医影在线
标题: CT17675:F53y,急!占位性病变? [打印本页]
作者: lczeng    时间: 2009-1-12 23:11
标题: CT17675:F53y,急!占位性病变?
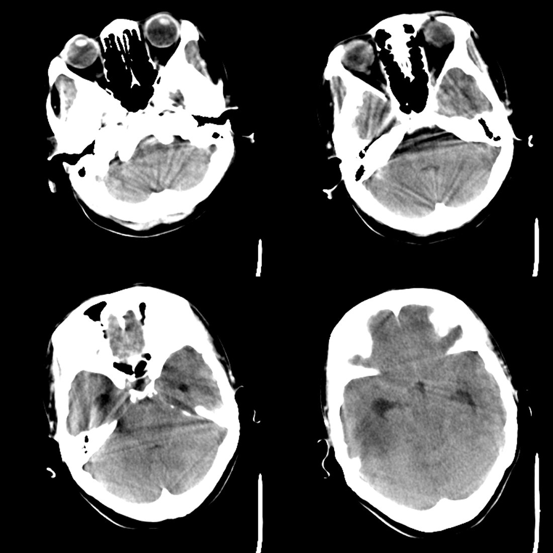
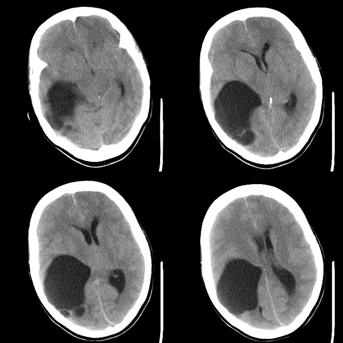
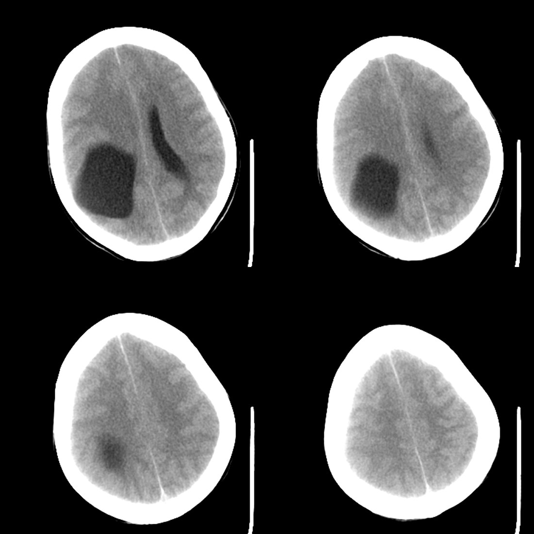
53岁女性,反复头痛,病史较长,今日加重数小时就诊。暂未作增强。



[本贴已被 jiajie 于 2009-1-12 16:12:27 修改过]
作者: jzhang21    时间: 2009-1-13 00:20
标题: f53y,急!占位性病变?
考虑顺序:神经上皮囊肿>表皮样囊肿>囊变室管膜瘤>包虫病>转移瘤,建议mri检查。
[本贴已被 jzhang21 于 2009-1-12 16:26:27 修改过]
作者: 卜一    时间: 2009-1-13 00:26
占位效应明显,支持:占位!首选:脑室内蛛网膜囊肿!
作者: 随光逐影    时间: 2009-1-13 00:28
1)考虑蛛网膜下腔出血。2)右侧幕上半球相当于右侧侧脑室三角区区域巨大囊性占位性病变;考虑蛛网膜囊肿,不排除囊性胶质瘤。3)脑积水。4)大脑镰下疝。
建议:必要时行mri检查。
作者: 沉默是金    时间: 2009-1-13 00:34
考虑为胶质瘤
作者: ydx_74    时间: 2009-1-13 00:34
右颞顶叶巨大胆脂瘤?
作者: scdlc2008    时间: 2009-1-13 00:35
脑室内蛛网膜囊肿!
作者: ymnn    时间: 2009-1-13 02:18
脑室内蛛网膜囊肿!
作者: 同    时间: 2009-1-13 03:14
考虑囊性胶质瘤。
作者: 黑白光影    时间: 2009-1-13 04:29
标题: 。
以下是引用随光逐影在2009-1-12 16:28:00的发言:[br]1)考虑蛛网膜下腔出血。2)右侧幕上半球相当于右侧侧脑室三角区区域巨大囊性占位性病变;考虑蛛网膜囊肿,不排除囊性胶质瘤。3)脑积水。4)大脑镰下疝。[br][br]建议:必要时行mri检查。
作者: 杀毒软件    时间: 2009-1-13 05:03
标题: 回复:ct17675:f53y,急!占位性病变?
以下是引用卜一在2009-1-12 16:26:00的发言:[br]占位效应明显,支持:占位!首选:脑室内蛛网膜囊肿!
支持
作者: dsl555    时间: 2009-1-13 06:09
占位效应明显,支持:占位!首选:脑室内蛛网膜囊肿!支持
作者: 影像之路    时间: 2009-1-13 06:26
考虑顺序:神经上皮囊肿>表皮样囊肿>囊变室管膜瘤>,建议mri检查。
作者: heijin23    时间: 2009-1-13 07:19
标题: 回复:ct17675:f53y,急!占位性病变?
以下是引用卜一在2009-1-12 16:26:00的发言:[br]占位效应明显,支持:占位!首选:脑室内蛛网膜囊肿!
作者: dengkai    时间: 2009-1-13 07:42
蛛网膜囊肿!
作者: 子十    时间: 2009-1-13 11:54
标题: 回复:ct17675:f53y,急!占位性病变?
以下是引用卜一在2009-1-12 16:26:00的发言:[br]占位效应明显,支持:占位!首选:脑室内蛛网膜囊肿!
作者: zyyzzy    时间: 2009-1-13 12:02
考虑蛛网膜囊肿,右侧侧脑室后角及三角区受压变小,中线向左移位。病变与脑室不相通。没有脑积水!!
作者: leyucen    时间: 2009-1-27 03:14
标题: 回复:ct17675:f53y,急!占位性病变?
以下是引用黑白光影在2009-1-12 20:29:00的发言:[br][quote]以下是引用随光逐影在2009-1-12 16:28:00的发言:[br]1)考虑蛛网膜下腔出血。2)右侧幕上半球相当于右侧侧脑室三角区区域巨大囊性占位性病变;考虑蛛网膜囊肿,不排除囊性胶质瘤。3)脑积水。4)大脑镰下疝。[br][br]建议:必要时行mri检查。
 [br][/quote]
| 欢迎光临 医影在线 (http://bbs.radida.com/bbs/) | 
Powered by Discuz! X3.2 |