医影在线
标题: CT17758:胸部特殊病例!请会诊 [打印本页]
作者: wnlyq8688 时间: 2009-1-18 21:02
标题: CT17758:胸部特殊病例!请会诊
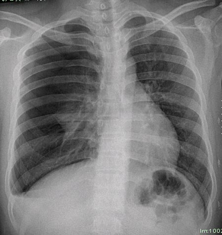
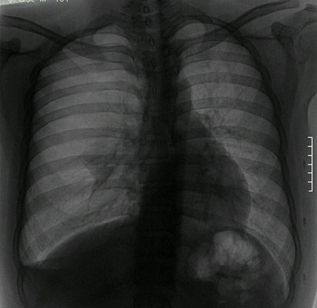
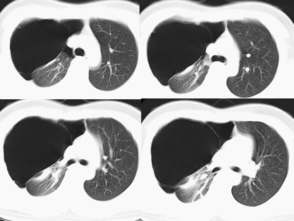
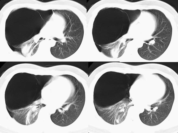
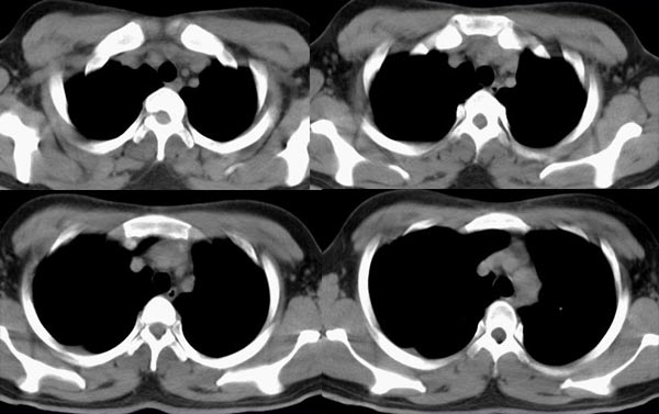
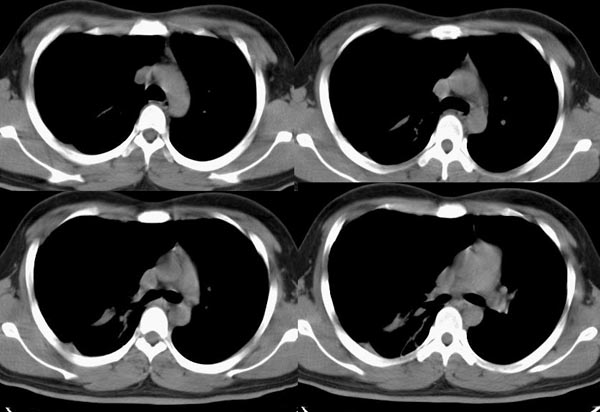
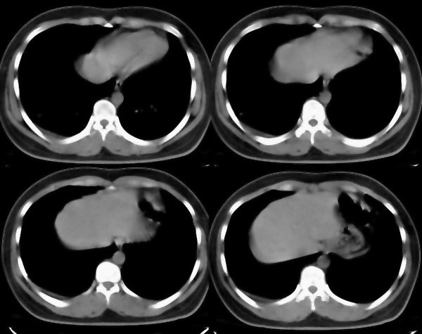
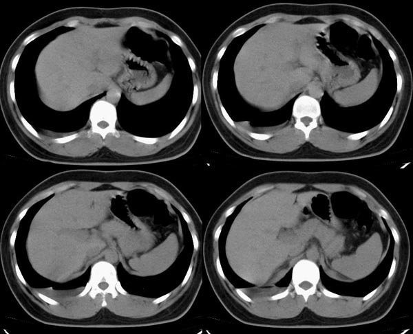
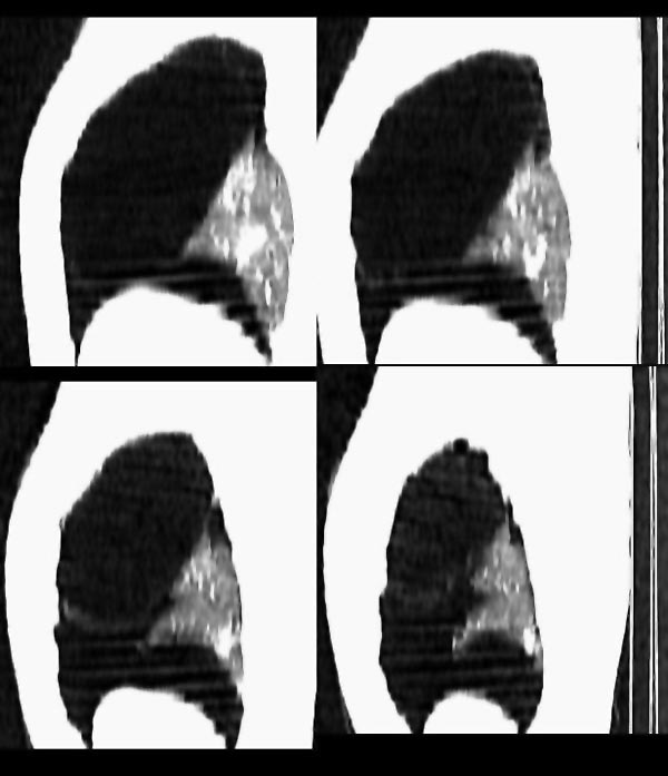
m21y既往体健,否认结核、支扩等病史;1周前患上感,无明显咳嗽,自觉无明显不适。单位体检透视时发现右侧液气胸!cr及ct如下(肺组织窗:l:-598hu w:1132hu):请大家会诊!!


















附网上文章一篇:大家共同学习!(上面这个病例我当时诊断右肺巨型肺大泡伴右侧液气胸!!)
含气肺囊肿1例 (中华胸心血管外科杂志2003年4月第19卷第2期)
刘晋梁 李克耀 刘惠萍
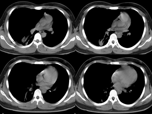
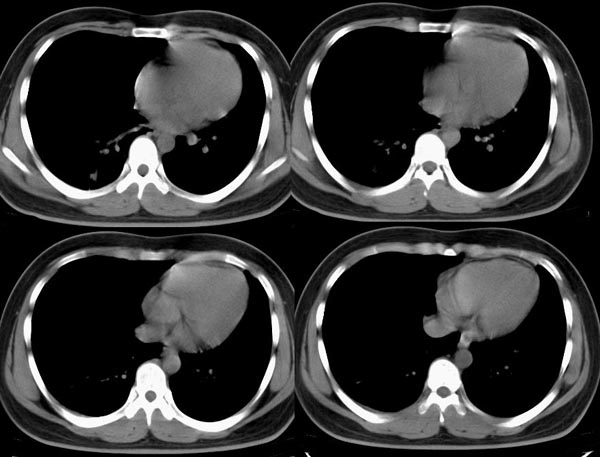
病人男,41岁。2001年2月体检时发现左胸腔大量积气,遂入院。查体:气管右移,左侧呼吸动度减弱、左肺叩诊鼓音、听诊呼吸音消失,心浊音界向右移位,心率86次/min.,律齐。x线胸片及ct扫描示左肺纹理消失,肺压缩100%,心脏、纵隔右移(图!、2)。诊断为左胸巨大型肺大皰。