医影在线

标题: CT17731病理:淋巴管瘤 [打印本页]

作者: hhcckk    时间: 2009-1-18 16:49
标题: CT17731病理:淋巴管瘤
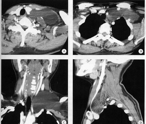
各位战友水平真高,病理结果是淋巴管瘤,此病例唯一不符合的是患者的年龄,淋巴管瘤多好发于小孩,术前虽然我们也考虑淋巴管瘤可能性大,但心里总还是有点怀疑,摘录书上的一例典型病例,大家共同复习一下




点击查看病例http://www.radida.com/bbs/forum.php?mod=viewthread&tid=48852

[本贴已被 hhcckk 于 2009-1-18 8:49:49 修改过]





欢迎光临 医影在线 (http://bbs.radida.com/bbs/) Powered by Discuz! X3.2