医影在线

标题: CT17774:男,85岁,排尿困难。骶椎有问题吗? [打印本页]

作者: yy杨洋    时间: 2009-1-19 20:58
标题: CT17774:男,85岁,排尿困难。骶椎有问题吗?
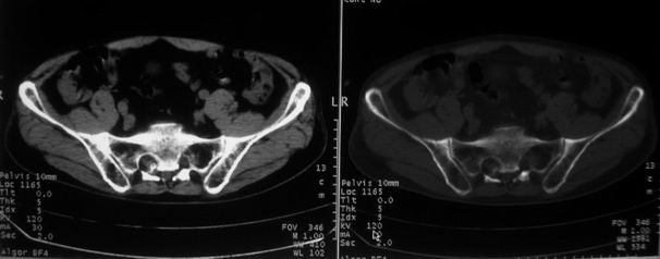
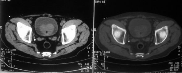
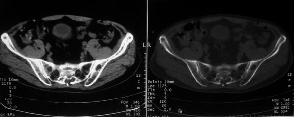
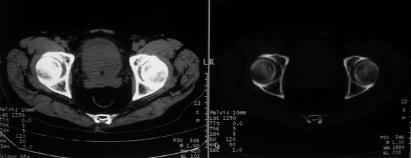
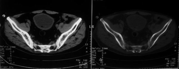
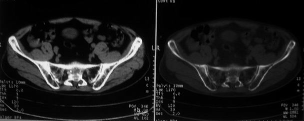
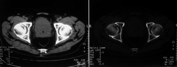
男,85岁,排尿困难。骶椎有问题吗?
























[本贴已被 jiajie 于 2009-1-19 20:03:08 修改过]

作者: 流浪星    时间: 2009-1-19 21:02
前列腺明显肥大。
作者: xiaoniu    时间: 2009-1-19 21:19
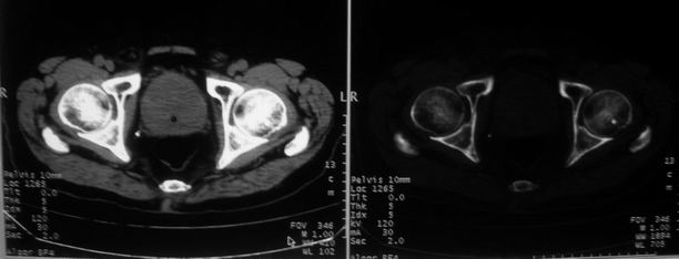
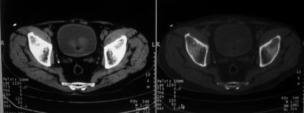
前列腺明显增大,突入膀胱,各叶比例协调,密度均匀,精囊腺及精囊角正常;考虑良性增大。
骶骨没有看到明显异常。
作者: 王仕学    时间: 2009-1-19 21:37
标题: 回复:盆腔
以下是引用xiaoniu在2009-1-19 13:19:00的发言:[br]前列腺明显增大,突入膀胱,各叶比例协调,密度均匀,精囊腺及精囊角正常;考虑良性增大。[br]骶骨没有看到明显异常。

作者: dengkai    时间: 2009-1-19 21:40
前列腺明显增大!
作者: zbp537    时间: 2009-1-19 22:00
这个病人排尿困难应该是前列腺增生造成的,ct对前列腺增生及前列腺癌诊断有一定限度,只能判断前列腺增大,建议还是做一个mr来鉴别一下增生或癌更好,因为增生多发生于中央带,癌多发生于周围带,而mr t2加权图像上中央带和周围带的信号有区别,因此诊断价值更高一些。
作者: 深泽交通    时间: 2009-1-19 22:32
标题: 回复:盆腔
以下是引用xiaoniu在2009-1-19 13:19:00的发言:[br]前列腺明显增大,突入膀胱,各叶比例协调,密度均匀,精囊腺及精囊角正常;考虑良性增大。[br]骶骨没有看到明显异常。

