医影在线
标题: CT17742:咳嗽,消瘦一月,有结果 [打印本页]
作者: 无间道 时间: 2009-1-17 07:16
标题: CT17742:咳嗽,消瘦一月,有结果
(结果公布:http://www.radida.com/bbs/forum.php?mod=viewthread&tid=69900)




















[code][/code]
[本贴已被 无间道 于 2009-1-16 23:24:16 修改过]
[本贴已被 jiajie 于 2009-1-17 6:27:33 修改过]
[本贴已被 jiajie 于 2010-8-22 9:08:10 修改过]
作者: 宇宙CT 时间: 2009-1-17 07:46
右侧胸腔积液,致右肺膨胀不全,双肺间质纤维化改变
作者: dengkai 时间: 2009-1-17 07:50
右侧胸腔积液,致右肺膨胀不全,双肺间质纤维化改变!建议抽液后化验!
作者: 随光逐影 时间: 2009-1-17 08:07
1)考虑两肺炎症感染;不排除肺泡癌可能。2)两肺间质纤维化。3)右侧胸腔积液。
作者: guanaishengming 时间: 2009-1-17 08:37
)考虑两肺炎症感染;不排除肺泡癌可能。2)两肺间质纤维化。3)右侧胸腔积液
作者: 杀毒软件 时间: 2009-1-17 16:18
不除外----转移性胸水
作者: 余辉 时间: 2009-1-17 16:23
右侧胸腔积液,右肺膨胀不全伴感染(不除外肺癌),双肺间质水肿
作者: 王仕学 时间: 2009-1-17 17:33
标题: 回复:ct17742:咳嗽,消瘦一月,有结果
以下是引用随光逐影在2009-1-17 0:07:00的发言:[br]1)考虑两肺炎症感染;不排除肺泡癌可能。2)两肺间质纤维化。3)右侧胸腔积液。
作者: muzi888 时间: 2009-1-17 18:53
)考虑两肺炎症感染;不排除肺泡癌,胸膜转移癌可能。2)两肺间质纤维化。3)右侧胸腔积液。
作者: 卜一 时间: 2009-1-17 19:06
以下是引用随光逐影在2009-1-17 0:07:00的发言:
1)考虑两肺炎症感染;不排除肺泡癌可能。2)两肺间质纤维化。3)右侧胸腔积液。
支持!
作者: zsl6918 时间: 2009-1-17 19:54
胸腔积液,性质难定,建议穿刺,结核可能.鉴别还有胸膜间皮瘤和转移瘤
作者: zhj961 时间: 2009-1-17 20:06
结核(干酪性肺炎、支气管内膜结核、结核性胸水、淋巴结肿大钙化)
作者: zbp537 时间: 2009-1-17 20:17
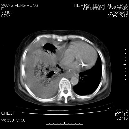
右肺大部实变,其内可见支气管影,但分支减少,宽窄不均,走行僵直,同侧胸腔大量积液;纵隔内见多发淋巴结影,但淋巴结大部有钙化;主动脉壁钙化;临床上病人咳嗽、消瘦。所以我考虑:1、结核(依据:右下肺实变,纵隔内淋巴结符合结核表现,同侧并发胸膜炎表现);2、支气管肺泡癌(依据:实变的肺组织内支气管分支减少,宽窄不均,走行僵直,没有把它放在第一诊断是因为没有看到明显肿大的淋巴结);3、动脉硬化(主动脉壁钙化就支持这个诊断)。
作者: huangyinshan 时间: 2009-1-17 21:52
1)考虑两肺炎症感染;不排除肺泡癌可能。2)两肺间质纤维化。3)右侧胸腔积液
作者: jinguoji 时间: 2009-1-18 20:29
标题: 回复:ct17742:咳嗽,消瘦一月,有结果
以下是引用随光逐影在2009-1-17 0:07:00的发言:[br]1)考虑两肺炎症感染;不排除肺泡癌可能。2)两肺间质纤维化。3)右侧胸腔积液。
作者: 黑白光影 时间: 2009-1-19 04:44
1)考虑两肺炎症感染;不排除肺癌可能。2)两肺间质纤维化。3)右侧胸腔积液
作者: 无间道 时间: 2009-1-20 08:20
病理结果,肺泡癌
作者: sdzyy 时间: 2010-8-24 01:36
谢楼主反馈。
作者: pujunzhi 时间: 2010-8-24 02:06
谢楼主反馈病理结果(肺泡癌),诊断较难,学习了!
作者: 拾荒者 时间: 2010-8-24 04:30
感谢楼主反馈结果--肺泡癌。只能说要想到肺泡癌可能,如13楼分析,该病例鉴别困难。
作者: shihai 时间: 2010-8-24 06:13
标题: 回复:ct17742:咳嗽,消瘦一月,有结果
[quote]以下是引用拾荒者在2010-8-23 20:30:00的发言:[br]感谢楼主反馈结果--肺泡癌。只能说要想到肺泡癌可能,如13楼分析,该病例鉴别困难。[/quot
支持!
作者: 37度 时间: 2010-8-24 07:46
quote]以下是引用拾荒者在2010-8-23 20:30:00的发言:
感谢楼主反馈结果--肺泡癌。只能说要想到肺泡癌可能,如13楼分析,该病例鉴别困难。[/quot
支持!
作者: yuhongjun 时间: 2010-8-25 14:05
结果收到,学习了。
| 欢迎光临 医影在线 (http://bbs.radida.com/bbs/) |
Powered by Discuz! X3.2 |