医影在线

标题: CT17771:男性,59岁。体检发现左肾占位。 [打印本页]

作者: sxlcbc    时间: 2009-1-19 20:11
标题: CT17771:男性,59岁。体检发现左肾占位。
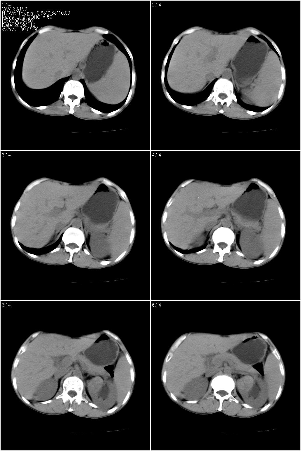
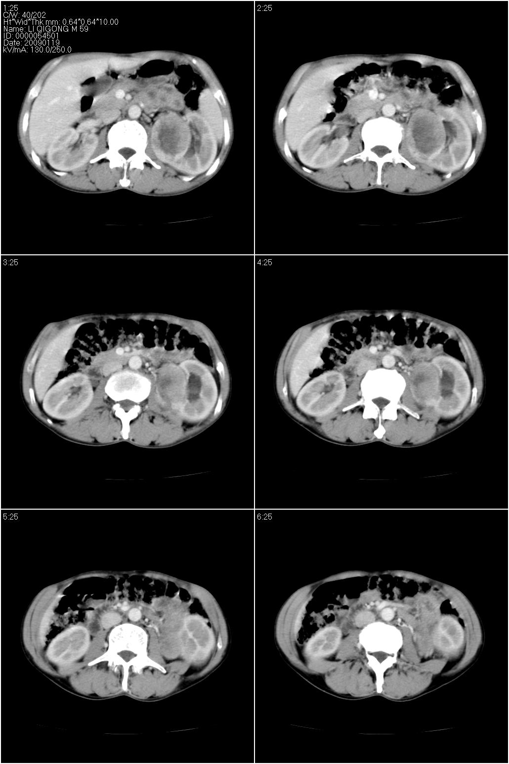