作者: 随光逐影    时间: 2009-1-19 23:38
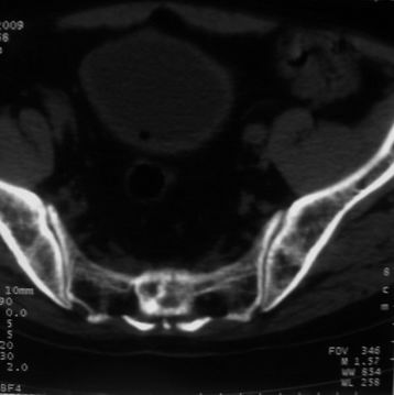
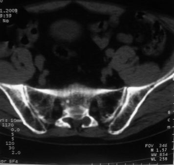
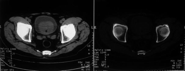
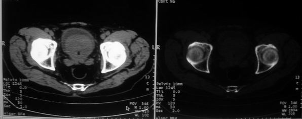
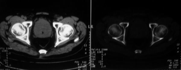
1)考虑前列腺增生症并阻塞性膀胱炎。2)骶椎右侧类似囊状骨质密度减低区,边缘骨质硬化,其内为软组织密度影填塞,相邻之骶椎椎管受压变形;考虑为骶椎右侧囊肿或神经纤维瘤。
建议:行mri检查。
作者: 黑白光影    时间: 2009-1-20 00:34
考虑前列腺增生症并阻塞性膀胱炎。骶椎改变建议作进一步检查。
作者: ydx_74    时间: 2009-1-20 01:22
前列腺增生症
作者: 杀毒软件    时间: 2009-1-20 01:25
标题: 回复:盆腔
以下是引用随光逐影在2009-1-19 15:38:00的发言:[br]1)考虑前列腺增生症并阻塞性膀胱炎。2)骶椎右侧类似囊状骨质密度减低区,边缘骨质硬化,其内为软组织密度影填塞,相邻之骶椎椎管受压变形;考虑为骶椎右侧囊肿或神经纤维瘤。[br]建议:行mri检查。

支持
作者: jiangjing    时间: 2009-1-20 02:17
前列腺增生明显,肿瘤待排,建议mri 检查
作者: zsl6918    时间: 2009-1-20 02:20
前列腺肥大,骶椎未见异常。
作者: 同    时间: 2009-1-20 03:13
支持前列腺肥大增生。
作者: 余辉    时间: 2009-1-20 03:48
考虑前列腺增生症并阻塞性膀胱炎。骶椎改变建议作进一步检查
作者: xulianj    时间: 2009-1-20 04:20
前列腺肥大,骶椎未见异常。
作者: gfw    时间: 2009-1-20 05:06
骶椎脊索瘤
作者: zhw974247    时间: 2009-1-20 05:13
1)前列腺明显增大,突入膀胱,各叶比例协调,密度均匀,精囊腺及精囊角正常;考虑前列腺增生症并阻塞性膀胱炎。2)骶椎右侧类似囊状骨质密度减低区,边缘骨质硬化,其内为软组织密度影填塞,相邻之骶椎椎管受压变形;考虑为骶椎右侧囊肿或神经纤维瘤。
建议:行mri检查。
作者: 宇宙CT    时间: 2009-1-20 07:19
前列腺明显增大,突入膀胱,各叶比例协调,密度均匀,精囊腺及精囊角正常;考虑良性增大。
骶骨没有看到明显异常。
作者: 吴承学    时间: 2009-1-20 14:37
标题: 回复:ct17774:男,85岁,排尿困难。骶椎有问题吗?
以下是引用ydx_74在2009-1-19 17:22:00的发言:[br]前列腺增生症

作者: scdlc2008    时间: 2009-1-20 17:57
前列腺增生症
作者: xupengjie    时间: 2009-1-20 17:58
前列腺增生
作者: 影像之路    时间: 2009-1-20 19:33
1)考虑前列腺增生症并阻塞性膀胱炎。2)骶椎右侧类似囊状骨质密度减低区,边缘骨质硬化,其内为软组织密度影填塞,相邻之骶椎椎管受压变形;考虑为骶椎右侧囊肿或神经纤维瘤。
建议:行mri检查
作者: LIAOQIANG    时间: 2009-1-20 22:34
前列腺增生症。骶椎建议作mri检查。
作者: jinguoji    时间: 2009-1-21 08:02
考虑前列腺增生症并阻塞性膀胱炎。




欢迎光临 医影在线 (http://bbs.radida.com/bbs/) Powered by Discuz! X3.2