010-8-24 05:50
感谢楼主反馈结果--同病异影。但看影像应该是肺癌不能排除。
作者: 37度    时间: 2010-8-24 08:17
标题: 回复:ct17563:m65y,干咳5年,加重月余。(结果公布在24楼)
以下是引用拾荒者在2010-8-23 21:50:00的发言:[br]感谢楼主反馈结果--同病异影。但看影像应该是肺癌不能排除。

作者: 随光逐影    时间: 2010-8-24 09:45
感谢楼主反馈病理结果,学习了。
作者: yuhongjun    时间: 2010-8-25 04:59
感谢楼主反馈病理结果,学习了。




欢迎光临 医影在线 (http://bbs.radida.com/bbs/) Powered by Discuz! X3.2