医影在线

标题: CT17755:女,74 左鼻旁肿胀半年,临床以左上颌窦旁占位行CT [打印本页]

作者: 不学无术    时间: 2009-1-18 18:04
标题: CT17755:女,74 左鼻旁肿胀半年,临床以左上颌窦旁占位行CT
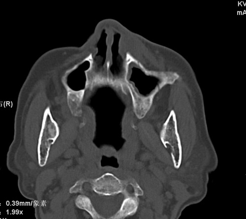
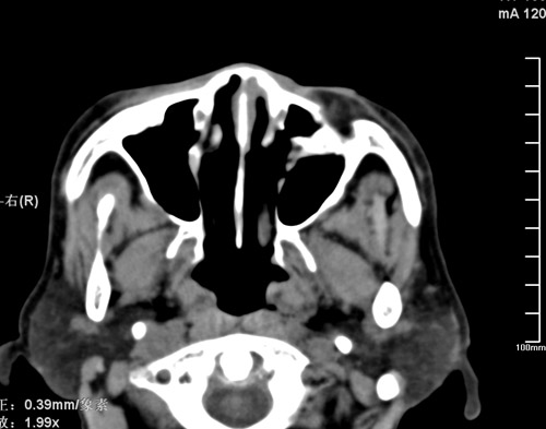
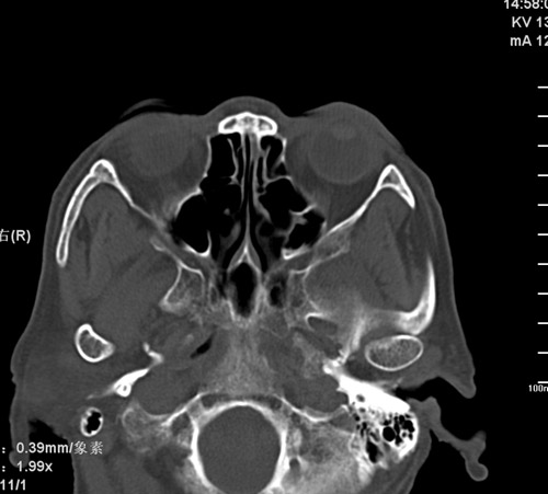
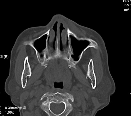
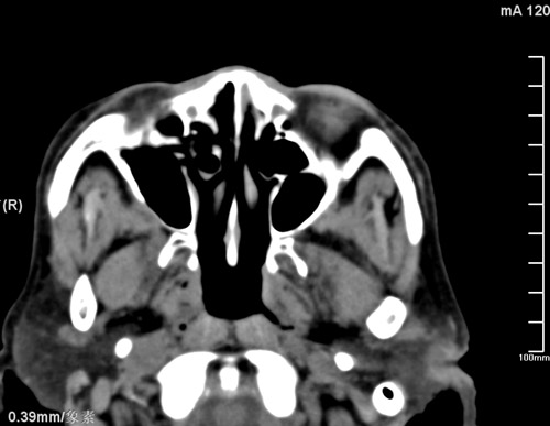
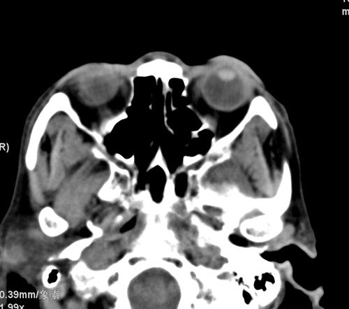
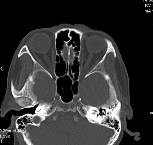
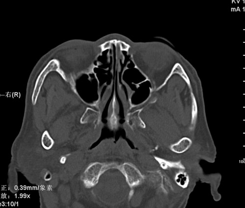
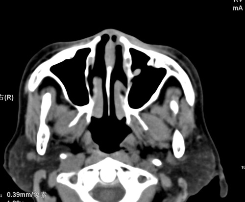
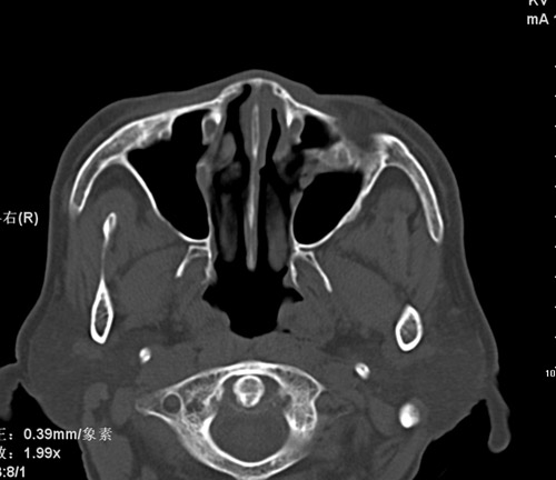
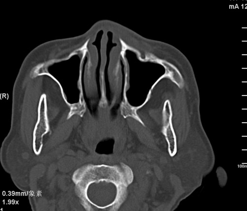
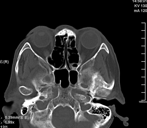
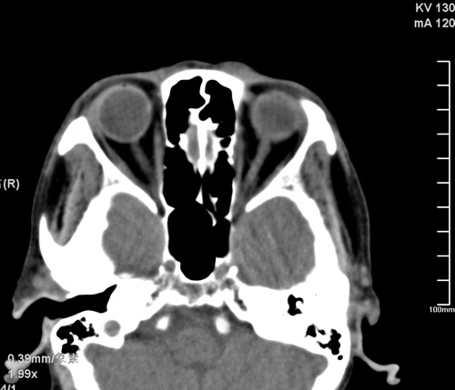
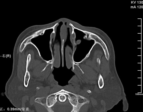
ct考虑鼻前庭囊肿 或鼻翼基底部慢性炎症,左上颌窦少许炎症 请指教

