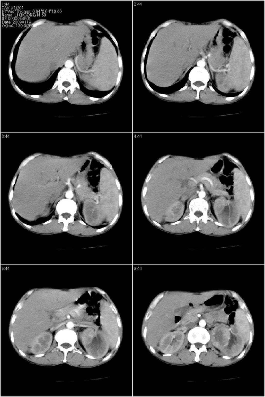
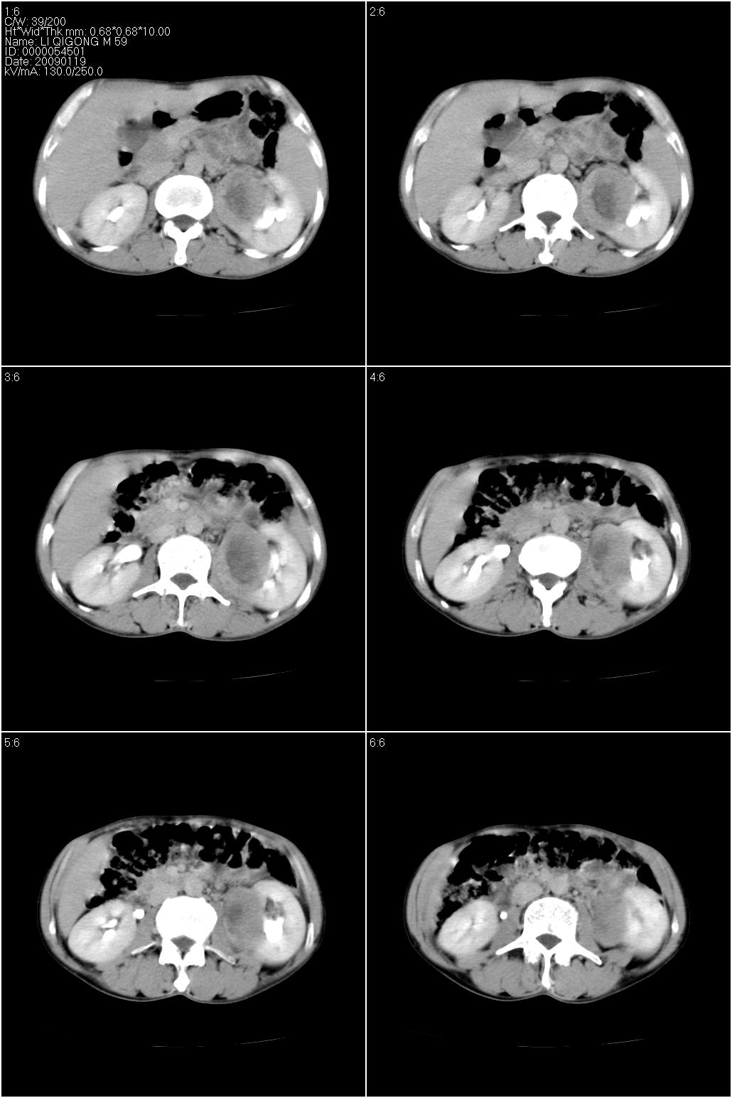
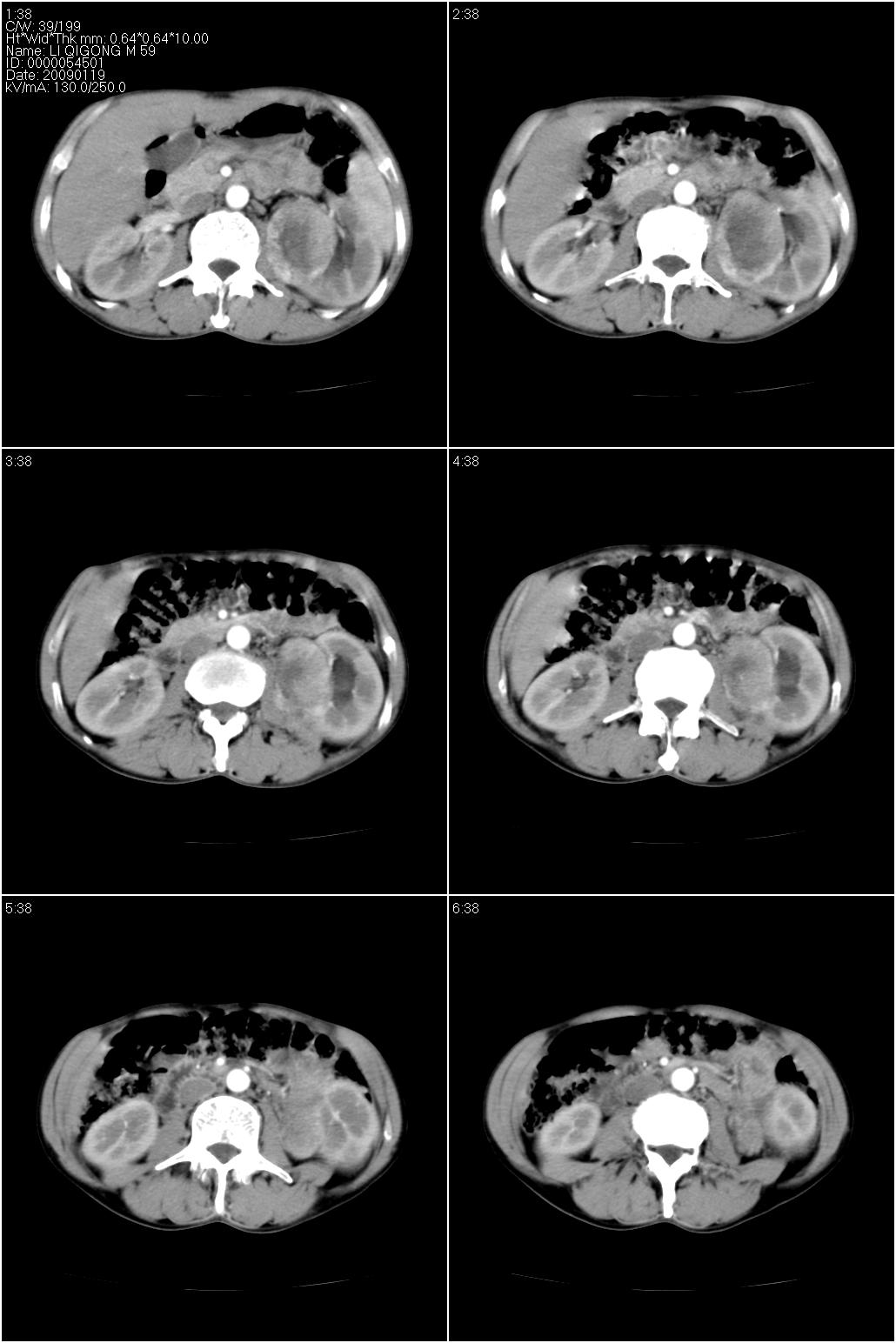
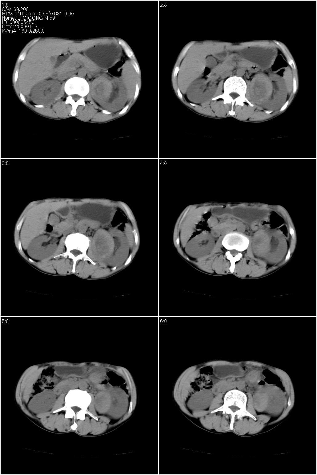
