









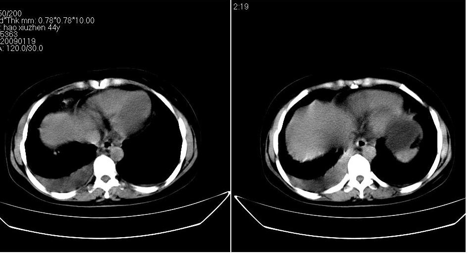
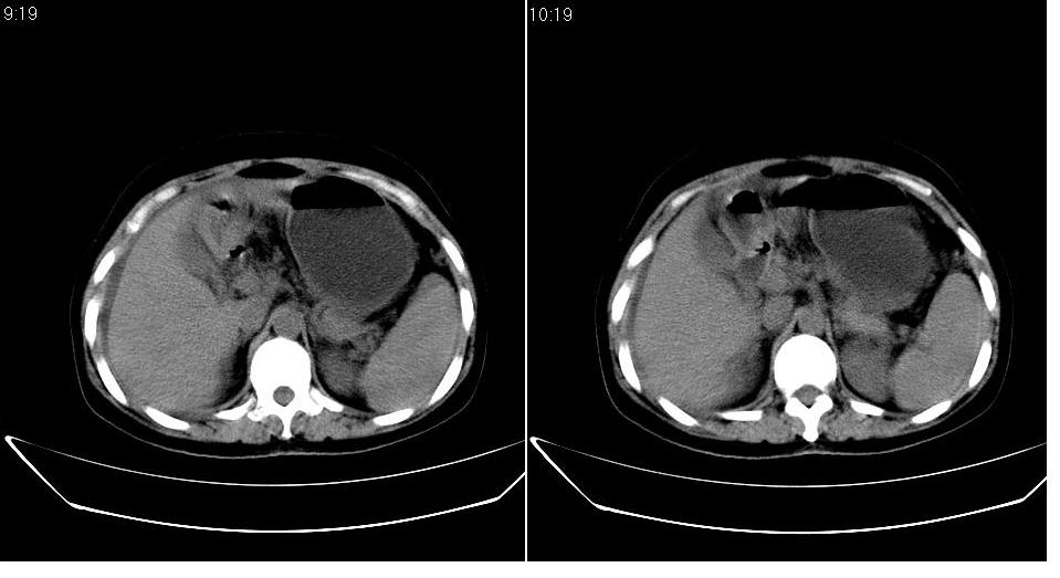
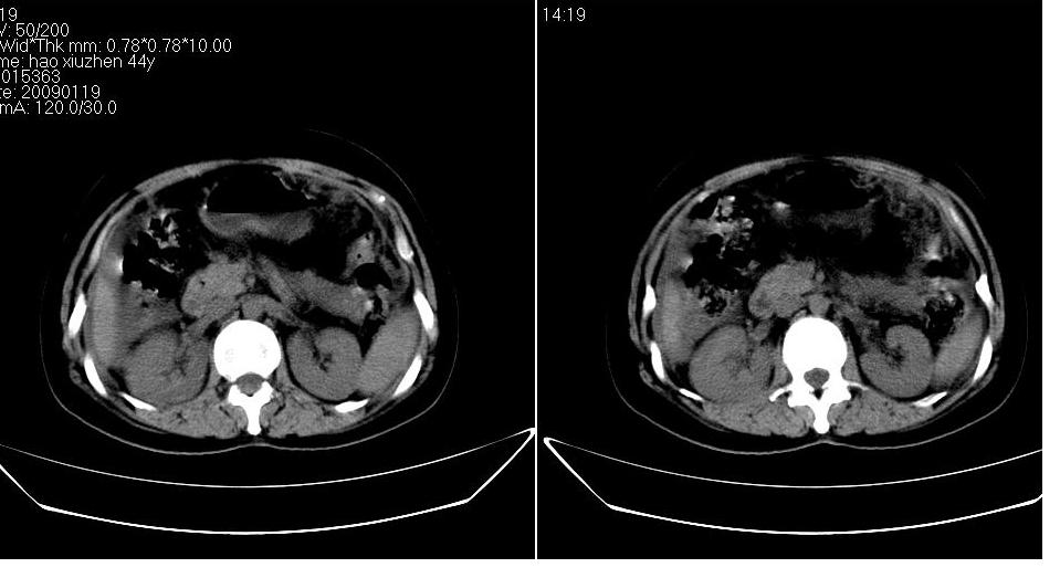
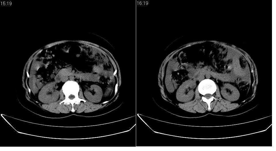
以下是引用zbp537在2009-1-19 14:09:00的发言:[br]从这个平扫图像上看,只能考虑:1、胸腹水。2、脾脏包膜下弧形高密度影,疑出血,建议复查。[br]既然腹水中有恶性细胞,建议行腹部ct增强扫描及胸部扫描。
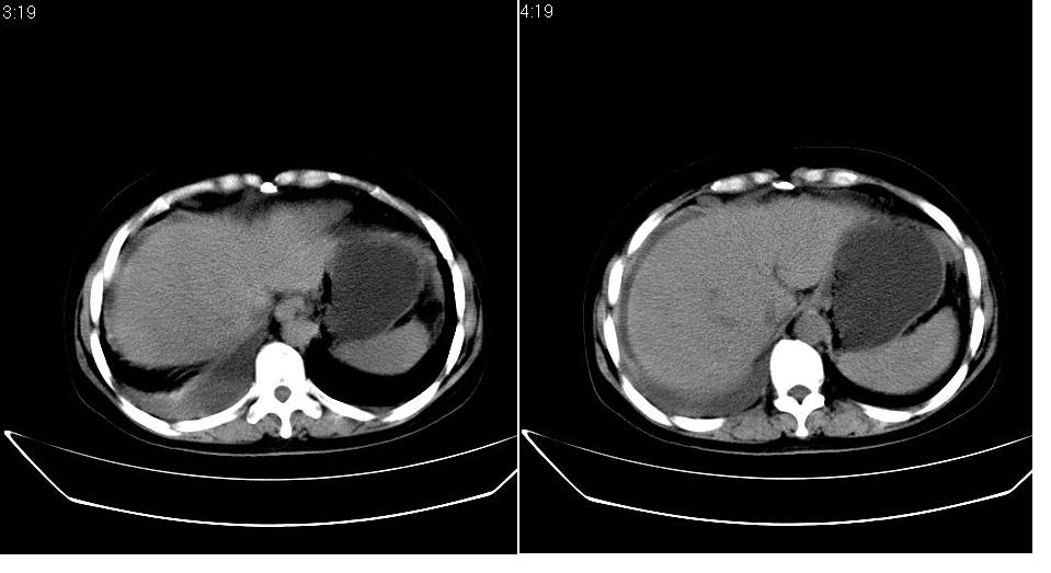