全麻下行开胸探查,术中见一巨大气囊占据整个胸腔,壁厚,韧度好,张力不大。基底位于叶间裂左肺下叶背段肺表面,肺实质正常无气肿表现。完整摘除气囊后移出,见其大小约40cm*20cm*13cm(图3),内无液体。术后10d病人痊愈出院。病理结果:囊壁为纤维结缔组织,部分区域胶原组织增生伴有变性,囊壁腔无内衬上皮(图4)。

图1 本例病人]线胸片示左肺空气囊肿 图2 ct显示左肺空气囊肿
图3 手术切除标本 图4 病理检查,光镜下示囊壁为纤维结缔组织,囊壁腔内无内衬上皮he * 100
讨论 本例气囊囊壁无内衬上皮,文献检索也无相关报道,因此,我们将其命为含气肺囊肿。
本例病史无胸闷、气短等症状;影像学示气囊壁厚,病变区透亮度介于气胸与肺大皰之间,内无发丝样阴影,不伴有周围肺气肿;囊肿位于肺表面。壁厚,张力不高,在游离、切除过程中并不破裂,可与肺大皰相区别。另外,病人有长期吸烟史,每日30余支,术中却见肺表面如同正常小儿肺,无炭末、粉尘沉积,因此,该病可能为自幼存在的先天性疾病。
(收稿日期:2002-01-15)
作者单位:730030 兰州军区陆军第一医院胸心外科(刘晋梁、李克耀);兰州总医院胸心外科(刘惠萍)
[本贴已被 翁志蓬 于 2009-1-18 21:55:05 修改过]
[本贴已被 wnlyq8688 于 2009-1-19 11:43:02 修改过]
作者: cxc1971101 时间: 2009-1-18 21:08
右侧肺囊肿(含气)。
作者: cxc1971101 时间: 2009-1-18 21:33
右侧巨大含气囊性病变,壁薄、光整、其外侧见气体。右肺压迫性肺不张、胸腔内见少量积液。纵隔向左侧移位。左肺未见异常。诊断:1.右侧含气肺囊肿(先天性)。2.右侧液气胸。(少量液体)3.右肺压迫性肺不张。我也遇见一例这样的病人。女性。股骨外伤就诊。常规胸片发现右侧囊性病变。
作者: xulianj 时间: 2009-1-18 21:53
支持考虑右侧含气肺囊肿(先天性);右侧液气胸。
作者: 沙漠骆驼 时间: 2009-1-18 22:54