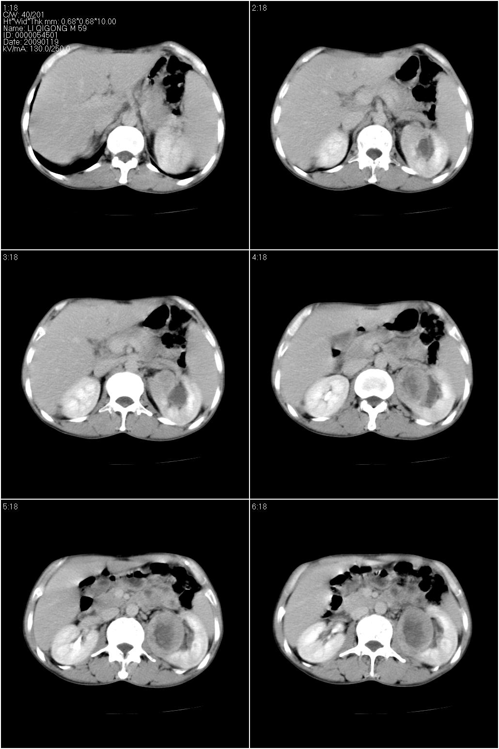
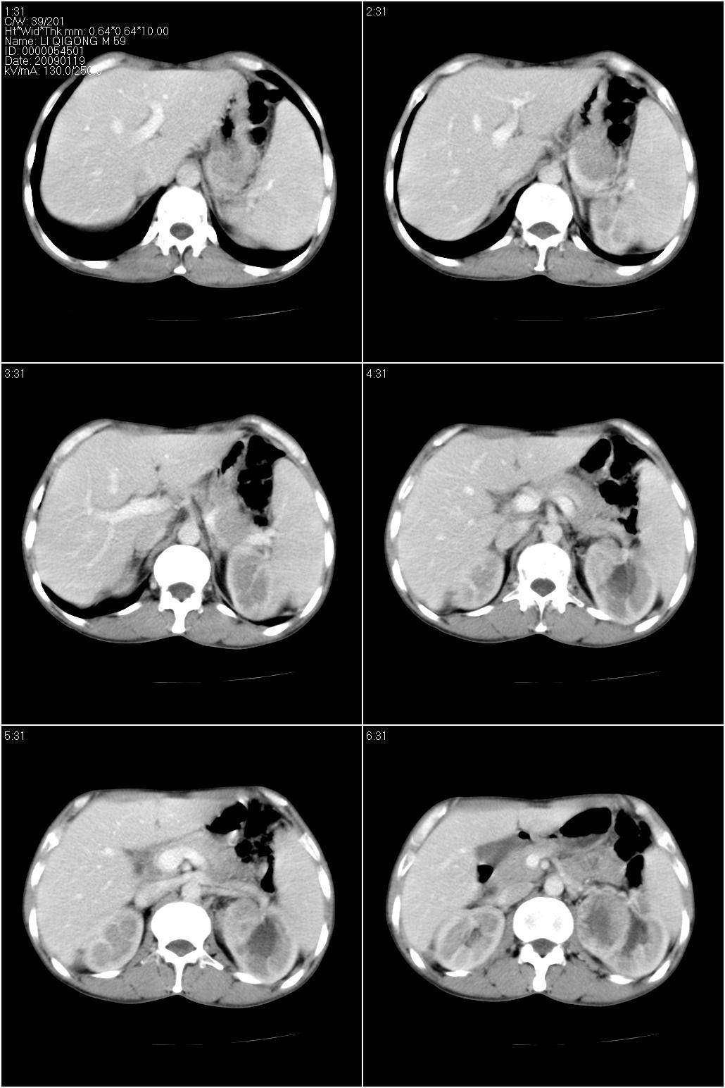
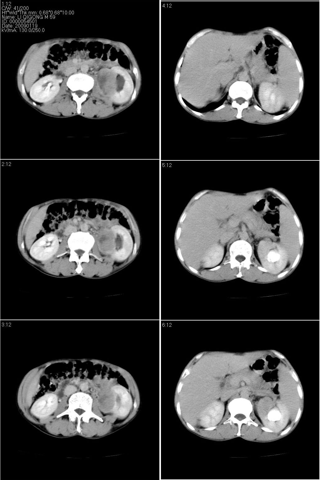
男性,59岁。体检发现左肾占位。自诉无尿血、尿痛。