[本贴已被 翁志蓬 于 2009-1-18 21:52:24 修改过]

作者: 杀毒软件    时间: 2009-1-18 18:19
支持楼主考虑
作者: 深泽交通    时间: 2009-1-18 18:23
实性肿物,考虑肿瘤性
作者: 姜晓辉    时间: 2009-1-18 18:39
鼻前庭囊肿可能性大,薄层就好了
作者: 流浪星    时间: 2009-1-18 18:48
考虑,鼻翼部慢性炎症。
作者: 余辉    时间: 2009-1-18 18:53
标题: 回复:女,74 左鼻旁肿胀半年,临床以左上颌窦旁占位行ct
以下是引用杀毒软件在2009-1-18 10:19:00的发言:[br]支持楼主考虑

作者: liuliu100    时间: 2009-1-18 21:23
能否穿刺一下。
作者: xulianj    时间: 2009-1-18 21:48
支持楼主诊断
作者: 沙漠骆驼    时间: 2009-1-18 22:18
支持:楼主考虑。
作者: 卜一    时间: 2009-1-18 23:11
以下是引用杀毒软件在2009-1-18 10:19:00的发言:
支持楼主考虑!!!
作者: 沉默是金    时间: 2009-1-18 23:13
皮样囊肿
作者: 随光逐影    时间: 2009-1-18 23:23
1)考虑左侧鼻前庭囊肿并感染。2)双侧上颌窦炎。
作者: jiangjing    时间: 2009-1-18 23:42
支持楼主诊断
作者: 王仕学    时间: 2009-1-19 00:05
支持楼主诊断
作者: dsl555    时间: 2009-1-19 01:50
支持:楼主考虑。
作者: zsl6918    时间: 2009-1-19 01:51
支持楼主诊断
作者: 黑白光影    时间: 2009-1-19 04:02
左侧鼻前庭囊肿并感染。双侧上颌窦炎。支持
作者: dengkai    时间: 2009-1-20 07:43
支持楼主诊断
作者: jinguoji    时间: 2009-2-9 01:34
支持楼主考虑。
作者: dr.yang    时间: 2012-5-29 23:47
1)考虑左侧鼻前庭囊肿并感染。2)双侧上颌窦炎。




欢迎光临 医影在线 (http://bbs.radida.com/bbs/) Powered by Discuz! X3.2