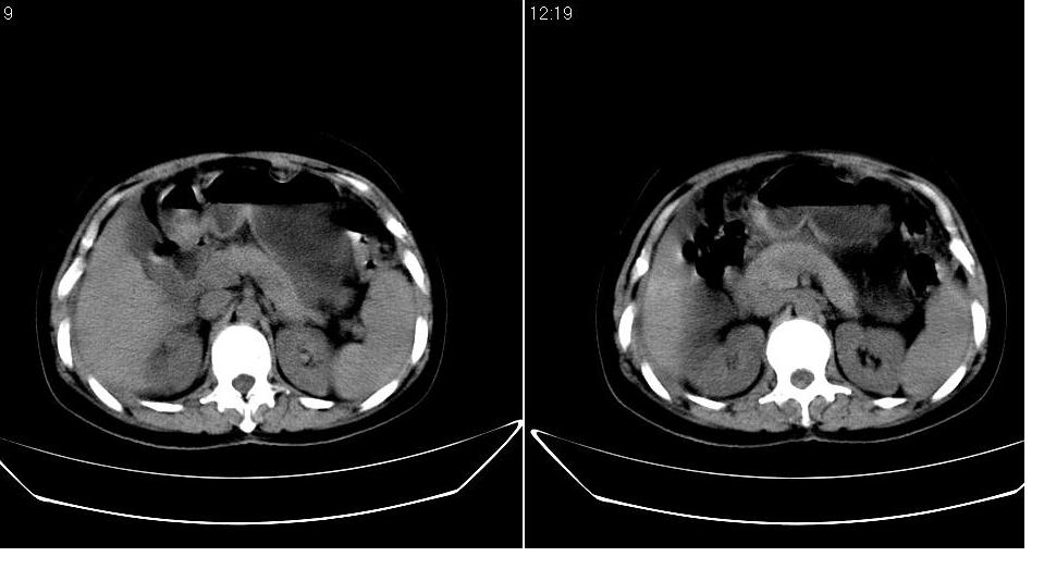
以下是引用随光逐影在2009-1-19 15:47:00的发言:[br]1)不排除胃癌可能;建议行胃镜检查。2)腹水。3)右侧胸腔积液。
以下是引用jiangjing在2009-1-19 18:21:00的发言:[br]1 网膜污垢征---肿瘤网膜转移.2)腹水。3)右侧胸腔积液
以下是引用随光逐影在2009-1-19 15:47:00的发言:[br]1)不排除胃癌可能;建议行胃镜检查。2)腹水。3)右侧胸腔积液。
| 欢迎光临 医影在线 (http://bbs.radida.com/bbs/) | Powered by Discuz! X3.2 |