化验结果:




[本贴已被 jiajie 于 2009-1-19 20:01:57 修改过]

作者: 流浪星    时间: 2009-1-19 20:53
考虑,左肾癌。
作者: dengkai    时间: 2009-1-19 21:14
支持:考虑左肾癌。
作者: xiaoniu    时间: 2009-1-19 21:35
无痛无血尿,左肾实质占位,有明显强化,中心坏死不规则,应该肾癌无疑。
作者: 王仕学    时间: 2009-1-19 21:38
支持:考虑左肾癌。
作者: zbp537    时间: 2009-1-19 22:05
应该考虑左肾癌并肾盂积水
诊断依据:
1、中老年男性.
2、左肾占位,呈不均匀性强化,中央有无强化的坏死区。
3、左肾门旁有侧枝开放,提示左肾静脉癌栓形成可能。
4、患者自诉无血尿,但不一定镜下无血尿。
作者: 深泽交通    时间: 2009-1-19 22:38
标题: 回复:男性,59岁。体检发现左肾占位。
以下是引用流浪星在2009-1-19 12:53:00的发言:[br]考虑,左肾癌。

作者: 随光逐影    时间: 2009-1-19 23:48
支持 考虑左肾癌并肾积水。
作者: 黑白光影    时间: 2009-1-20 00:24
考虑左肾癌并肾盂积水。
作者: 杀毒软件    时间: 2009-1-20 01:42
支持:考虑左肾癌
作者: zsl6918    时间: 2009-1-20 02:01
符合左肾癌表现
作者: 余辉    时间: 2009-1-20 03:55
符合肾癌表现
作者: xulianj    时间: 2009-1-20 03:57
支持:考虑左肾癌。
作者: LIAOQIANG    时间: 2009-1-20 22:45
考虑左肾癌。
作者: jinguoji    时间: 2009-1-21 07:47
考虑左肾癌并肾积水。




欢迎光临 医影在线 (http://bbs.radida.com/bbs/) Powered by Discuz! X3.2