医影在线
标题: CT17693:各位老师帮忙看个CT片 [打印本页]
作者: panmingdong 时间: 2009-1-14 03:47
标题: CT17693:各位老师帮忙看个CT片
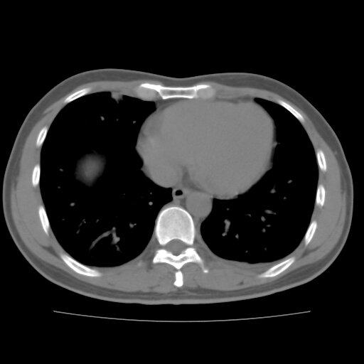
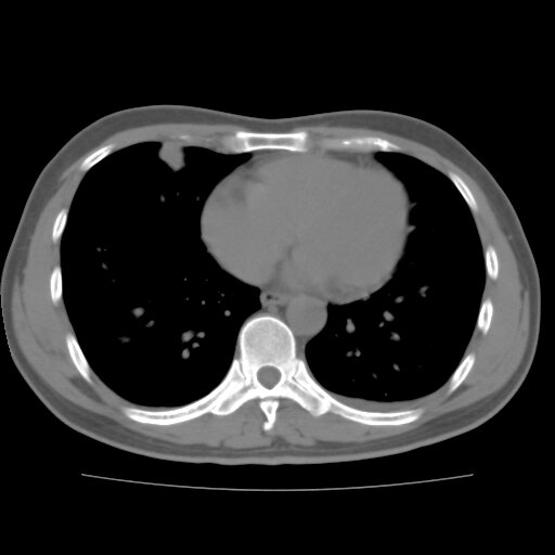
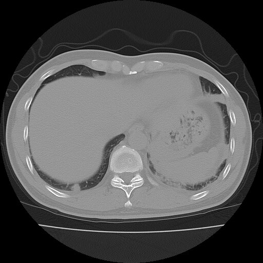
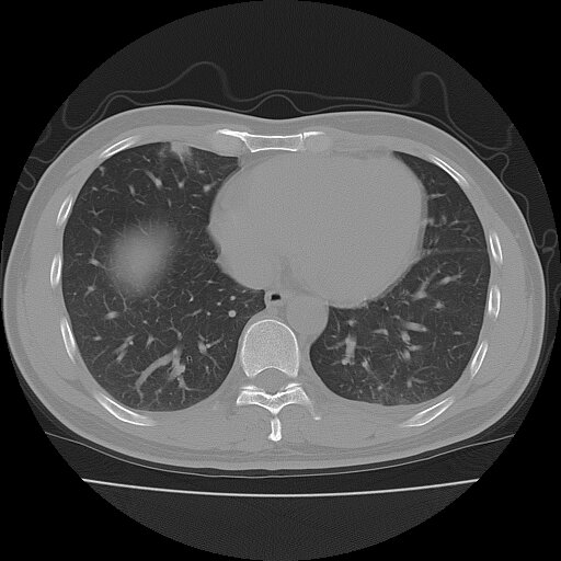
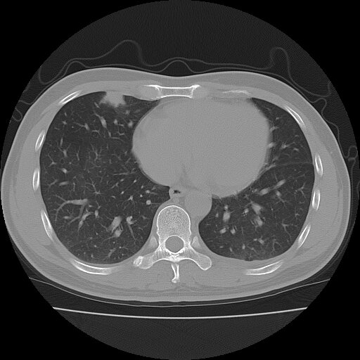
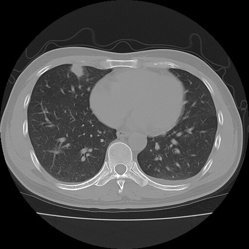
左侧胸痛,无其他病史








[本贴已被 panmingdong 于 2009-1-13 19:49:10 修改过]
[本贴已被 jiajie 于 2009-1-13 20:08:43 修改过]
作者: zsl6918 时间: 2009-1-14 03:49
图像呢?
作者: panmingdong 时间: 2009-1-14 03:50
第一次发帖子,呵呵,见笑了
作者: jzhang21 时间: 2009-1-14 04:36
炎性假瘤
作者: xulianj 时间: 2009-1-14 05:32
请将资料传完整
作者: zsl6918 时间: 2009-1-14 05:39
考虑肺内炎性肉芽肿,少量胸水。
作者: baogan 时间: 2009-1-14 06:39
请上传完图片
作者: dengkai 时间: 2009-1-14 07:27
请上传完整图片!多试试!
作者: SOS.LA 时间: 2009-1-14 15:20
转移瘤
作者: 随光逐影 时间: 2009-1-14 16:19
考虑两肺感染性病变;建议抗炎治疗后复查。
作者: 余辉 时间: 2009-1-14 16:35
暂考虑两肺感染性病变,左侧少量胸水;建议抗炎治疗后复查
作者: 葫芦岛 时间: 2009-1-14 16:51
首先考虑双肺感染性病变,左侧少量胸水,见过类似病例,抗炎后都吸收了
作者: 卜一 时间: 2009-1-14 17:05
右侧胸膜下多发小结节——支持考虑:炎性假瘤!
作者: 深泽交通 时间: 2009-1-14 18:00
标题: 回复:ct17693:各位老师帮忙看个ct片
以下是引用zsl6918在2009-1-13 21:39:00的发言:[br]考虑肺内炎性肉芽肿,少量胸水。
警惕转移灶
作者: 杀毒软件 时间: 2009-1-14 20:14
标题: 回复:ct17693:各位老师帮忙看个ct片
以下是引用随光逐影在2009-1-14 8:19:00的发言:[br]考虑两肺感染性病变;建议抗炎治疗后复查。
支持 少量胸水
作者: 宇宙CT 时间: 2009-1-14 23:11
右侧胸膜下多发小结节——支持考虑:炎性假瘤!
作者: leyucen 时间: 2009-1-27 03:15
标题: 回复:ct17693:各位老师帮忙看个ct片
以下是引用zsl6918在2009-1-13 21:39:00的发言:[br]考虑肺内炎性肉芽肿,少量胸水。
| 欢迎光临 医影在线 (http://bbs.radida.com/bbs/) |
Powered by Discuz! X3.2 |