支持:1 右侧含气肺囊肿。2 右侧液气胸。3 右肺压迫性肺不张 。
作者: 卜一 时间: 2009-1-18 23:16
支持考虑:右侧含气肺囊肿(先天性);右侧液气胸。
作者: jiangjing 时间: 2009-1-18 23:24
支持:1 右侧含气肺囊肿。2 右侧液气胸。3 右肺压迫性肺不张
作者: 随光逐影 时间: 2009-1-18 23:44
1)考虑右肺巨大肺囊肿;肺大泡待排。2)右侧液气胸。3)右肺压迫性肺不张 。
作者: 王仕学 时间: 2009-1-19 00:00
支持:1 右侧含气肺囊肿。2 右侧液气胸。3 右肺压迫性肺不张
作者: huangyinshan 时间: 2009-1-19 00:18
支持考虑右侧含气肺囊肿(先天性);右侧液气胸。
作者: 杀毒软件 时间: 2009-1-19 00:50
标题: 回复:胸部特殊病例!请会诊!!
以下是引用随光逐影在2009-1-18 15:44:00的发言:[br]1)考虑右肺巨大肺囊肿;肺大泡待排。2)右侧液气胸。3)右肺压迫性肺不张 。
支持
作者: zsl6918 时间: 2009-1-19 01:45
肺大泡破裂并气胸形成
作者: dsl555 时间: 2009-1-19 01:45
支持:1 右侧含气肺囊肿。2 右侧液气胸。3 右肺压迫性肺不张
作者: 黑白光影 时间: 2009-1-19 04:13
肺大泡破裂并液气胸形成。
作者: 寻芳者 时间: 2009-1-19 06:55
期待结果--------------------
作者: dengkai 时间: 2009-1-20 07:20
支持考虑右侧含气肺囊肿(先天性);右侧液气胸。
作者: jinguoji 时间: 2009-2-9 04:32
1 、右侧含气肺囊肿;2、右侧液气胸;3、右肺压迫性肺不张。
作者: dr.yang 时间: 2012-5-30 00:09
肺大泡破裂并液气胸形成。
| 欢迎光临 医影在线 (http://bbs.radida.com/bbs/) |
Powered by Discuz! X3.2 |